tel 400-6027-270
Main Image
Anti-NK-p44 兔多克隆抗体
¥1900
加入对比
货号: K134845-100
亚细胞定位: 细胞膜
别名: NCR2,CD336,LY95,NK-p44,NKP44,dJ149M18.1,natural cytotoxicity triggering receptor 2
应用 | 种属
IHC/IF H,M
规格:
产品信息
蛋白质全称 自然细胞毒性触发受体2
别名 NCR2,CD336,LY95,NK-p44,NKP44,dJ149M18.1,natural cytotoxicity triggering receptor 2
Uniprot ID O95944
免疫原 KLH偶联的人NK-p44合成肽
抗体亚型 IgG
纯化方式 亲和纯化
亚细胞定位 细胞膜
应用
IHC/IF 免疫组织化学/免疫荧光
物种:人,小鼠
稀释比:1:250-1:1000
阳性样品:阑尾, 脾
背景
NCR2 (NKp44) is a member of the natural cytotoxicity receptor (NCR) family that is expressed on activated human NK cells. NCR2 displays a single extracellular Ig-like V domain and a transmembrane portion containing the charged residue (Lysine), likely involved in the association with KARAP/DAP12 molecules.
储存条件
储存条件:储存条件在:-20℃下储存一年, 避免反复冻融.
储存缓冲液:含0.15% ProClin300防腐剂, 100 μg/mL牛血清白蛋白和50%甘油的磷酸盐缓冲液.
图像
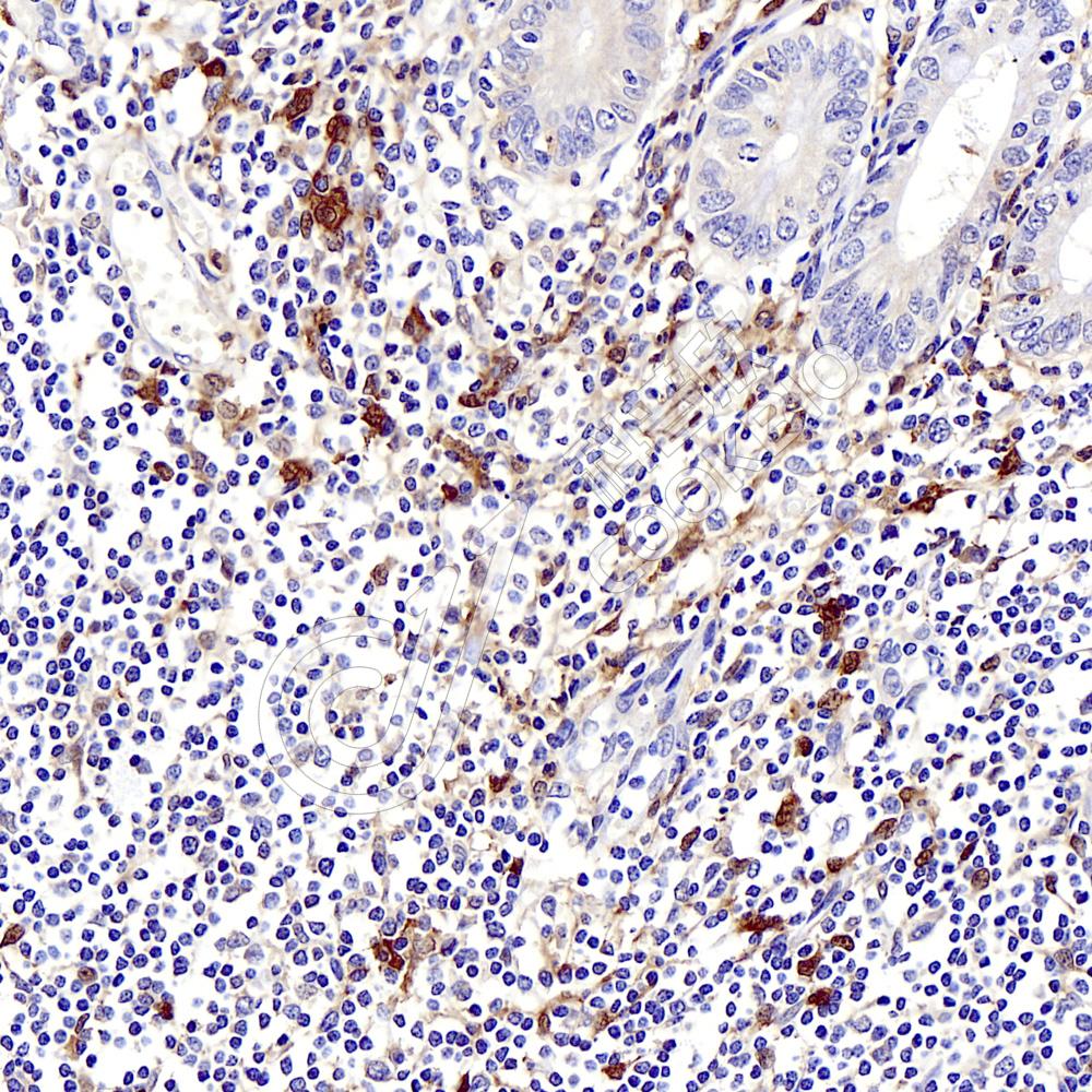
IHC检测NK-p44蛋白(货号 K134845).
样品: 人阑尾, 4%多聚甲醛 (货号KSG1101) 固定12-24小时.
抗原修复: 柠檬酸抗原修复液(干粉, pH 6.0) (KSG1201), 98℃, 20分钟.
—抗: 1: 600稀释, 4℃ 孵育过夜.
二抗: S-vision免疫组化多聚二抗(山羊抗兔),即用型 (货号KB3906), 室温孵育20分钟.
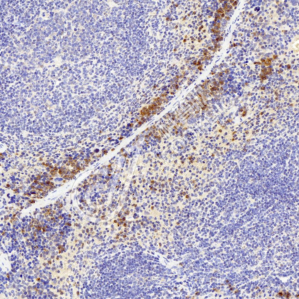
IHC检测NK-p44蛋白(货号 K134845).
样品: 小鼠脾, 4%多聚甲醛 (货号KSG1101) 固定12-24小时.
抗原修复: 柠檬酸抗原修复液(干粉, pH 6.0) (KSG1201), 98℃, 20分钟.
—抗: 1: 600稀释, 4℃ 孵育过夜.
二抗: S-vision免疫组化多聚二抗(山羊抗兔),即用型 (货号KB3906), 室温孵育20分钟.

需要技术支持?

如果您有任何问题或如果您在实验过程中遇到问题,或需要更详细的技术指导,请联系我们的技术支持团队
电话 400-6027-270

联系我们

如果您对我们的公司或产品有任何疑问,欢迎随时联系我们