tel 400-6027-270
Main Image
Anti-Parkin 兔多克隆抗体
¥1900
加入对比
货号: K1344502-100
亚细胞定位: 细胞质, 细胞核, 内质网, 线粒体
别名: AR JP,LPRS2,PARK2,Parkin,Parkinson disease protein 2,PDJ,PRKN,Parkinson juvenile disease protein 2,Parkin RBR E3 ubiquitin-protein ligase,AR-JP
应用 | 种属
IHC/IF H,M
规格:
产品信息
蛋白质全称 E3泛素-蛋白连接酶帕金蛋白
别名 AR JP,LPRS2,PARK2,Parkin,Parkinson disease protein 2,PDJ,PRKN,Parkinson juvenile disease protein 2,Parkin RBR E3 ubiquitin-protein ligase,AR-JP
Uniprot ID Q9WVS6
免疫原 KLH偶联的小鼠Parkin合成肽
抗体亚型 IgG
纯化方式 亲和纯化
亚细胞定位 细胞质, 细胞核, 内质网, 线粒体
应用
IHC/IF 免疫组织化学/免疫荧光
物种:人,小鼠
稀释比:1:150-1:450
阳性样品:结直肠癌, 胰腺, PD脑
背景
Parkin, a RING-type E3 ubiquitin-protein ligase, is involved in the ubiquitination pathway and contributes to protection from neurotoxicity induced by unfolded protein stresses. Its ubiquitin-protein ligase activity promotes the degradation of a viariety of proteins including itself. Mutations in Parkin are implicated in the pathogenesis of autosomal recessive familial Parkinson's disease. It has 8 isoforms produced by alternative splicing.
储存条件
储存条件:储存条件在:-20℃下储存一年, 避免反复冻融.
储存缓冲液:含0.15% ProClin300防腐剂, 100 μg/mL牛血清白蛋白和50%甘油的磷酸盐缓冲液.
图像
IHC检测Parkin蛋白(货号 K1344502).
样品: 人结直肠癌, 4%多聚甲醛 (货号KSG1101) 固定12-24小时.
抗原修复: 柠檬酸抗原修复液(干粉, pH 6.0) (KSG1201), 98℃, 20分钟.
—抗: 1: 300稀释, 4℃ 孵育过夜.
二抗: S-vision免疫组化多聚二抗(山羊抗兔),即用型 (货号KB3906), 室温孵育20分钟.
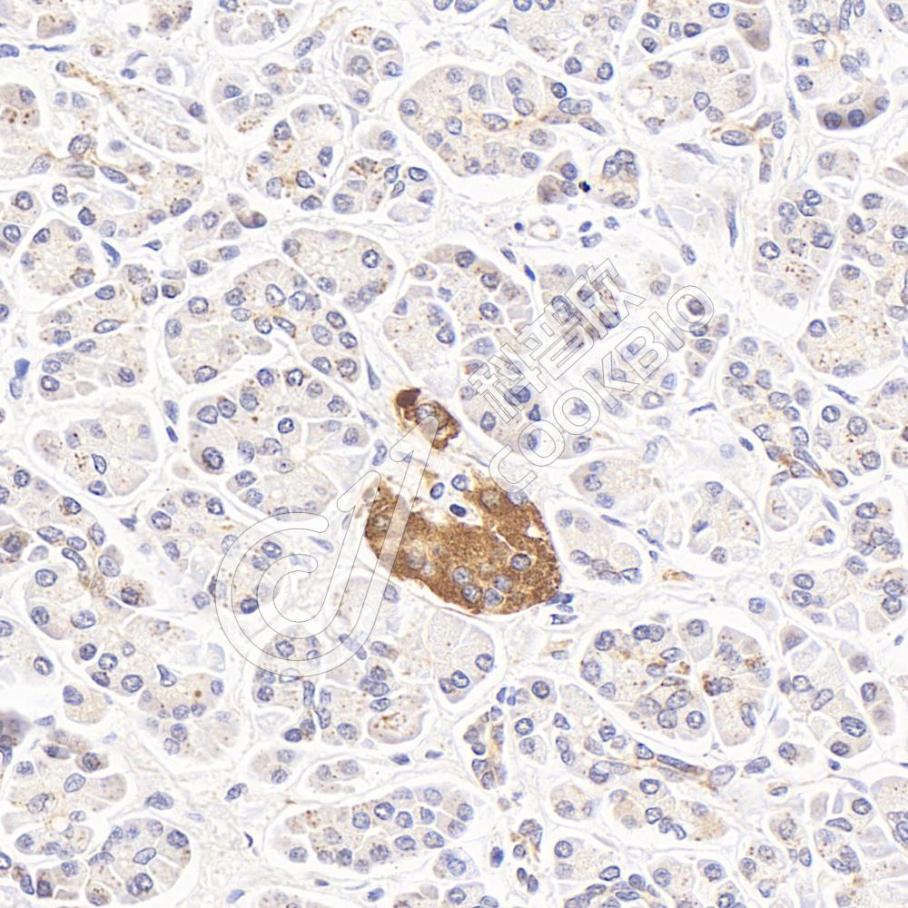
IHC检测Parkin蛋白(货号 K1344502).
样品: 人胰腺, 4%多聚甲醛 (货号KSG1101) 固定12-24小时.
抗原修复: 柠檬酸抗原修复液(干粉, pH 6.0) (KSG1201), 98℃, 20分钟.
—抗: 1: 300稀释, 4℃ 孵育过夜.
二抗: S-vision免疫组化多聚二抗(山羊抗兔),即用型 (货号KB3906), 室温孵育20分钟.
IF检测Parkin蛋白(货号 K1344502)(红色).
样品: 小鼠PD脑, 4%多聚甲醛 (货号KSG1101) 固定12-24小时.
抗原修复: Tris-EDTA抗原修复液(pH 9.0) (KSG1203), 98℃, 20分钟.
封闭: 3% BSA(货号KSGC305010)的PBS溶液, 室温孵育30分钟.
—抗: 1: 300稀释, 4℃ 孵育过夜.
二抗: Cy3标记山羊抗兔IgG (H+L) (货号KB63909), 1: 300稀释, 室温孵育1小时.

需要技术支持?

如果您有任何问题或如果您在实验过程中遇到问题,或需要更详细的技术指导,请联系我们的技术支持团队
电话 400-6027-270

联系我们

如果您对我们的公司或产品有任何疑问,欢迎随时联系我们