tel 400-6027-270
Main Image
Anti-KMT1B/SUV39H2 兔多克隆抗体
¥1900
加入对比
货号: K1333162-100
亚细胞定位: 细胞核
别名: Histone H3-K9 methyltransferase 2,KMT1B,H3-K9-HMTase 2,Lysine N-methyltransferase 1B,Suppressor of variegation 3-9 homolog 2,Su(var)3-9 homolog 2,SUV39H2
应用 | 种属
IHC/IF H,M,R
规格:
产品信息
蛋白质全称 组蛋白赖氨酸甲基转移酶SUV39H2
别名 Histone H3-K9 methyltransferase 2,KMT1B,H3-K9-HMTase 2,Lysine N-methyltransferase 1B,Suppressor of variegation 3-9 homolog 2,Su(var)3-9 homolog 2,SUV39H2
Uniprot ID Q9EQQ0
免疫原 小鼠SUV39H2重组蛋白
抗体亚型 IgG
纯化方式 亲和纯化
亚细胞定位 细胞核
应用
IHC/IF 免疫组织化学/免疫荧光
物种:人,小鼠,大鼠
稀释比:1:500-1:4000
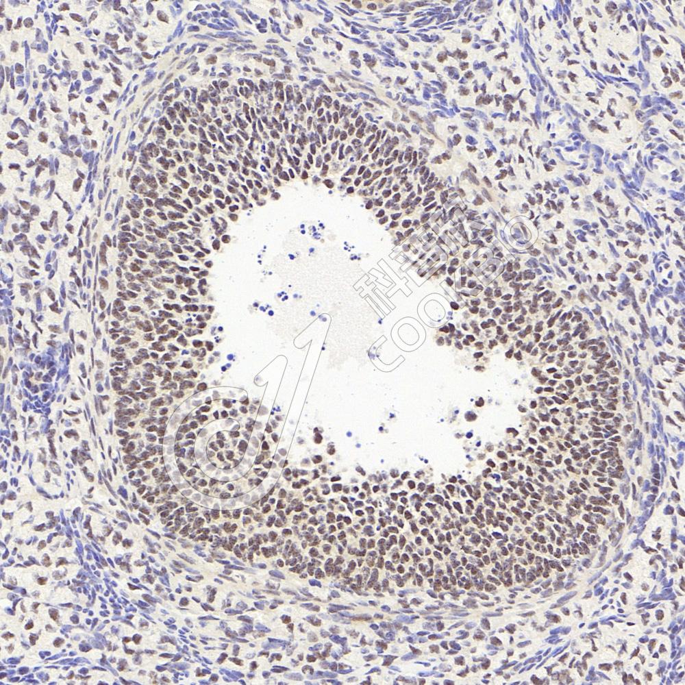
阳性样品:脑, 乳腺癌
背景
Histone methyltransferase that specifically trimethylates 'Lys-9' of histone H3 using monomethylated H3 'Lys-9' as substrate. H3 'Lys-9' trimethylation represents a specific tag for epigenetic transcriptional repression by recruiting HP1 (CBX1, CBX3 and/or CBX5) proteins to methylated histones. Mainly functions in heterochromatin regions, thereby playing a central role in the establishment of constitutive heterochromatin at pericentric and telomere regions. H3 'Lys-9' trimethylation is also required to direct DNA methylation at pericentric repeats.
储存条件
储存条件:储存条件在:-20℃下储存一年, 避免反复冻融.
储存缓冲液:含0.15% ProClin300防腐剂, 100 μg/mL牛血清白蛋白和50%甘油的磷酸盐缓冲液.
图像
IF检测KMT1B/SUV39H2蛋白(货号 K1333162)(红色).
样品: 人乳腺癌, 4%多聚甲醛 (货号KSG1101) 固定12-24小时.
抗原修复: Tris-EDTA抗原修复液(pH 9.0) (KSG1203), 98℃, 20分钟.
封闭: 3% BSA(货号KSGC305010)的PBS溶液, 室温孵育30分钟.
—抗: 1: 2300稀释, 4℃ 孵育过夜.
二抗: Cy3标记山羊抗兔IgG (H+L) (货号KB63909), 1: 300稀释, 室温孵育1小时.
IF检测KMT1B/SUV39H2蛋白(货号 K1333162)(红色).
样品: 小鼠脑, 4%多聚甲醛 (货号KSG1101) 固定12-24小时.
抗原修复: Tris-EDTA抗原修复液(pH 9.0) (KSG1203), 98℃, 20分钟.
封闭: 3% BSA(货号KSGC305010)的PBS溶液, 室温孵育30分钟.
—抗: 1: 2300稀释, 4℃ 孵育过夜.
二抗: Cy3标记山羊抗兔IgG (H+L) (货号KB63909), 1: 300稀释, 室温孵育1小时.

需要技术支持?

如果您有任何问题或如果您在实验过程中遇到问题,或需要更详细的技术指导,请联系我们的技术支持团队
电话 400-6027-270

联系我们

如果您对我们的公司或产品有任何疑问,欢迎随时联系我们