tel 400-6027-270
Main Image
Anti-BCA1 兔多克隆抗体
¥1900
加入对比
货号: K135757-100
亚细胞定位: 分泌型
别名: CXCL13,ANGIE,ANGIE2,BCA-1,BCA1,BLC,BLR1L,SCYB13,C-X-C motif chemokine ligand 13
应用 | 种属
IHC/IF M,R
规格:
产品信息
蛋白质全称 C-X-C基序趋化因子13
别名 CXCL13,ANGIE,ANGIE2,BCA-1,BCA1,BLC,BLR1L,SCYB13,C-X-C motif chemokine ligand 13
Uniprot ID O55038
免疫原 KLH偶联的小鼠BCA1合成肽
抗体亚型 IgG
纯化方式 亲和纯化
亚细胞定位 分泌型
应用
IHC/IF 免疫组织化学/免疫荧光
物种:小鼠,大鼠
稀释比:1:500-1:2000
阳性样品:脑, 淋巴结, 脾
背景
CXCL13 is a small chemokine belonging to the CXC chemokine family. this chemokine is selectively chemotactic for B cells belonging to both the B-1 and B-2 subsets, and elicits its effects by interacting with chemokine receptor CXCR5. CXCL13 and its receptor CXCR5 control the organization of B cells within follicles of lymphoid tissues. In T lymphocytes, CXCL13 expression is thought to reflect a germinal center origin of the T cell, particularly a subset of T cells called follicular B helper T cells (or TFH cells).
储存条件
储存条件:储存条件在:-20℃下储存一年, 避免反复冻融.
储存缓冲液:含0.15% ProClin300防腐剂, 100 μg/mL牛血清白蛋白和50%甘油的磷酸盐缓冲液.
图像
IHC检测BCA1蛋白(货号 K135757).
样品: 小鼠脑, 4%多聚甲醛 (货号KSG1101) 固定12-24小时.
抗原修复: 柠檬酸抗原修复液(干粉, pH 6.0) (KSG1201), 98℃, 20分钟.
—抗: 1: 1300稀释, 4℃ 孵育过夜.
二抗: S-vision免疫组化多聚二抗(山羊抗兔),即用型 (货号KB3906), 室温孵育20分钟.
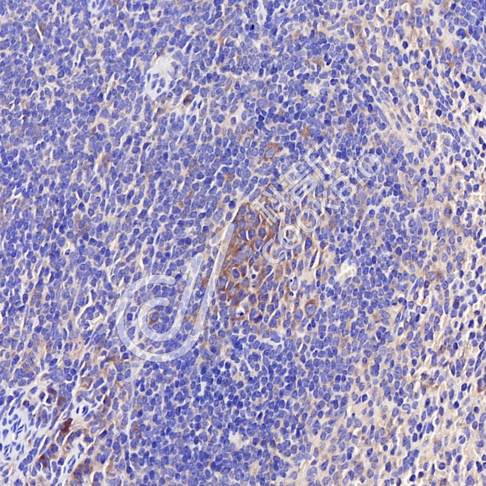
IHC检测BCA1蛋白(货号 K135757).
样品: 小鼠脾, 4%多聚甲醛 (货号KSG1101) 固定12-24小时.
抗原修复: 柠檬酸抗原修复液(干粉, pH 6.0) (KSG1201), 98℃, 20分钟.
—抗: 1: 1300稀释, 4℃ 孵育过夜.
二抗: S-vision免疫组化多聚二抗(山羊抗兔),即用型 (货号KB3906), 室温孵育20分钟.
IF检测BCA1蛋白(货号 K135757)(红色).
样品: 大鼠淋巴结, 4%多聚甲醛 (货号KSG1101) 固定12-24小时.
抗原修复: Tris-EDTA抗原修复液(pH 9.0) (KSG1203), 98℃, 20分钟.
封闭: 3% BSA(货号KSGC305010)的PBS溶液, 室温孵育30分钟.
—抗: 1: 1300稀释, 4℃ 孵育过夜.
二抗: Cy3标记山羊抗兔IgG (H+L) (货号KB63909), 1: 300稀释, 室温孵育1小时.

需要技术支持?

如果您有任何问题或如果您在实验过程中遇到问题,或需要更详细的技术指导,请联系我们的技术支持团队
电话 400-6027-270

联系我们

如果您对我们的公司或产品有任何疑问,欢迎随时联系我们