tel 400-6027-270
Main Image
Anti-MAR6 兔多克隆抗体
¥1900
加入对比
货号: K1336519-100
亚细胞定位: 细胞核
别名: Mammalian retrotransposon-derived protein 6,Protein LDOC1L,Protein Sushi-15E3,Rtl6,Ldoc1l,MAR6
应用 | 种属
IHC/IF M,R
规格:
产品信息
蛋白质全称 逆转录转座子Gag样蛋白6
别名 Mammalian retrotransposon-derived protein 6,Protein LDOC1L,Protein Sushi-15E3,Rtl6,Ldoc1l,MAR6
Uniprot ID Q505G4
免疫原 小鼠MAR6重组蛋白
抗体亚型 IgG
纯化方式 亲和纯化
亚细胞定位 细胞核
应用
IHC/IF 免疫组织化学/免疫荧光
物种:小鼠,大鼠
稀释比:1:700-1:1400
阳性样品:乳鼠脑
背景
LDOC1 is a 146 amino acid nuclear protein that contains a leucine zipper-like motif and a proline-rich region that shares marked similarity with an SH3-binding domain. The protein localizes to the nucleus and is downregulated in some cancer cell lines. It is thought to regulate the transcriptional response mediated by the nuclear factor kB (NF-kB). The gene has been proposed as a tumor suppressor gene whose protein product may have an important role in the development and/or progression of some cancers.
储存条件
储存条件:储存条件在:-20℃下储存一年, 避免反复冻融.
储存缓冲液:含0.15% ProClin300防腐剂, 100 μg/mL牛血清白蛋白和50%甘油的磷酸盐缓冲液.
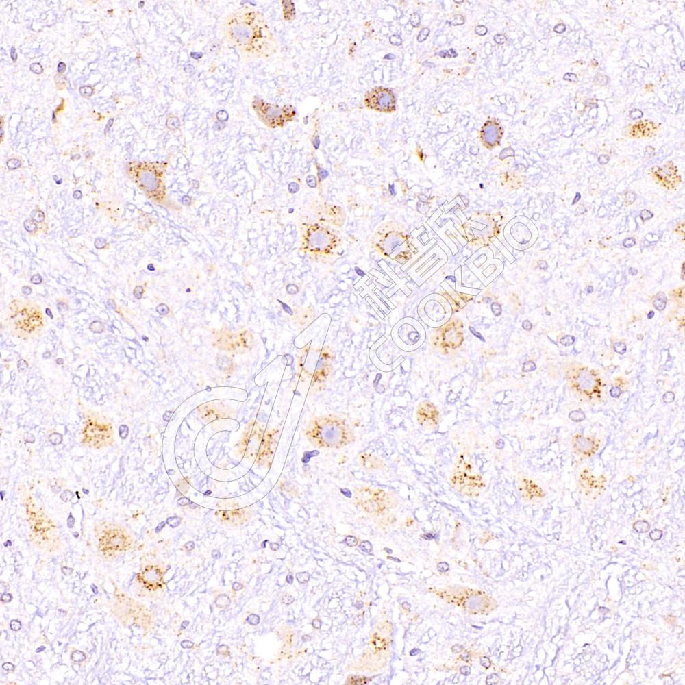
图像
IHC检测MAR6蛋白(货号 K1336519).
样品: 小鼠乳鼠脑, 4%多聚甲醛 (货号KSG1101) 固定12-24小时.
抗原修复: 柠檬酸抗原修复液(干粉, pH 6.0) (KSG1201), 98℃, 20分钟.
—抗: 1: 1100稀释, 4℃ 孵育过夜.
二抗: S-vision免疫组化多聚二抗(山羊抗兔),即用型 (货号KB3906), 室温孵育20分钟.
IHC检测MAR6蛋白(货号 K1336519).
样品: 大鼠乳鼠脑, 4%多聚甲醛 (货号KSG1101) 固定12-24小时.
抗原修复: 柠檬酸抗原修复液(干粉, pH 6.0) (KSG1201), 98℃, 20分钟.
—抗: 1: 1100稀释, 4℃ 孵育过夜.
二抗: S-vision免疫组化多聚二抗(山羊抗兔),即用型 (货号KB3906), 室温孵育20分钟.

需要技术支持?

如果您有任何问题或如果您在实验过程中遇到问题,或需要更详细的技术指导,请联系我们的技术支持团队
电话 400-6027-270

联系我们

如果您对我们的公司或产品有任何疑问,欢迎随时联系我们