tel 400-6027-270
Main Image
Anti-ClC-5 兔多克隆抗体
¥1900
加入对比
货号: K1337161-100
亚细胞定位: 高尔基体, 内体, 细胞膜
别名: Chloride channel protein 5,ClC-5,Chloride transporter ClC-5,Clcn5,Clc5,Voltage gated chloride ion channel CLCN5,NPHL1
应用 | 种属
IHC/IF H,M,R
规格:
产品信息
蛋白质全称 H+/Cl-交换转运体5
别名 Chloride channel protein 5,ClC-5,Chloride transporter ClC-5,Clcn5,Clc5,Voltage gated chloride ion channel CLCN5,NPHL1
Uniprot ID Q9WVD4
免疫原 KLH偶联的小鼠ClC-5合成肽
抗体亚型 IgG
纯化方式 亲和纯化
亚细胞定位 高尔基体, 内体, 细胞膜
应用
IHC/IF 免疫组织化学/免疫荧光
物种:人,小鼠,大鼠
稀释比:1:100-1:400
阳性样品:肾
背景
The family of voltage-dependent chloride channels (CLCs) regulate cellular trafficking of chloride ions, a critical component of all living cells. CLCs regulate excitability in muscle and nerve cells, aid in organic solute transport and maintain cellular volume.Mutations in the gene encoding CLC1 lead to myotonia, an inheritable disorder characterized by muscle stiffness and renal salt wasting. CLC2 is highly expressed in the epithelia of several organs including lung, which suggests CLC2 may be a possible therapeutic target for cystic fibrosis.
