tel 400-6027-270
Main Image
Anti-CCDC28A 兔多克隆抗体
¥1900
加入对比
货号: K1345996-100
预测分子量: 30 kDa
观测分子量: 68 kDa
亚细胞定位: 细胞质, 细胞核
别名: C6orf80,CCDC28A,CCRL1AP
应用 | 种属
WB H
IHC/IF H,M
规格:
产品信息
蛋白质全称 含卷曲螺旋结构域的蛋白28A
别名 C6orf80,CCDC28A,CCRL1AP
Uniprot ID Q8IWP9
免疫原 KLH偶联的人CCDC28A合成肽
抗体亚型 IgG
纯化方式 亲和纯化
亚细胞定位 细胞质, 细胞核
预测分子量./观测分子量. 30 kDa / 68 kDa
应用
WB 免疫印迹
物种:人
稀释比:1:800-1:1500
阳性样品:—
IHC/IF 免疫组织化学/免疫荧光
物种:人,小鼠
稀释比:1:500-1:1500
阳性样品:食管, 胃
背景
This gene is located in a region close to the locus of the pseudogene of chemokine (C-C motif) receptor-like 1 on chromosome 6. The specific function of this gene has not yet been determined.
储存条件
储存条件:储存条件在:-20℃下储存一年, 避免反复冻融.
储存缓冲液:含0.15% ProClin300防腐剂, 100 μg/mL牛血清白蛋白和50%甘油的磷酸盐缓冲液.
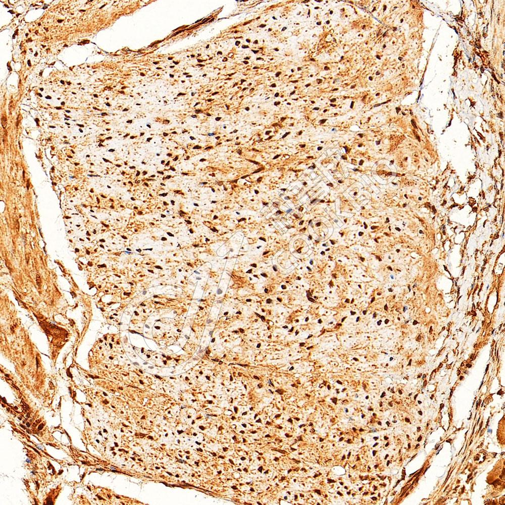
图像
IHC检测CCDC28A蛋白(货号 K1345996).
样品: 人食管, 4%多聚甲醛 (货号KSG1101) 固定12-24小时.
抗原修复: Tris-EDTA抗原修复液(pH 9.0) (KSG1203), 98℃, 20分钟.
—抗: 1: 1000稀释, 4℃ 孵育过夜.
二抗: S-vision免疫组化多聚二抗(山羊抗兔),即用型 (货号KB3906), 室温孵育20分钟.
CCDC28A_d1000_WB
IHC检测CCDC28A蛋白(货号 K1345996).
样品: 小鼠胃, 4%多聚甲醛 (货号KSG1101) 固定12-24小时.
抗原修复: Tris-EDTA抗原修复液(pH 9.0) (KSG1203), 98℃, 20分钟.
—抗: 1: 1000稀释, 4℃ 孵育过夜.
二抗: S-vision免疫组化多聚二抗(山羊抗兔),即用型 (货号KB3906), 室温孵育20分钟.

需要技术支持?

如果您有任何问题或如果您在实验过程中遇到问题,或需要更详细的技术指导,请联系我们的技术支持团队
电话 400-6027-270

联系我们

如果您对我们的公司或产品有任何疑问,欢迎随时联系我们