tel 400-6027-270
Main Image
Anti-SRPK1 兔多克隆抗体
¥1900
加入对比
货号: K1340410-100
亚细胞定位: 细胞质, 内质网, 细胞核
别名: SFRS protein kinase 1,SFRSK1,SR protein specific kinase 1,SRPK1,Serine/arginine-rich protein-specific kinase 1
应用 | 种属
IHC/IF M
规格:
产品信息
蛋白质全称 SRSF蛋白激酶1
别名 SFRS protein kinase 1,SFRSK1,SR protein specific kinase 1,SRPK1,Serine/arginine-rich protein-specific kinase 1
Uniprot ID O70551
免疫原 KLH偶联的小鼠SRPK1合成肽
抗体亚型 IgG
纯化方式 亲和纯化
亚细胞定位 细胞质, 内质网, 细胞核
应用
IHC/IF 免疫组织化学/免疫荧光
物种:小鼠
稀释比:1:400-1:800
阳性样品:睾丸
背景
SFRS protein kinase 1, SFRSK1, SR protein specific kinase 1, SRPK1SRPK1 (serine-arginine protein kinase 1) is a protein kinase that specifically phosphorylates proteins containing serine-arginine-rich domains. Its substrates include a family of SR proteins that are key regulators of mRNA AS (alternative splicing). SRPK1 may be localized both in the cytoplasm and nucleus and translocates between these compartments under various conditions (e.
储存条件
储存条件:储存条件在:-20℃下储存一年, 避免反复冻融.
储存缓冲液:含0.15% ProClin300防腐剂, 100 μg/mL牛血清白蛋白和50%甘油的磷酸盐缓冲液.
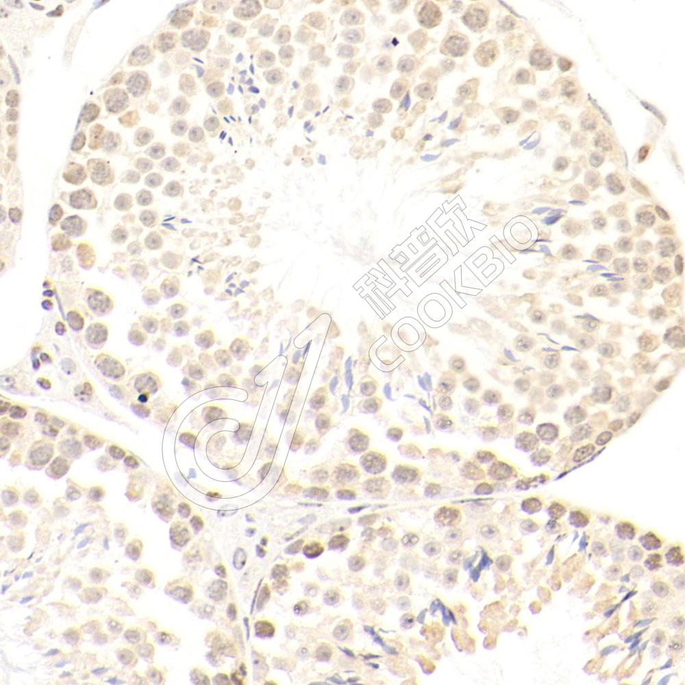
图像
IHC检测SRPK1蛋白(货号 K1340410).
样品: 小鼠睾丸, 4%多聚甲醛 (货号KSG1101) 固定12-24小时.
抗原修复: 柠檬酸抗原修复液(干粉, pH 6.0) (KSG1201), 98℃, 20分钟.
—抗: 1: 600稀释, 4℃ 孵育过夜.
二抗: S-vision免疫组化多聚二抗(山羊抗兔),即用型 (货号KB3906), 室温孵育20分钟.
IHC检测SRPK1蛋白(货号 K1340410).
样品: 小鼠睾丸, 4%多聚甲醛 (货号KSG1101) 固定12-24小时.
抗原修复: 柠檬酸抗原修复液(干粉, pH 6.0) (KSG1201), 98℃, 20分钟.
—抗: 1: 600稀释, 4℃ 孵育过夜.
二抗: S-vision免疫组化多聚二抗(山羊抗兔),即用型 (货号KB3906), 室温孵育20分钟.

需要技术支持?

如果您有任何问题或如果您在实验过程中遇到问题,或需要更详细的技术指导,请联系我们的技术支持团队
电话 400-6027-270

联系我们

如果您对我们的公司或产品有任何疑问,欢迎随时联系我们