tel 400-6027-270
Main Image
Anti-APG5L/ATG5 兔多克隆抗体
¥1900
加入对比
货号: K134203-100
亚细胞定位: 细胞质
别名: ATG5,APG5,APG5-LIKE,APG5L ASP,hAPG5,autophagy related 5,SCAR25
应用 | 种属
IHC/IF H,M,R
规格:
产品信息
蛋白质全称 自噬相关蛋白5
别名 ATG5,APG5,APG5-LIKE,APG5L ASP,hAPG5,autophagy related 5,SCAR25
Uniprot ID Q99J83
免疫原 KLH偶联的小鼠ATG5合成肽
抗体亚型 IgG
纯化方式 亲和纯化
亚细胞定位 细胞质
应用
IHC/IF 免疫组织化学/免疫荧光
物种:人,小鼠,大鼠
稀释比:1:500-1:1000
阳性样品:结肠癌, 肝癌, 肺
背景
Autophagy protein 5 is a protein that in humans is encoded by the ATG5 gene. It is an E3 ubiquitin ligase which is necessary for autophagy due to its role in autophagosome elongation. It is activated by ATG7 and forms a complex with ATG12 and ATG16L1. This complex is necessary for LC3-1 conjugation to PE to form LC3-II.
储存条件
储存条件:储存条件在:-20℃下储存一年, 避免反复冻融.
储存缓冲液:含0.15% ProClin300防腐剂, 100 μg/mL牛血清白蛋白和50%甘油的磷酸盐缓冲液.
图像
IHC检测APG5L/ATG5蛋白(货号 K134203).
样品: 人结肠癌, 4%多聚甲醛 (货号KSG1101) 固定12-24小时.
抗原修复: 柠檬酸抗原修复液(干粉, pH 6.0) (KSG1201), 98℃, 20分钟.
—抗: 1: 800稀释, 4℃ 孵育过夜.
二抗: S-vision免疫组化多聚二抗(山羊抗兔),即用型 (货号KB3906), 室温孵育20分钟.
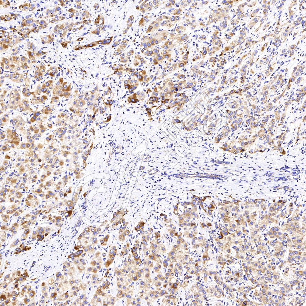
IHC检测APG5L/ATG5蛋白(货号 K134203).
样品: 人肝癌, 4%多聚甲醛 (货号KSG1101) 固定12-24小时.
抗原修复: 柠檬酸抗原修复液(干粉, pH 6.0) (KSG1201), 98℃, 20分钟.
—抗: 1: 800稀释, 4℃ 孵育过夜.
二抗: S-vision免疫组化多聚二抗(山羊抗兔),即用型 (货号KB3906), 室温孵育20分钟.
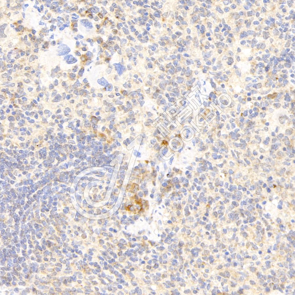
IHC检测APG5L/ATG5蛋白(货号 K134203).
样品: 大鼠脾, 4%多聚甲醛 (货号KSG1101) 固定12-24小时.
抗原修复: 柠檬酸抗原修复液(干粉, pH 6.0) (KSG1201), 98℃, 20分钟.
—抗: 1: 800稀释, 4℃ 孵育过夜.
二抗: S-vision免疫组化多聚二抗(山羊抗兔),即用型 (货号KB3906), 室温孵育20分钟.
IF检测APG5L/ATG5蛋白(货号 K134203)(红色).
样品: 小鼠肺, 4%多聚甲醛 (货号KSG1101) 固定12-24小时.
抗原修复: Tris-EDTA抗原修复液(pH 9.0) (KSG1203), 98℃, 20分钟.
封闭: 3% BSA(货号KSGC305010)的PBS溶液, 室温孵育30分钟.
—抗: 1: 800稀释, 4℃ 孵育过夜.
二抗: Cy3标记山羊抗兔IgG (H+L) (货号KB63909), 1: 300稀释, 室温孵育1小时.

需要技术支持?

如果您有任何问题或如果您在实验过程中遇到问题,或需要更详细的技术指导,请联系我们的技术支持团队
电话 400-6027-270

联系我们

如果您对我们的公司或产品有任何疑问,欢迎随时联系我们