tel 400-6027-270
Main Image
Anti-HAI-1 兔多克隆抗体
¥1900
加入对比
货号: K1341625-100
亚细胞定位: 分泌型
别名: HAI,HAI-1,HAI1,MANSC2,SPINT1,Hepatocyte growth factor activator inhibitor type 1
应用 | 种属
IHC/IF H
规格:
产品信息
蛋白质全称 Kunitz型蛋白酶抑制因子1
别名 HAI,HAI-1,HAI1,MANSC2,SPINT1,Hepatocyte growth factor activator inhibitor type 1
Uniprot ID Q9R097
免疫原 小鼠HAI-1重组蛋白
抗体亚型 IgG
纯化方式 亲和纯化
亚细胞定位 分泌型
应用
IHC/IF 免疫组织化学/免疫荧光
物种:人
稀释比:1:800-1:1600
阳性样品:胎盘
背景
HGFA Inhibitor 1 is an endogenous inhibitor of the kunitz-type serine proteinase HGF-activator (HGFA). HGF was first described as a hepatocyte-specific mitogen and survival factor, and has since been shown to exert a variety of actions on many cell types by binding to its MET receptor. HGF is activated by cleavage of the single-chain form to form a two-chain version by HGFA. HGFA Inhibitor 1 also inhibits trypsin, and MTSP-1 (Matriptase), a serine proteinase that also activates HGF.
储存条件
储存条件:储存条件在:-20℃下储存一年, 避免反复冻融.
储存缓冲液:含0.15% ProClin300防腐剂, 100 μg/mL牛血清白蛋白和50%甘油的磷酸盐缓冲液.
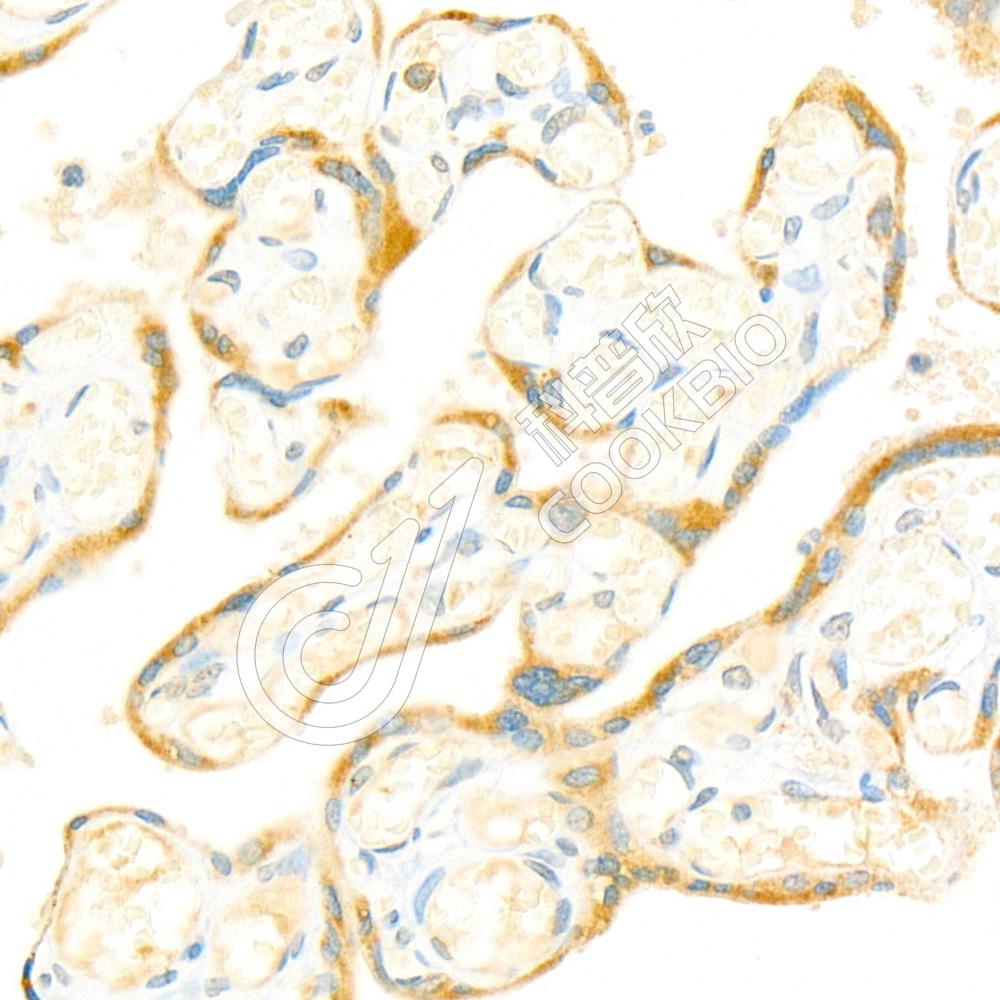
图像
IHC检测HAI-1蛋白(货号 K1341625).
样品: 人胎盘, 4%多聚甲醛 (货号KSG1101) 固定12-24小时.
抗原修复: 柠檬酸抗原修复液(干粉, pH 6.0) (KSG1201), 98℃, 20分钟.
—抗: 1: 1200稀释, 4℃ 孵育过夜.
二抗: S-vision免疫组化多聚二抗(山羊抗兔),即用型 (货号KB3906), 室温孵育20分钟.
IHC检测HAI-1蛋白(货号 K1341625).
样品: 人胎盘, 4%多聚甲醛 (货号KSG1101) 固定12-24小时.
抗原修复: 柠檬酸抗原修复液(干粉, pH 6.0) (KSG1201), 98℃, 20分钟.
—抗: 1: 1200稀释, 4℃ 孵育过夜.
二抗: S-vision免疫组化多聚二抗(山羊抗兔),即用型 (货号KB3906), 室温孵育20分钟.

需要技术支持?

如果您有任何问题或如果您在实验过程中遇到问题,或需要更详细的技术指导,请联系我们的技术支持团队
电话 400-6027-270

联系我们

如果您对我们的公司或产品有任何疑问,欢迎随时联系我们