tel 400-6027-270
Main Image
Anti-HAPLN4 兔多克隆抗体
¥1900
加入对比
货号: K1342714-100
亚细胞定位: 分泌型, 胞外基质
别名: Brain link protein 2,BRAL2,HAPLN4,KIAA1926
应用 | 种属
IHC/IF M
规格:
产品信息
蛋白质全称 透明质酸与蛋白聚糖连接蛋白4
别名 Brain link protein 2,BRAL2,HAPLN4,KIAA1926
Uniprot ID Q80WM4
免疫原 小鼠HAPLN4重组蛋白
抗体亚型 IgG
纯化方式 亲和纯化
亚细胞定位 分泌型, 胞外基质
应用
IHC/IF 免疫组织化学/免疫荧光
物种:小鼠
稀释比:1:1200-1:2400
阳性样品:小脑
背景
Binds to hyaluronic acid and may be involved in formation of the extracellular matrix.
储存条件
储存条件:储存条件在:-20℃下储存一年, 避免反复冻融.
储存缓冲液:含0.15% ProClin300防腐剂, 100 μg/mL牛血清白蛋白和50%甘油的磷酸盐缓冲液.
图像
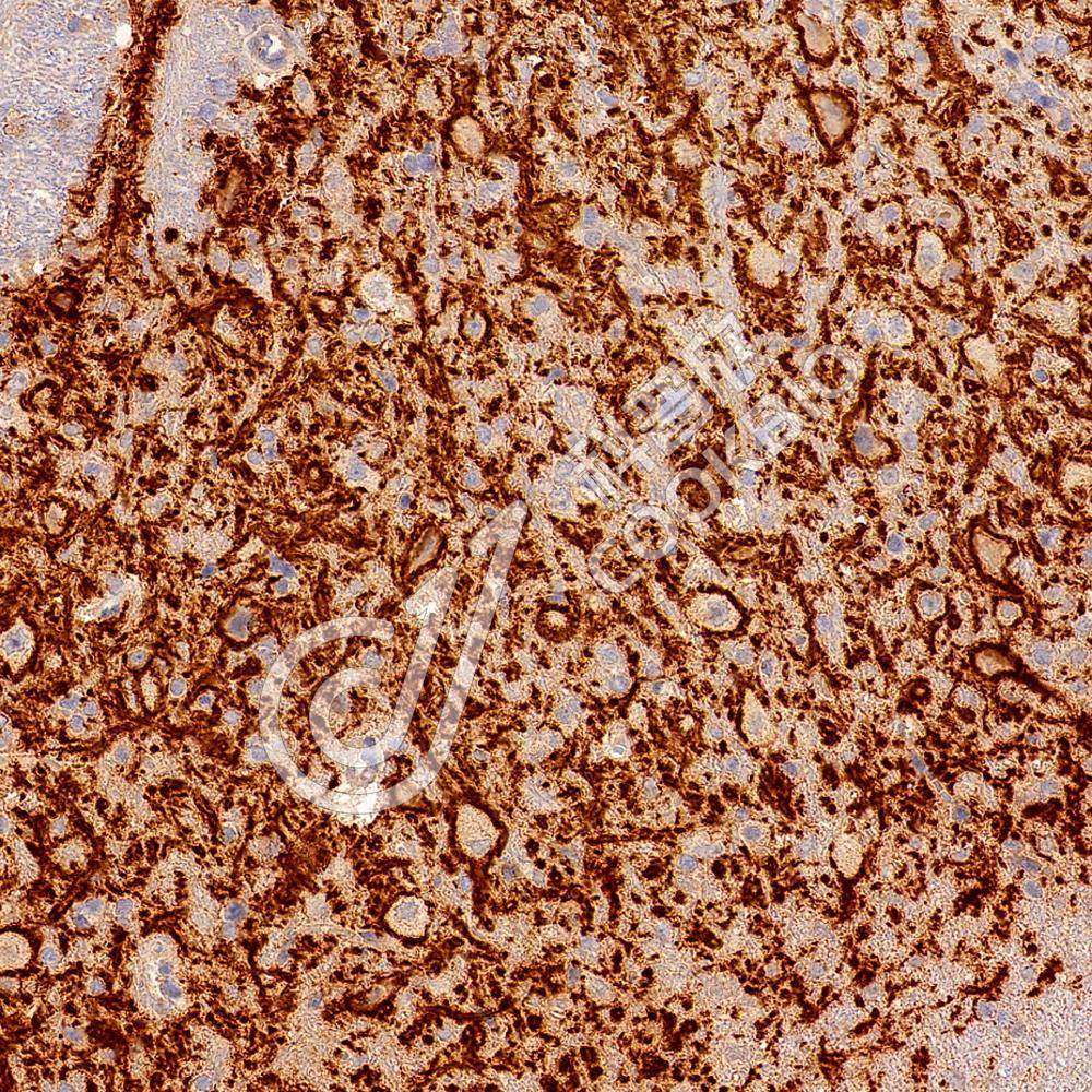
IHC检测HAPLN4蛋白(货号 K1342714).
样品: 小鼠小脑, 4%多聚甲醛 (货号KSG1101) 固定12-24小时.
抗原修复: 柠檬酸抗原修复液(干粉, pH 6.0) (KSG1201), 98℃, 20分钟.
—抗: 1: 1800稀释, 4℃ 孵育过夜.
二抗: S-vision免疫组化多聚二抗(山羊抗兔),即用型 (货号KB3906), 室温孵育20分钟.
IHC检测HAPLN4蛋白(货号 K1342714).
样品: 大鼠小脑, 4%多聚甲醛 (货号KSG1101) 固定12-24小时.
抗原修复: 柠檬酸抗原修复液(干粉, pH 6.0) (KSG1201), 98℃, 20分钟.
—抗: 1: 1800稀释, 4℃ 孵育过夜.
二抗: S-vision免疫组化多聚二抗(山羊抗兔),即用型 (货号KB3906), 室温孵育20分钟.

需要技术支持?

如果您有任何问题或如果您在实验过程中遇到问题,或需要更详细的技术指导,请联系我们的技术支持团队
电话 400-6027-270

联系我们

如果您对我们的公司或产品有任何疑问,欢迎随时联系我们