tel 400-6027-270
Main Image
Anti-SDF1 兔多克隆抗体
¥1900
加入对比
货号: K134872-100
亚细胞定位: 分泌型
别名: CXCL12,IRH,PBSF,SCYB12,SDF1,TLSF,TPAR1,C-X-C motif chemokine ligand 12
应用 | 种属
IHC/IF M
规格:
产品信息
蛋白质全称 基质细胞衍生因子1
别名 CXCL12,IRH,PBSF,SCYB12,SDF1,TLSF,TPAR1,C-X-C motif chemokine ligand 12
Uniprot ID P40224
免疫原 KLH偶联的小鼠SDF1合成肽
抗体亚型 IgG
纯化方式 亲和纯化
亚细胞定位 分泌型
应用
IHC/IF 免疫组织化学/免疫荧光
物种:小鼠
稀释比:1:500-1:2000
阳性样品:肝, 肺
背景
The stromal cell-derived factor 1 (SDF1), also known as C-X-C motif chemokine 12 (CXCL12), is a chemokine protein which is encoded by the CXCL12 gene on chromosome 10 in humans. CXCL12 is strongly chemotactic for lymphocytes. During embryogenesis, it directs the migration of hematopoietic cells from fetal liver to bone marrow and the formation of large blood vessels. It has also been shown that CXCL12 signalling regulates the expression of CD20 on B cells. CXCL12 is also chemotactic for mesenchymal stem cells and is expressed in the area of inflammatory bone destruction, where it mediates their suppressive effect on osteoclastogenesis.
储存条件
储存条件:储存条件在:-20℃下储存一年, 避免反复冻融.
储存缓冲液:含0.15% ProClin300防腐剂, 100 μg/mL牛血清白蛋白和50%甘油的磷酸盐缓冲液.
图像
IHC检测SDF1蛋白(货号 K134872).
样品: 小鼠肝, 4%多聚甲醛 (货号KSG1101) 固定12-24小时.
抗原修复: 柠檬酸抗原修复液(干粉, pH 6.0) (KSG1201), 98℃, 20分钟.
—抗: 1: 1300稀释, 4℃ 孵育过夜.
二抗: S-vision免疫组化多聚二抗(山羊抗兔),即用型 (货号KB3906), 室温孵育20分钟.
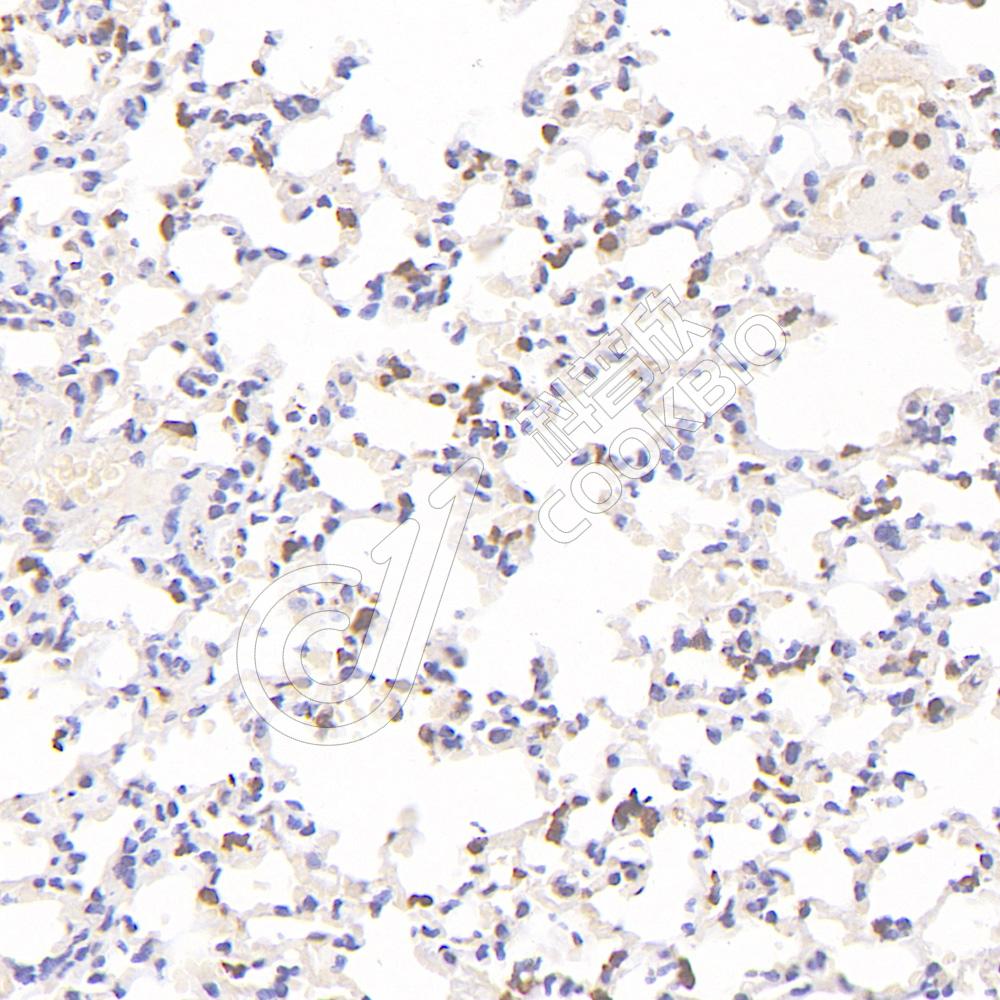
IHC检测SDF1蛋白(货号 K134872).
样品: 小鼠肺, 4%多聚甲醛 (货号KSG1101) 固定12-24小时.
抗原修复: 柠檬酸抗原修复液(干粉, pH 6.0) (KSG1201), 98℃, 20分钟.
—抗: 1: 1300稀释, 4℃ 孵育过夜.
二抗: S-vision免疫组化多聚二抗(山羊抗兔),即用型 (货号KB3906), 室温孵育20分钟.

需要技术支持?

如果您有任何问题或如果您在实验过程中遇到问题,或需要更详细的技术指导,请联系我们的技术支持团队
电话 400-6027-270

联系我们

如果您对我们的公司或产品有任何疑问,欢迎随时联系我们