tel 400-6027-270
Main Image
Anti-REDD-1/DDIT4 兔多克隆抗体
¥1900
加入对比
货号: K135811-100
亚细胞定位: 细胞质
别名: Ddit4,DDIT4,Dig2,REDD-1,REDD1,DNA damage inducible transcript 4
应用 | 种属
IHC/IF M,R
规格:
产品信息
蛋白质全称 DNA损伤诱导转录本4蛋白
别名 Ddit4,DDIT4,Dig2,REDD-1,REDD1,DNA damage inducible transcript 4
Uniprot ID Q9D3F7
免疫原 小鼠DDIT4重组蛋白
抗体亚型 IgG
纯化方式 亲和纯化
亚细胞定位 细胞质
应用
IHC/IF 免疫组织化学/免疫荧光
物种:小鼠,大鼠
稀释比:1:500-1:3000
阳性样品:胰腺
背景
DNA-damage-inducible transcript 4 (DDIT4) protein is a protein encoded by the DDIT4 gene. DDIT4 acts as a negative regulator of mTOR, a serine/threonine kinase that regulates a variety of cellular functions such as growth, proliferation and autophagy. In particular, upregulation of HIF-1 in response to hypoxia upregulates DDIT4, leading to activation of Tsc1/2 via 14–3–3 shuttling and subsequent downregulation of mTOR via Rheb. In addition to hypoxia, DDIT4 expression has also been shown to be activated by DNA damage and energy stress.
储存条件
储存条件:储存条件在:-20℃下储存一年, 避免反复冻融.
储存缓冲液:含0.15% ProClin300防腐剂, 100 μg/mL牛血清白蛋白和50%甘油的磷酸盐缓冲液.
图像
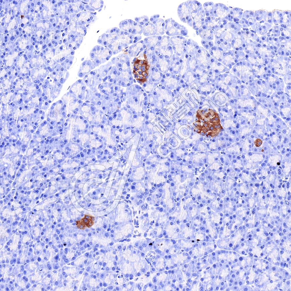
IHC检测REDD-1/DDIT4蛋白(货号 K135811).
样品: 小鼠胰腺, 4%多聚甲醛 (货号KSG1101) 固定12-24小时.
抗原修复: 柠檬酸抗原修复液(干粉, pH 6.0) (KSG1201), 98℃, 20分钟.
—抗: 1: 1800稀释, 4℃ 孵育过夜.
二抗: S-vision免疫组化多聚二抗(山羊抗兔),即用型 (货号KB3906), 室温孵育20分钟.
IHC检测REDD-1/DDIT4蛋白(货号 K135811).
样品: 大鼠胰腺, 4%多聚甲醛 (货号KSG1101) 固定12-24小时.
抗原修复: 柠檬酸抗原修复液(干粉, pH 6.0) (KSG1201), 98℃, 20分钟.
—抗: 1: 1800稀释, 4℃ 孵育过夜.
二抗: S-vision免疫组化多聚二抗(山羊抗兔),即用型 (货号KB3906), 室温孵育20分钟.

需要技术支持?

如果您有任何问题或如果您在实验过程中遇到问题,或需要更详细的技术指导,请联系我们的技术支持团队
电话 400-6027-270

联系我们

如果您对我们的公司或产品有任何疑问,欢迎随时联系我们