tel 400-6027-270
Main Image
Anti-MLH1 小鼠单克隆抗体
¥1900
加入对比
货号: K2365871-100
亚细胞定位: 染色体, 细胞核
别名: MutL protein homolog 1,COCA2,FCC2,hMLH1,HNPCC,HNPCC2,MLH1
应用 | 种属
IHC/IF H,M,R
规格:
产品信息
蛋白质全称 DNA错配修复蛋白Mlh1
别名 MutL protein homolog 1,COCA2,FCC2,hMLH1,HNPCC,HNPCC2,MLH1
Uniprot ID P40692
免疫原 人MLH1重组蛋白
抗体亚型 IgG2b, κ
克隆号 3C1A7
纯化方式 亲和纯化
亚细胞定位 染色体, 细胞核
应用
IHC/IF 免疫组织化学/免疫荧光
物种:人,小鼠,大鼠
稀释比:1:500-1:1500
阳性样品:结肠, 甲状腺
背景
MLH1, also named as COCA2, belongs to the DNA mismatch repair mutL/hexB family. It heterodimerizes with PMS2 to form MutL alpha which is a component of the post-replicative DNA mismatch repair system (MMR). MutL alpha (MLH1-PMS2) interacts physically with the clamp loader subunits of DNA polymerase III, suggesting that it may play a role to recruit the DNA polymerase III to the site of the MMR. MLH1 also implicated in DNA damage signaling, a process which induces cell cycle arrest and can lead to apoptosis in case of major DNA damages.
储存条件
储存条件:储存条件在:-20℃下储存一年, 避免反复冻融.
储存缓冲液:含0.15% ProClin300防腐剂, 100 μg/mL牛血清白蛋白和50%甘油的磷酸盐缓冲液.
图像
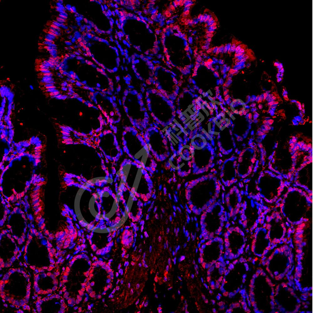
IF检测MLH1蛋白(货号 K2365871)(红色).
样品: 人结肠, 4%多聚甲醛 (货号KSG1101) 固定12-24小时.
抗原修复: 柠檬酸抗原修复液(干粉, pH 6.0) (KSG1201), 高压锅均匀喷气计时2分钟.
封闭: 3% BSA(货号KSGC305010)的PBS溶液, 室温孵育30分钟.
—抗: 1: 1000稀释, 4℃ 孵育过夜.
二抗: Cy3标记山羊抗小鼠IgG (H+L) (货号KB63903), 1: 300稀释, 室温孵育1小时.
IF检测MLH1蛋白(货号 K2365871)(红色).
样品: 小鼠甲状腺, 4%多聚甲醛 (货号KSG1101) 固定12-24小时.
抗原修复: 柠檬酸抗原修复液(干粉, pH 6.0) (KSG1201), 高压锅均匀喷气计时2分钟.
封闭: 3% BSA(货号KSGC305010)的PBS溶液, 室温孵育30分钟.
—抗: 1: 1000稀释, 4℃ 孵育过夜.
二抗: Cy3标记山羊抗小鼠IgG (H+L) (货号KB63903), 1: 300稀释, 室温孵育1小时.
IF检测MLH1蛋白(货号 K2365871)(红色).
样品: 大鼠结肠, 4%多聚甲醛 (货号KSG1101) 固定12-24小时.
抗原修复: 柠檬酸抗原修复液(干粉, pH 6.0) (KSG1201), 高压锅均匀喷气计时2分钟.
封闭: 3% BSA(货号KSGC305010)的PBS溶液, 室温孵育30分钟.
—抗: 1: 1000稀释, 4℃ 孵育过夜.
二抗: Cy3标记山羊抗小鼠IgG (H+L) (货号KB63903), 1: 300稀释, 室温孵育1小时.

需要技术支持?

如果您有任何问题或如果您在实验过程中遇到问题,或需要更详细的技术指导,请联系我们的技术支持团队
电话 400-6027-270

联系我们

如果您对我们的公司或产品有任何疑问,欢迎随时联系我们