tel 400-6027-270
Main Image
Anti-HES3 兔多克隆抗体
¥1900
加入对比
货号: K1333657-100
亚细胞定位: 细胞核
别名: Hairy and enhancer of split 3,Hes3
应用 | 种属
IHC/IF M,R
规格:
产品信息
蛋白质全称 转录因子HES-3
别名 Hairy and enhancer of split 3,Hes3
Uniprot ID Q61657
免疫原 小鼠HES3重组蛋白
抗体亚型 IgG
纯化方式 亲和纯化
亚细胞定位 细胞核
应用
IHC/IF 免疫组织化学/免疫荧光
物种:小鼠,大鼠
稀释比:1:1000-1:4000
阳性样品:脑, 肾
背景
The Drosophila hairy and Enhancer of split genes encode basic helix-loop-helix (bHLH) transcriptional repressors that function in the Notch signaling pathway and control segmentation and neural development during embryogenesis. The mammalian homologues of Drosophila hairy and Enhancer of split are the HES gene family members, HES1-6, which also encode bHLH transcriptional repressors that regulate myogenesis and neurogenesis. HES3 is a member of the homeobox family of transcription factors. HES3 is expressed in undifferentiated embryonic stem (ES) cells and is also a target of the ES cell-specific network of transcription factors.
储存条件
储存条件:储存条件在:-20℃下储存一年, 避免反复冻融.
储存缓冲液:含0.15% ProClin300防腐剂, 100 μg/mL牛血清白蛋白和50%甘油的磷酸盐缓冲液.
图像
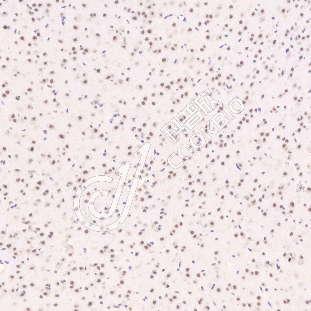
IHC检测HES3蛋白(货号 K1333657).
样品: 小鼠脑, 4%多聚甲醛 (货号KSG1101) 固定12-24小时.
抗原修复: 柠檬酸抗原修复液(干粉, pH 6.0) (KSG1201), 98℃, 20分钟.
—抗: 1: 2500稀释, 4℃ 孵育过夜.
二抗: S-vision免疫组化多聚二抗(山羊抗兔),即用型 (货号KB3906), 室温孵育20分钟.
IHC检测HES3蛋白(货号 K1333657).
样品: 小鼠肾, 4%多聚甲醛 (货号KSG1101) 固定12-24小时.
抗原修复: 柠檬酸抗原修复液(干粉, pH 6.0) (KSG1201), 98℃, 20分钟.
—抗: 1: 2500稀释, 4℃ 孵育过夜.
二抗: S-vision免疫组化多聚二抗(山羊抗兔),即用型 (货号KB3906), 室温孵育20分钟.
IHC检测HES3蛋白(货号 K1333657).
样品: 大鼠脑, 4%多聚甲醛 (货号KSG1101) 固定12-24小时.
抗原修复: 柠檬酸抗原修复液(干粉, pH 6.0) (KSG1201), 98℃, 20分钟.
—抗: 1: 2500稀释, 4℃ 孵育过夜.
二抗: S-vision免疫组化多聚二抗(山羊抗兔),即用型 (货号KB3906), 室温孵育20分钟.

需要技术支持?

如果您有任何问题或如果您在实验过程中遇到问题,或需要更详细的技术指导,请联系我们的技术支持团队
电话 400-6027-270

联系我们

如果您对我们的公司或产品有任何疑问,欢迎随时联系我们