tel 400-6027-270
Main Image
Anti-IL-2 兔多克隆抗体
¥1900
加入对比
货号: K133342-100
预测分子量: 18 kDa
观测分子量: 22 kDa
亚细胞定位: 分泌型
别名: IL2,IL-2,TCGF,lymphokine,interleukin 2
应用 | 种属
WB M
IHC/IF H,M
规格:
产品信息
蛋白质全称 白细胞介素-2
别名 IL2,IL-2,TCGF,lymphokine,interleukin 2
Uniprot ID P04351
免疫原 KLH偶联的小鼠IL-2合成肽
抗体亚型 IgG
纯化方式 亲和纯化
亚细胞定位 分泌型
预测分子量./观测分子量. 18 kDa / 22 kDa
应用
WB 免疫印迹
物种:小鼠
稀释比:1:500-1:2000
阳性样品:—
IHC/IF 免疫组织化学/免疫荧光
物种:人,小鼠
稀释比:1:200-1:3000
阳性样品:脾, 扁桃体
背景
Produced by T-cells in response to antigenic or mitogenic stimulation, this protein is required for T-cell proliferation and other activities crucial to regulation of the immune response. Can stimulate B-cells, monocytes, lymphokine-activated killer cells, natural killer cells, and glioma cells.
储存条件
储存条件:储存条件在:-20℃下储存一年, 避免反复冻融.
储存缓冲液:含0.15% ProClin300防腐剂, 100 μg/mL牛血清白蛋白和50%甘油的磷酸盐缓冲液.
图像
IHC检测IL-2蛋白(货号 K133342).
样品: 人扁桃体, 4%多聚甲醛 (货号KSG1101) 固定12-24小时.
抗原修复: 柠檬酸抗原修复液(干粉, pH 6.0) (KSG1201), 98℃, 20分钟.
—抗: 1: 1600稀释, 4℃ 孵育过夜.
二抗: S-vision免疫组化多聚二抗(山羊抗兔),即用型 (货号KB3906), 室温孵育20分钟.
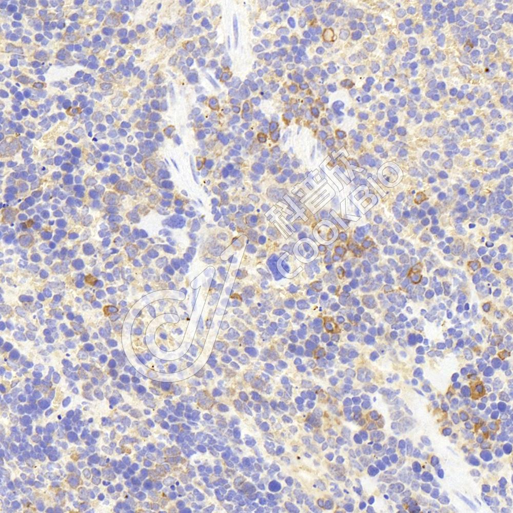
IHC检测IL-2蛋白(货号 K133342).
样品: 小鼠脾, 4%多聚甲醛 (货号KSG1101) 固定12-24小时.
抗原修复: 柠檬酸抗原修复液(干粉, pH 6.0) (KSG1201), 98℃, 20分钟.
—抗: 1: 1600稀释, 4℃ 孵育过夜.
二抗: S-vision免疫组化多聚二抗(山羊抗兔),即用型 (货号KB3906), 室温孵育20分钟.

需要技术支持?

如果您有任何问题或如果您在实验过程中遇到问题,或需要更详细的技术指导,请联系我们的技术支持团队
电话 400-6027-270

联系我们

如果您对我们的公司或产品有任何疑问,欢迎随时联系我们