储存条件
储存条件:储存条件在:-20℃下储存一年, 避免反复冻融.
储存缓冲液:含0.15% ProClin300防腐剂, 100 μg/mL牛血清白蛋白和50%甘油的磷酸盐缓冲液.
图像
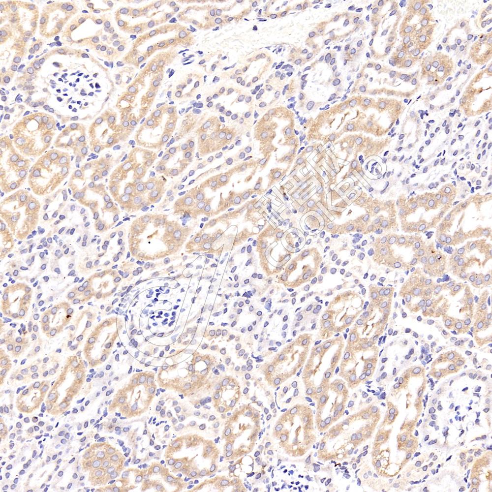
IHC检测ClC-5蛋白(货号 K1337161).
样品: 人肾, 4%多聚甲醛 (货号KSG1101) 固定12-24小时.
抗原修复: 柠檬酸抗原修复液(干粉, pH 6.0) (KSG1201), 98℃, 20分钟.
—抗: 1: 300稀释, 4℃ 孵育过夜.
二抗: S-vision免疫组化多聚二抗(山羊抗兔),即用型 (货号KB3906), 室温孵育20分钟.
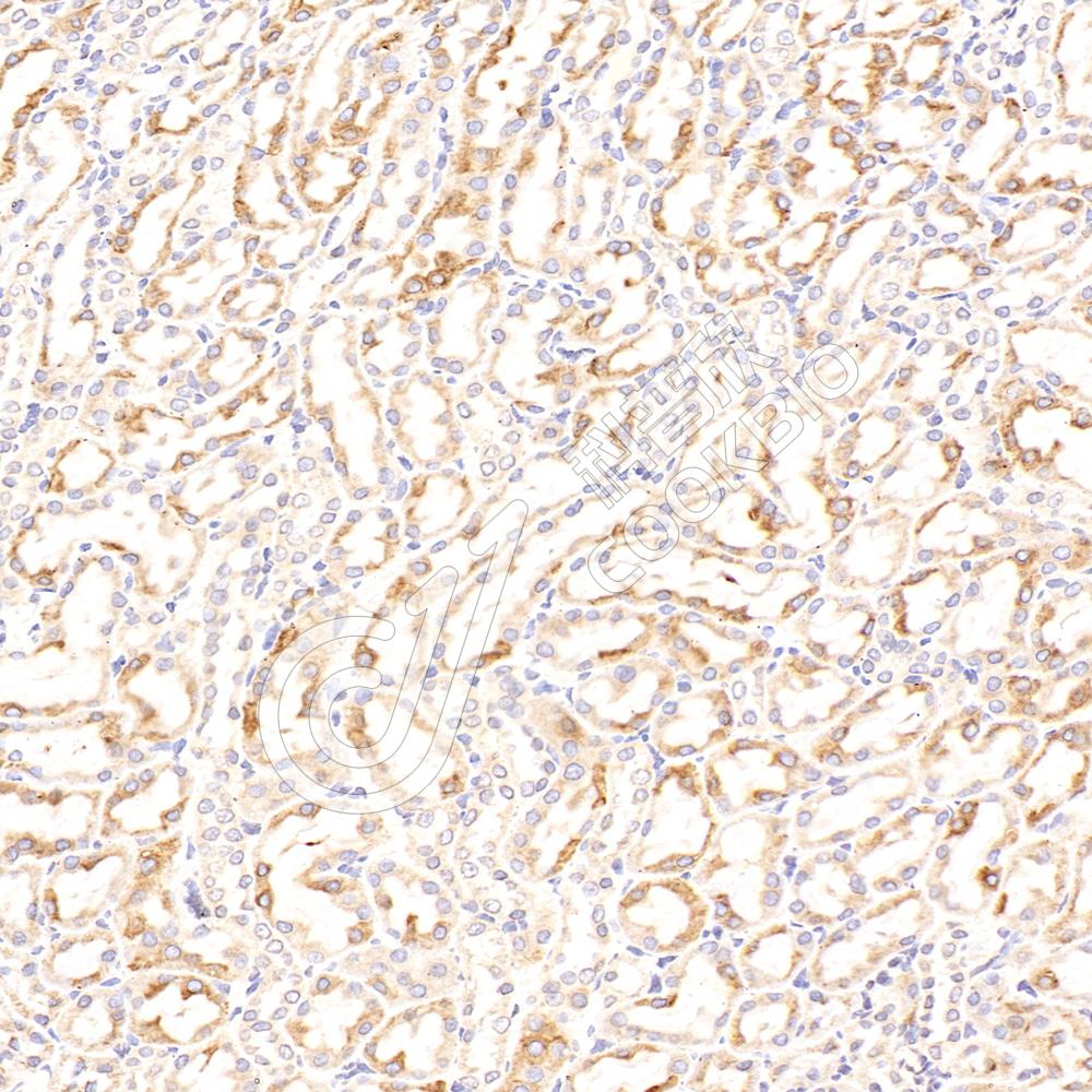
IHC检测ClC-5蛋白(货号 K1337161).
样品: 小鼠肾, 4%多聚甲醛 (货号KSG1101) 固定12-24小时.
抗原修复: 柠檬酸抗原修复液(干粉, pH 6.0) (KSG1201), 98℃, 20分钟.
—抗: 1: 300稀释, 4℃ 孵育过夜.
二抗: S-vision免疫组化多聚二抗(山羊抗兔),即用型 (货号KB3906), 室温孵育20分钟.
IHC检测ClC-5蛋白(货号 K1337161).
样品: 大鼠肾, 4%多聚甲醛 (货号KSG1101) 固定12-24小时.
抗原修复: 柠檬酸抗原修复液(干粉, pH 6.0) (KSG1201), 98℃, 20分钟.
—抗: 1: 300稀释, 4℃ 孵育过夜.
二抗: S-vision免疫组化多聚二抗(山羊抗兔),即用型 (货号KB3906), 室温孵育20分钟.

需要技术支持?

如果您有任何问题或如果您在实验过程中遇到问题,或需要更详细的技术指导,请联系我们的技术支持团队
电话 400-6027-270

联系我们

如果您对我们的公司或产品有任何疑问,欢迎随时联系我们