tel 400-6027-270
Main Image
Anti-TGF beta 1 兔多克隆抗体
¥1900
加入对比
货号: K1347217-100
亚细胞定位: 分泌型
别名: CED,DPD1,LAP,TGF beta 1,tgf beta1,TGFB,TGFB1,TGFbeta,tgfbeta1,tgf-beta1,TGFβ,TGFβ1,TGF-β1
应用 | 种属
IHC/IF M,R
规格:
产品信息
蛋白质全称 转化生长因子β1前体
别名 CED,DPD1,LAP,TGF beta 1,tgf beta1,TGFB,TGFB1,TGFbeta,tgfbeta1,tgf-beta1,TGFβ,TGFβ1,TGF-β1
Uniprot ID P04202
免疫原 小鼠TGF beta 1重组蛋白
抗体亚型 IgG
纯化方式 亲和纯化
亚细胞定位 分泌型
应用
IHC/IF 免疫组织化学/免疫荧光
物种:小鼠,大鼠
稀释比:1:500-1:1000
阳性样品:骨, 骨关节炎
背景
TGFB, also named as LAP and TGFB1, is a multifunctional peptide that controls proliferation, differentiation, and other functions in many cell types. TGFB acts synergistically with TGFA in inducing transformation. It also acts as a negative autocrine growth factor. Dysregulation of TGFB activation and signaling may result in apoptosis. Many cells synthesize TGFB and almost all of them have specific receptors for it. TGFB positively and negatively regulates many other growth factors.
储存条件
储存条件:储存条件在:-20℃下储存一年, 避免反复冻融.
储存缓冲液:含0.15% ProClin300防腐剂, 100 μg/mL牛血清白蛋白和50%甘油的磷酸盐缓冲液.
图像
IHC检测TGF beta 1蛋白(货号 K1347217).
样品: 小鼠骨, 4%多聚甲醛 (货号KSG1101) 固定12-24小时.
抗原修复: 柠檬酸抗原修复液(干粉, pH 6.0) (KSG1201), 98℃, 20分钟.
—抗: 1: 800稀释, 4℃ 孵育过夜.
二抗: S-vision免疫组化多聚二抗(山羊抗兔),即用型 (货号KB3906), 室温孵育20分钟.
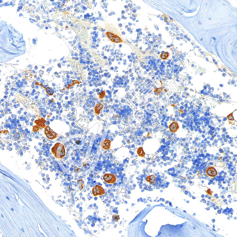
IHC检测TGF beta 1蛋白(货号 K1347217).
样品: 大鼠骨关节炎, 4%多聚甲醛 (货号KSG1101) 固定12-24小时.
抗原修复: 柠檬酸抗原修复液(干粉, pH 6.0) (KSG1201), 98℃, 20分钟.
—抗: 1: 800稀释, 4℃ 孵育过夜.
二抗: S-vision免疫组化多聚二抗(山羊抗兔),即用型 (货号KB3906), 室温孵育20分钟.

需要技术支持?

如果您有任何问题或如果您在实验过程中遇到问题,或需要更详细的技术指导,请联系我们的技术支持团队
电话 400-6027-270

联系我们

如果您对我们的公司或产品有任何疑问,欢迎随时联系我们