tel 400-6027-270
Main Image
Anti-SIRT7 兔多克隆抗体
¥1900
加入对比
货号: K134065-100
亚细胞定位: 细胞质, 细胞核
别名: SIRT7,SIR2L7,sirtuin 7,SIR2 like protein 7,Regulatory protein SIR2 homolog 7,Sir2 related protein type 7
应用 | 种属
IHC/IF H
规格:
产品信息
蛋白质全称 NAD依赖性蛋白脱乙酰酶sirtuin-7
别名 SIRT7,SIR2L7,sirtuin 7,SIR2 like protein 7,Regulatory protein SIR2 homolog 7,Sir2 related protein type 7
Uniprot ID Q8BKJ9
免疫原 KLH偶联的小鼠SIRT7合成肽
抗体亚型 IgG
纯化方式 亲和纯化
亚细胞定位 细胞质, 细胞核
应用
IHC/IF 免疫组织化学/免疫荧光
物种:人
稀释比:1:200-1:400
阳性样品:乳腺, 扁桃体
背景
NAD-dependent protein deacetylase that specifically mediates deacetylation of histone H3 at 'Lys-18' (H3K18Ac). In contrast to other histone deacetylases, displays selectivity for a single histone mark, H3K18Ac, directly linked to control of gene expression. H3K18Ac is mainly present around the transcription start site of genes and has been linked to activation of nuclear hormone receptors. SIRT7 thereby acts as a transcription repressor.
储存条件
储存条件:储存条件在:-20℃下储存一年, 避免反复冻融.
储存缓冲液:含0.15% ProClin300防腐剂, 100 μg/mL牛血清白蛋白和50%甘油的磷酸盐缓冲液.
图像
IHC检测SIRT7蛋白(货号 K134065).
样品: 人乳腺, 4%多聚甲醛 (货号KSG1101) 固定12-24小时.
抗原修复: 柠檬酸抗原修复液(干粉, pH 6.0) (KSG1201), 98℃, 20分钟.
—抗: 1: 300稀释, 4℃ 孵育过夜.
二抗: S-vision免疫组化多聚二抗(山羊抗兔),即用型 (货号KB3906), 室温孵育20分钟.
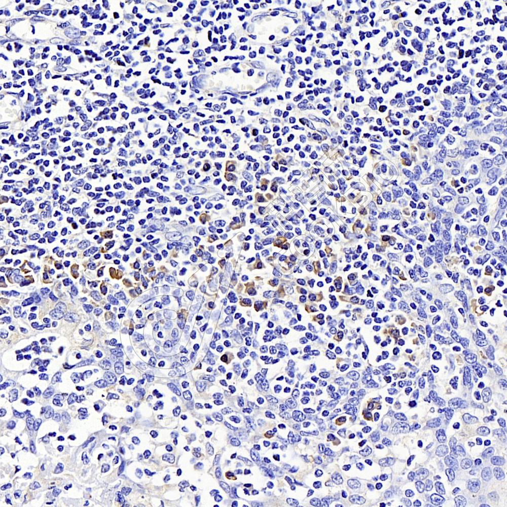
IHC检测SIRT7蛋白(货号 K134065).
样品: 人扁桃体, 4%多聚甲醛 (货号KSG1101) 固定12-24小时.
抗原修复: 柠檬酸抗原修复液(干粉, pH 6.0) (KSG1201), 98℃, 20分钟.
—抗: 1: 300稀释, 4℃ 孵育过夜.
二抗: S-vision免疫组化多聚二抗(山羊抗兔),即用型 (货号KB3906), 室温孵育20分钟.

需要技术支持?

如果您有任何问题或如果您在实验过程中遇到问题,或需要更详细的技术指导,请联系我们的技术支持团队
电话 400-6027-270

联系我们

如果您对我们的公司或产品有任何疑问,欢迎随时联系我们