首页
抗体
一抗
内参抗体
标签抗体
修饰抗体
细胞标志物
DNA损伤修复
细胞增殖
程序性细胞死亡
细胞器标志物
角蛋白
肿瘤生物学
外泌体
免疫相关
神经生物学
细胞周期
营养因子
胚胎发育
细胞骨架
泛素化相关
囊泡运输
细胞代谢
激素及受体
通道蛋白
缺氧
骨相关
生长因子及受体
分子伴侣
RNA生物学
转录因子
表观遗传学
核受体
信号通路
小G蛋白相关
G蛋白偶联受体
多耐药
Treg
氧化应激
血管相关
其它
重组抗体
直标抗体
二抗
荧光二抗
荧光素标记
抗山羊二抗
抗兔二抗
抗小鼠二抗
抗大鼠二抗
耗材
细胞耗材
吸头
离心管
培养板
培养皿
培养瓶
冻存
吸头
普通吸头
离心管
离心管
仪器
蛋白实验仪器
研磨仪
制胶仪
电泳仪
成像系统
细胞实验仪器
细胞计数仪
应用指南
企业介绍
企业介绍
活动专题
联系我们
400-6027-270
×
热门搜索:
CD3
Actin
GFP
⚠
首页
抗体
一抗
其它
Anti-TMEM177 兔多克隆抗体
Anti-TMEM177 兔多克隆抗体
咨询
¥1900
加入对比
货号:
K1340029-100
亚细胞定位:
线粒体
别名:
Tmem177
应用
|
种属
IHC/IF
M,R
规格:
100 μL
产品描述
应用
背景
储存条件
图像
在线预览
下载说明书
产品信息
蛋白质全称
跨膜蛋白177
别名
Tmem177
Uniprot ID
Q8BPE4
免疫原
KLH偶联的小鼠TMEM177合成肽
抗体亚型
IgG
纯化方式
亲和纯化
亚细胞定位
线粒体
应用
IHC/IF 免疫组织化学/免疫荧光
物种:小鼠,大鼠
稀释比:1:500-1:1000
阳性样品:结肠
背景
Plays a role in the early steps of cytochrome c oxidase subunit II (MT-CO2/COX2) maturation and is required for the stabilization of COX20 and the newly synthesized MT-CO2/COX2 protein.
储存条件
储存条件:
储存条件在:-20℃下储存一年, 避免反复冻融.
储存缓冲液:
含0.15% ProClin300防腐剂, 100 μg/mL牛血清白蛋白和50%甘油的磷酸盐缓冲液.
图像
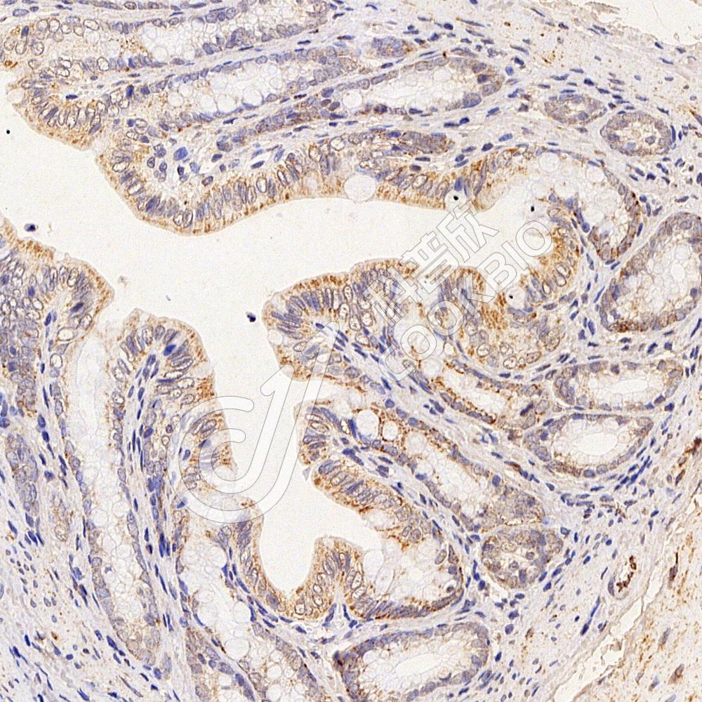
IHC检测TMEM177蛋白(货号 K1340029).
样品: 小鼠结肠, 4%多聚甲醛 (货号KSG1101) 固定12-24小时.
抗原修复: 柠檬酸抗原修复液(干粉, pH 6.0) (KSG1201), 98℃, 20分钟.
—抗: 1: 800稀释, 4℃ 孵育过夜.
二抗: S-vision免疫组化多聚二抗(山羊抗兔),即用型 (货号KB3906), 室温孵育20分钟.
IHC检测TMEM177蛋白(货号 K1340029).
样品: 大鼠结肠, 4%多聚甲醛 (货号KSG1101) 固定12-24小时.
抗原修复: 柠檬酸抗原修复液(干粉, pH 6.0) (KSG1201), 98℃, 20分钟.
—抗: 1: 800稀释, 4℃ 孵育过夜.
二抗: S-vision免疫组化多聚二抗(山羊抗兔),即用型 (货号KB3906), 室温孵育20分钟.
相关产品
Anti-CCDC113 兔多克隆抗体
¥1900
查看详情
Anti-TOR1AIP2 兔多克隆抗体
¥1900
查看详情
Anti-Protein FAM131B 兔多克隆抗体
¥1900
查看详情
Anti-Pyrophosphatase 1 兔多克隆抗体
¥1900
查看详情
Anti-MCC-2 兔多克隆抗体
¥1900
查看详情
Anti-DDT 兔多克隆抗体
¥1900
查看详情
Anti-UMOD 兔多克隆抗体
¥1900
查看详情
Anti-KBTBD8 兔多克隆抗体
¥1900
查看详情
Anti-ODAM 兔多克隆抗体
¥1900
查看详情
Anti-CCDC28A 兔多克隆抗体
¥1900
查看详情
Anti-DUS4L 兔多克隆抗体
¥1900
查看详情
Anti-ANKMY1 兔多克隆抗体
¥1900
查看详情
Anti-Retinal S antigen 兔多克隆抗体
¥1900
查看详情
Anti-MGAT1 兔多克隆抗体
¥1900
查看详情
Anti-HAI-1 兔多克隆抗体
¥1900
查看详情
Anti-Cathepsin L/MEP 兔多克隆抗体
¥1900
查看详情
Anti-HBE 兔多克隆抗体
¥1900
查看详情
Anti-TMEM213 兔多克隆抗体
¥1900
查看详情
需要技术支持?
如果您有任何问题或如果您在实验过程中遇到问题,或需要更详细的技术指导,请联系我们的技术支持团队
400-6027-270
联系我们
如果您对我们的公司或产品有任何疑问,欢迎随时联系我们
联系我们
开始对比
清空
K1340029-100.pdf