tel 400-6027-270
Main Image
Anti-IL-1 beta 小鼠单克隆抗体
¥1900
加入对比
货号: K236345-100
亚细胞定位: 细胞质, 溶酶体, 分泌型
别名: IL1B,IL-1,IL1-BETA,IL1F2,interleukin 1 beta
应用 | 种属
IHC/IF H,M,R
规格:
产品信息
蛋白质全称 白细胞介素-1β
别名 IL1B,IL-1,IL1-BETA,IL1F2,interleukin 1 beta
Uniprot ID Q63264
免疫原 大鼠IL-1 beta重组蛋白
抗体亚型 IgG1, κ
克隆号 2-1C1
纯化方式 亲和纯化
亚细胞定位 细胞质, 溶酶体, 分泌型
应用
IHC/IF 免疫组织化学/免疫荧光
物种:人,小鼠,大鼠
稀释比:1:300-1:600
阳性样品:lps诱导脾脏炎症模型(6h), 损伤肺, 扁桃体
背景
Potent proinflammatory cytokine. Initially discovered as the major endogenous pyrogen, induces prostaglandin synthesis, neutrophil influx and activation, T-cell activation and cytokine production, B-cell activation and antibody production, and fibroblast proliferation and collagen production. Promotes Th17 differentiation of T-cells.
储存条件
储存条件:储存条件在:-20℃下储存一年, 避免反复冻融.
储存缓冲液:含0.15% ProClin300防腐剂, 100 μg/mL牛血清白蛋白和50%甘油的磷酸盐缓冲液.
图像
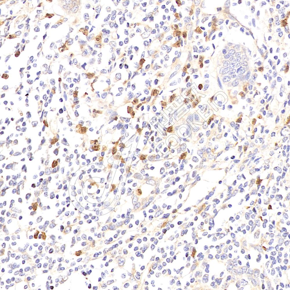
IHC检测IL-1 beta蛋白(货号 K236345).
样品: 人扁桃体, 4%多聚甲醛 (货号KSG1101) 固定12-24小时.
抗原修复: 柠檬酸抗原修复液(干粉, pH 6.0) (KSG1201), 高压锅均匀喷气计时2分钟.
—抗: 1: 500稀释, 4℃ 孵育过夜.
二抗: S-vision免疫组化多聚二抗(山羊抗小鼠), 即用型(货号KB3903), 室温孵育20分钟.
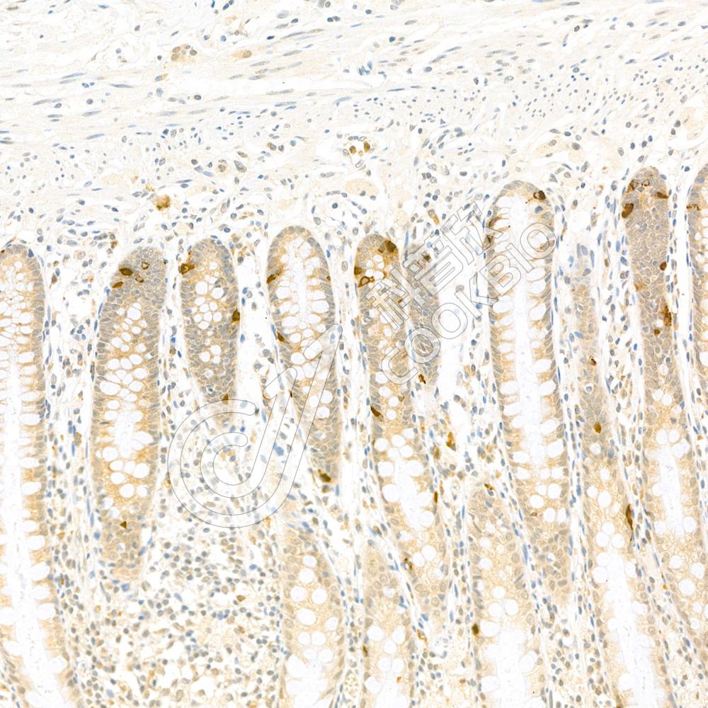
IF检测IL-1 beta蛋白(货号 K236345)(红色).
样品: 小鼠lps诱导脾脏炎症模型(6h), 4%多聚甲醛 (货号KSG1101) 固定12-24小时.
抗原修复: 柠檬酸抗原修复液(干粉, pH 6.0) (KSG1201), 高压锅均匀喷气计时2分钟.
封闭: 3% BSA(货号KSGC305010)的PBS溶液, 室温孵育30分钟.
—抗: 1: 500稀释, 4℃ 孵育过夜.
二抗: Cy3标记山羊抗小鼠IgG (H+L) (货号KB63903), 1: 300稀释, 室温孵育1小时.
IF检测IL-1 beta蛋白(货号 K236345)(红色).
样品: 大鼠损伤肺, 4%多聚甲醛 (货号KSG1101) 固定12-24小时.
抗原修复: 柠檬酸抗原修复液(干粉, pH 6.0) (KSG1201), 高压锅均匀喷气计时2分钟.
封闭: 3% BSA(货号KSGC305010)的PBS溶液, 室温孵育30分钟.
—抗: 1: 500稀释, 4℃ 孵育过夜.
二抗: Cy3标记山羊抗小鼠IgG (H+L) (货号KB63903), 1: 300稀释, 室温孵育1小时.

需要技术支持?

如果您有任何问题或如果您在实验过程中遇到问题,或需要更详细的技术指导,请联系我们的技术支持团队
电话 400-6027-270

联系我们

如果您对我们的公司或产品有任何疑问,欢迎随时联系我们