tel 400-6027-270
Main Image
Anti-Translin/TSN 兔多克隆抗体
¥1900
加入对比
货号: K1335865-100
亚细胞定位: 细胞质, 细胞核
别名: Component 3 of promoter of RISC,C3PO,Testis/brain RNA-binding protein,TB-RBP,REHF1,TRSLN,TSN
应用 | 种属
IHC/IF M,R
规格:
产品信息
蛋白质全称 转位蛋白
别名 Component 3 of promoter of RISC,C3PO,Testis/brain RNA-binding protein,TB-RBP,REHF1,TRSLN,TSN
Uniprot ID Q62348
免疫原 小鼠TSN重组蛋白
抗体亚型 IgG
纯化方式 亲和纯化
亚细胞定位 细胞质, 细胞核
应用
IHC/IF 免疫组织化学/免疫荧光
物种:小鼠,大鼠
稀释比:1:600-1:1200
阳性样品:肺
背景
TSN, also named as Translin or Component 3 of promoter of RISC, is a 228 amino acid protein, which belongs to the translin family. TSN as a DNA-binding protein that specifically recognizes consensus sequences at the breakpoint junctions in chromosomal translations, mostly is involved in immunoglobulin T-cell receptor gene segments. TSN May act as an activator of RNA-induced silencing complex (RISC) by facilitating endonucleolytic cleavage of the siRNA passenger strand.
储存条件
储存条件:储存条件在:-20℃下储存一年, 避免反复冻融.
储存缓冲液:含0.15% ProClin300防腐剂, 100 μg/mL牛血清白蛋白和50%甘油的磷酸盐缓冲液.
图像
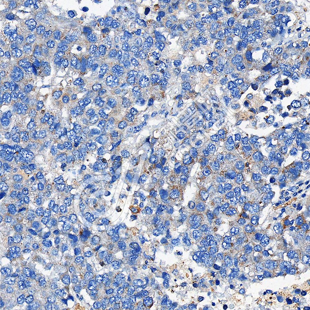
IHC检测Translin/TSN蛋白(货号 K1335865).
样品: 小鼠肺, 4%多聚甲醛 (货号KSG1101) 固定12-24小时.
抗原修复: Tris-EDTA抗原修复液(pH 9.0) (KSG1203), 98℃, 20分钟.
—抗: 1: 900稀释, 4℃ 孵育过夜.
二抗: S-vision免疫组化多聚二抗(山羊抗兔),即用型 (货号KB3906), 室温孵育20分钟.
IHC检测Translin/TSN蛋白(货号 K1335865).
样品: 大鼠肺, 4%多聚甲醛 (货号KSG1101) 固定12-24小时.
抗原修复: Tris-EDTA抗原修复液(pH 9.0) (KSG1203), 98℃, 20分钟.
—抗: 1: 900稀释, 4℃ 孵育过夜.
二抗: S-vision免疫组化多聚二抗(山羊抗兔),即用型 (货号KB3906), 室温孵育20分钟.

需要技术支持?

如果您有任何问题或如果您在实验过程中遇到问题,或需要更详细的技术指导,请联系我们的技术支持团队
电话 400-6027-270

联系我们

如果您对我们的公司或产品有任何疑问,欢迎随时联系我们