tel 400-6027-270
Main Image
Anti-Renalase 兔多克隆抗体
¥1900
加入对比
货号: K1341130-100
亚细胞定位: 分泌型
别名: C10orf59,MAO-C,Monoamine oxidase C,RNLS,mMAO-C
应用 | 种属
IHC/IF M
规格:
产品信息
蛋白质全称 肾胺酶
别名 C10orf59,MAO-C,Monoamine oxidase C,RNLS,mMAO-C
Uniprot ID A7RDN6
免疫原 KLH偶联的小鼠Renalase合成肽
抗体亚型 IgG
纯化方式 亲和纯化
亚细胞定位 分泌型
应用
IHC/IF 免疫组织化学/免疫荧光
物种:小鼠
稀释比:1:600-1:1200
阳性样品:肾
背景
RNLS, also named as Renalase, C10orf59 and MAO-C, belongs to the renalase family. It is probable FAD-dependent amine oxidase secreted by the kidney, which circulates in blood and modulates cardiac function and systemic blood pressure. RNLS degrades catecholamines such as dopamine, norepinephrine and epinephrine in vitro. It lowers blood pressure in vivo by decreasing cardiac contractility and heart rate and preventing a compensatory increase in peripheral vascular tone, suggesting a causal link to the increased plasma catecholamine and heightened cardiovascular risk.
储存条件
储存条件:储存条件在:-20℃下储存一年, 避免反复冻融.
储存缓冲液:含0.15% ProClin300防腐剂, 100 μg/mL牛血清白蛋白和50%甘油的磷酸盐缓冲液.
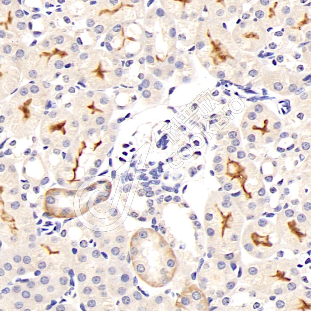
图像
IHC检测Renalase蛋白(货号 K1341130).
样品: 小鼠肾, 4%多聚甲醛 (货号KSG1101) 固定12-24小时.
抗原修复: 柠檬酸抗原修复液(干粉, pH 6.0) (KSG1201), 98℃, 20分钟.
—抗: 1: 900稀释, 4℃ 孵育过夜.
二抗: S-vision免疫组化多聚二抗(山羊抗兔),即用型 (货号KB3906), 室温孵育20分钟.
IHC检测Renalase蛋白(货号 K1341130).
样品: 小鼠肾, 4%多聚甲醛 (货号KSG1101) 固定12-24小时.
抗原修复: 柠檬酸抗原修复液(干粉, pH 6.0) (KSG1201), 98℃, 20分钟.
—抗: 1: 900稀释, 4℃ 孵育过夜.
二抗: S-vision免疫组化多聚二抗(山羊抗兔),即用型 (货号KB3906), 室温孵育20分钟.

需要技术支持?

如果您有任何问题或如果您在实验过程中遇到问题,或需要更详细的技术指导,请联系我们的技术支持团队
电话 400-6027-270

联系我们

如果您对我们的公司或产品有任何疑问,欢迎随时联系我们