tel 400-6027-270
Main Image
Anti-KAT1/HAT1 兔多克隆抗体
¥1900
加入对比
货号: K135718-100
预测分子量: 48 kDa
观测分子量: 48 kDa
亚细胞定位: 细胞核
别名: Cysteine-S-conjugate beta-lyase,Glutamine transaminase K,GTK,Kyat1,Ccbl1,KATI,Glutamine--phenylpyruvate transaminase,Kynurenine aminotransferase 1,Kat,HAT1,Kynurenine--oxoglutarate transaminase I
应用 | 种属
WB H,M
IHC/IF H,M,R
规格:
产品信息
蛋白质全称 组蛋白乙酰转移酶B型催化亚基
别名 Cysteine-S-conjugate beta-lyase,Glutamine transaminase K,GTK,Kyat1,Ccbl1,KATI,Glutamine--phenylpyruvate transaminase,Kynurenine aminotransferase 1,Kat,HAT1,Kynurenine--oxoglutarate transaminase I
Uniprot ID Q8BY71
免疫原 小鼠HAT1重组蛋白
抗体亚型 IgG
纯化方式 亲和纯化
亚细胞定位 细胞核
预测分子量./观测分子量. 48 kDa / 48 kDa
应用
WB 免疫印迹
物种:人,小鼠
稀释比:1:500-1:1000
阳性样品:胸腺
IHC/IF 免疫组织化学/免疫荧光
物种:人,小鼠,大鼠
稀释比:1:500-1:2000
阳性样品:结肠癌, 睾丸
背景
Histone acetyltransferase 1, also known as HAT1, is an enzyme encoded by the HAT1 gene. The protein is a type B histone acetyltransferase (HAT) that is involved in the rapid acetylation of newly synthesized cytoplasmic histones, which are, in turn, imported into the nucleus for de novo deposition onto nascent DNA chains. Histone acetylation, in particular, of histone H4, plays an important role in replication-dependent chromatin assembly. To be specific, this HAT can acetylate soluble but not nucleosomal histone H4 at lysines 5 and 12, and, to a lesser degree, histone H2A at lysine 5.
储存条件
储存条件:储存条件在:-20℃下储存一年, 避免反复冻融.
储存缓冲液:含0.15% ProClin300防腐剂, 100 μg/mL牛血清白蛋白和50%甘油的磷酸盐缓冲液.
图像
WB检测KAT1/HAT1蛋白(货号 K135718).
样品: 经RIPA裂解液(货号KSG2002)处理的蛋白质.
封闭: 3%脱脂牛奶(货号KSGC310001)溶于TBST溶液, 室温孵育1小时.
—抗: 1: 1000稀释, 4℃ 孵育过夜.
二抗: HRP标记山羊抗兔IgG (H+L) (货号KB69909), 1: 5000稀释, 室温孵育1小时.
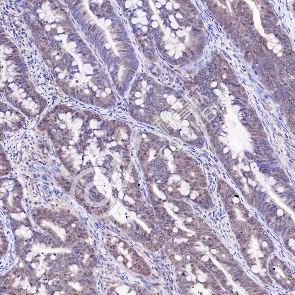
IHC检测KAT1/HAT1蛋白(货号 K135718).
样品: 人结肠癌, 4%多聚甲醛 (货号KSG1101) 固定12-24小时.
抗原修复: 柠檬酸抗原修复液(干粉, pH 6.0) (KSG1201), 98℃, 20分钟.
—抗: 1: 1300稀释, 4℃ 孵育过夜.
二抗: S-vision免疫组化多聚二抗(山羊抗兔),即用型 (货号KB3906), 室温孵育20分钟.
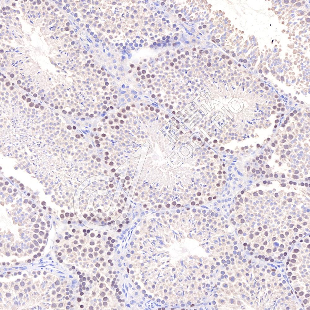
IHC检测KAT1/HAT1蛋白(货号 K135718).
样品: 小鼠睾丸, 4%多聚甲醛 (货号KSG1101) 固定12-24小时.
抗原修复: 柠檬酸抗原修复液(干粉, pH 6.0) (KSG1201), 98℃, 20分钟.
—抗: 1: 1300稀释, 4℃ 孵育过夜.
二抗: S-vision免疫组化多聚二抗(山羊抗兔),即用型 (货号KB3906), 室温孵育20分钟.
IHC检测KAT1/HAT1蛋白(货号 K135718).
样品: 大鼠睾丸, 4%多聚甲醛 (货号KSG1101) 固定12-24小时.
抗原修复: 柠檬酸抗原修复液(干粉, pH 6.0) (KSG1201), 98℃, 20分钟.
—抗: 1: 1300稀释, 4℃ 孵育过夜.
二抗: S-vision免疫组化多聚二抗(山羊抗兔),即用型 (货号KB3906), 室温孵育20分钟.

需要技术支持?

如果您有任何问题或如果您在实验过程中遇到问题,或需要更详细的技术指导,请联系我们的技术支持团队
电话 400-6027-270

联系我们

如果您对我们的公司或产品有任何疑问,欢迎随时联系我们