tel 400-6027-270
Main Image
Anti-Dnmt3a 兔多克隆抗体
¥1900
加入对比
货号: K1334065-100
亚细胞定位: 细胞核, 细胞质
别名: Dnmt3a,DNA methyltransferase MmuIIIA,DNA MTase MmuIIIA,M.MmuIIIA,Dnmt3a
应用 | 种属
IHC/IF M,R
规格:
产品信息
蛋白质全称 DNA(胞嘧啶-5)甲基转移酶3A
别名 Dnmt3a,DNA methyltransferase MmuIIIA,DNA MTase MmuIIIA,M.MmuIIIA,Dnmt3a
Uniprot ID O88508
免疫原 小鼠Dnmt3a重组蛋白
抗体亚型 IgG
纯化方式 亲和纯化
亚细胞定位 细胞核, 细胞质
应用
IHC/IF 免疫组织化学/免疫荧光
物种:小鼠,大鼠
稀释比:1:500-1:3200
阳性样品:结肠, 脾, 睾丸
背景
Inactivation of tumor suppressor genes is a key component of the development of all common forms of human cancers. Aberrant methylation may contribute to many of the changes, both physiological and pathological, associated with aging, including tumor development. Hypermethylation of CpG island-containing promoters is associated with the inactivation of genes important to tumor angiogenesis and progression. DNA methytransferase (DNMT3a) is necessary for the maintenance of the methylation process.
储存条件
储存条件:储存条件在:-20℃下储存一年, 避免反复冻融.
储存缓冲液:含0.15% ProClin300防腐剂, 100 μg/mL牛血清白蛋白和50%甘油的磷酸盐缓冲液.
图像
IHC检测Dnmt3a蛋白(货号 K1334065).
样品: 小鼠睾丸, 4%多聚甲醛 (货号KSG1101) 固定12-24小时.
抗原修复: 柠檬酸抗原修复液(干粉, pH 6.0) (KSG1201), 98℃, 20分钟.
—抗: 1: 1900稀释, 4℃ 孵育过夜.
二抗: S-vision免疫组化多聚二抗(山羊抗兔),即用型 (货号KB3906), 室温孵育20分钟.
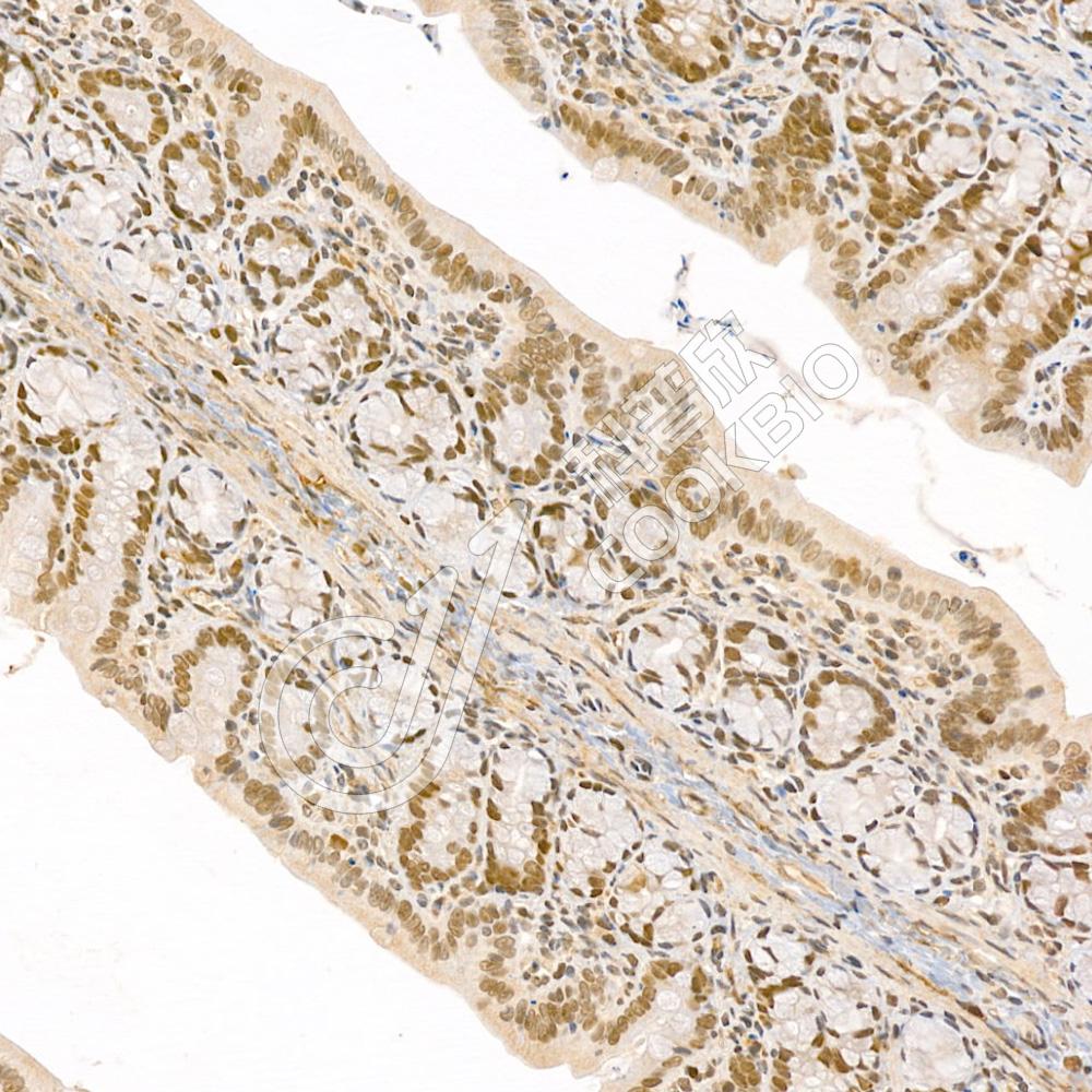
IHC检测Dnmt3a蛋白(货号 K1334065).
样品: 大鼠结肠, 4%多聚甲醛 (货号KSG1101) 固定12-24小时.
抗原修复: 柠檬酸抗原修复液(干粉, pH 6.0) (KSG1201), 98℃, 20分钟.
—抗: 1: 1900稀释, 4℃ 孵育过夜.
二抗: S-vision免疫组化多聚二抗(山羊抗兔),即用型 (货号KB3906), 室温孵育20分钟.
IHC检测Dnmt3a蛋白(货号 K1334065).
样品: 大鼠脾, 4%多聚甲醛 (货号KSG1101) 固定12-24小时.
抗原修复: 柠檬酸抗原修复液(干粉, pH 6.0) (KSG1201), 98℃, 20分钟.
—抗: 1: 1900稀释, 4℃ 孵育过夜.
二抗: S-vision免疫组化多聚二抗(山羊抗兔),即用型 (货号KB3906), 室温孵育20分钟.

需要技术支持?

如果您有任何问题或如果您在实验过程中遇到问题,或需要更详细的技术指导,请联系我们的技术支持团队
电话 400-6027-270

联系我们

如果您对我们的公司或产品有任何疑问,欢迎随时联系我们