tel 400-6027-270
Main Image
Anti-Galectin 3 小鼠单克隆抗体
¥1900
加入对比
货号: K236738-100
亚细胞定位: 细胞质, 细胞核, 分泌型
别名: LGALS3,CBP35,GAL3,GALBP,GALIG,L31,LGALS2,MAC2,lectin,Galactoside binding soluble 3,Galectin 3,Gal-3,35 kDa lectin,L-31,Galactose-specific lectin 3,IgE-binding protein
应用 | 种属
IHC/IF H
规格:
产品信息
蛋白质全称 半乳糖凝集素3
别名 LGALS3,CBP35,GAL3,GALBP,GALIG,L31,LGALS2,MAC2,lectin,Galactoside binding soluble 3,Galectin 3,Gal-3,35 kDa lectin,L-31,Galactose-specific lectin 3,IgE-binding protein
Uniprot ID P16110
免疫原 小鼠Galectin 3重组蛋白
抗体亚型 IgG2a, κ
克隆号 3G7F11
纯化方式 亲和纯化
亚细胞定位 细胞质, 细胞核, 分泌型
应用
IHC/IF 免疫组织化学/免疫荧光
物种:人
稀释比:1:500-1:2000
阳性样品:扁桃体
背景
Galactose-specific lectin which binds IgE. May mediate with the alpha-3, beta-1 integrin the stimulation by CSPG4 of endothelial cells migration. Together with DMBT1, required for terminal differentiation of columnar epithelial cells during early embryogenesis (By similarity). In the nucleus: acts as a pre-mRNA splicing factor. Involved in acute inflammatory responses including neutrophil activation and adhesion, chemoattraction of monocytes macrophages, opsonization of apoptotic neutrophils, and activation of mast cells.
储存条件
储存条件:储存条件在:-20℃下储存一年, 避免反复冻融.
储存缓冲液:含0.15% ProClin300防腐剂, 100 μg/mL牛血清白蛋白和50%甘油的磷酸盐缓冲液.
图像
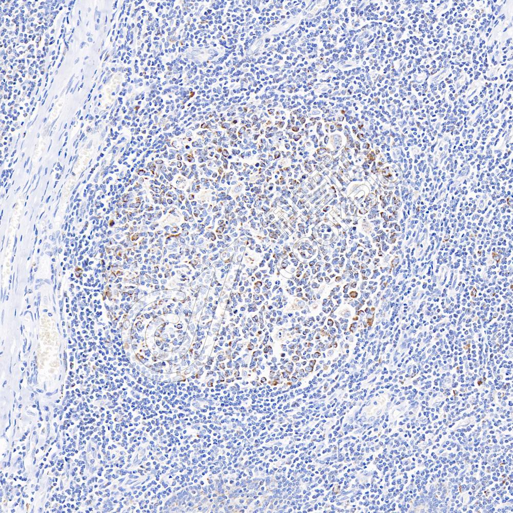
IHC检测Galectin 3蛋白(货号 K236738).
样品: 人扁桃体, 4%多聚甲醛 (货号KSG1101) 固定12-24小时.
抗原修复: 柠檬酸抗原修复液(干粉, pH 6.0) (KSG1201), 高压锅均匀喷气计时2分钟.
—抗: 1: 1300稀释, 4℃ 孵育过夜.
二抗: S-vision免疫组化多聚二抗(山羊抗小鼠), 即用型(货号KB3903), 室温孵育20分钟.
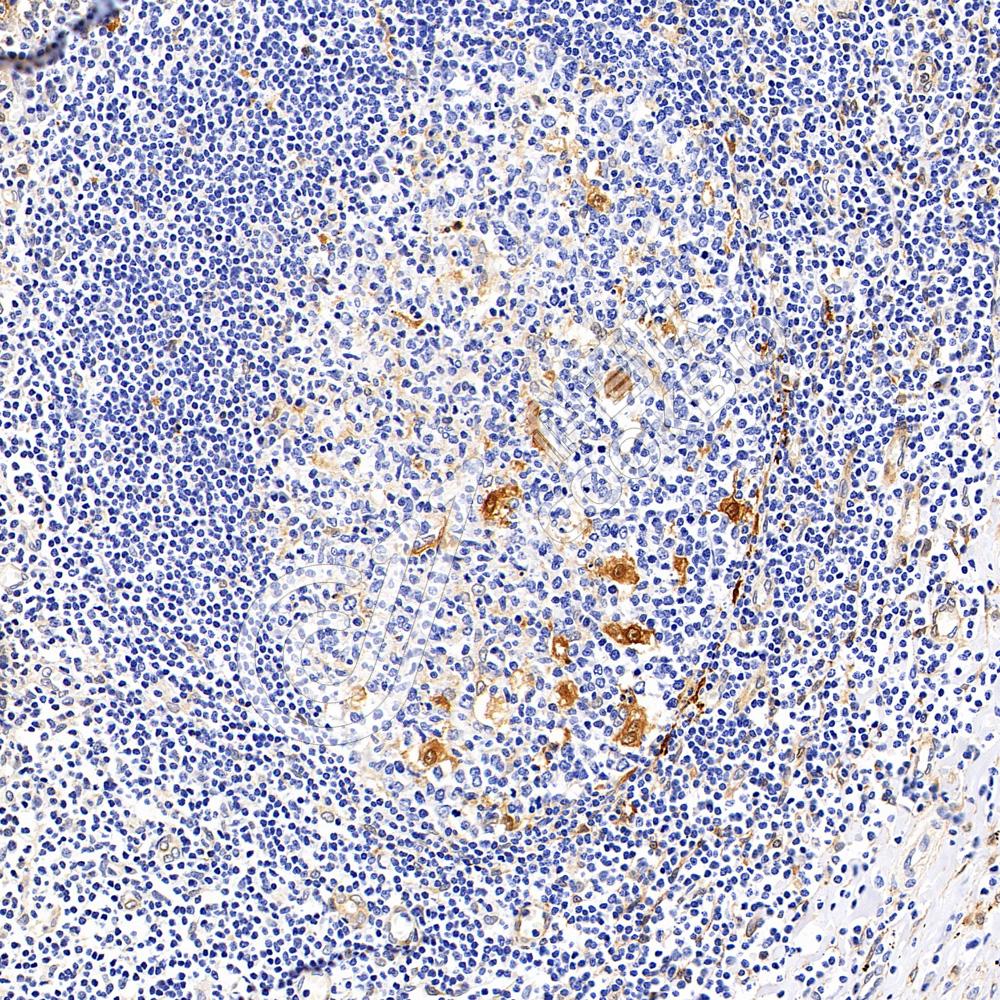
IHC检测Galectin 3蛋白(货号 K236738).
样品: 人扁桃体, 4%多聚甲醛 (货号KSG1101) 固定12-24小时.
抗原修复: 柠檬酸抗原修复液(干粉, pH 6.0) (KSG1201), 高压锅均匀喷气计时2分钟.
—抗: 1: 1300稀释, 4℃ 孵育过夜.
二抗: S-vision免疫组化多聚二抗(山羊抗小鼠), 即用型(货号KB3903), 室温孵育20分钟.

需要技术支持?

如果您有任何问题或如果您在实验过程中遇到问题,或需要更详细的技术指导,请联系我们的技术支持团队
电话 400-6027-270

联系我们

如果您对我们的公司或产品有任何疑问,欢迎随时联系我们