tel 400-6027-270
Main Image
Anti-SUV3L1 兔多克隆抗体
¥1900
加入对比
货号: K1338334-100
预测分子量: 87 kDa
观测分子量: 87 kDa
亚细胞定位: 细胞核, 线粒体
别名: Suppressor of var1 3-like protein 1,SUV3-like protein 1,Supv3l1,Suv3l1
应用 | 种属
WB H,M
IHC/IF H
规格:
产品信息
蛋白质全称 线粒体RNA解旋酶SU
别名 Suppressor of var1 3-like protein 1,SUV3-like protein 1,Supv3l1,Suv3l1
Uniprot ID Q80YD1
免疫原 小鼠SUV3L1重组蛋白
抗体亚型 IgG
纯化方式 亲和纯化
亚细胞定位 细胞核, 线粒体
预测分子量./观测分子量. 87 kDa / 87 kDa
应用
WB 免疫印迹
物种:人,小鼠
稀释比:1:1000-1:1500
阳性样品:—
IHC/IF 免疫组织化学/免疫荧光
物种:人
稀释比:1:750-1:1500
阳性样品:结肠, 神经节
背景
Major helicase player in mitochondrial RNA metabolism. Component of the mitochondrial degradosome (mtEXO) complex, that degrades 3' overhang double-stranded RNA with a 3'-to-5' directionality in an ATP-dependent manner. ATPase and ATP-dependent multisubstrate helicase, able to unwind double-stranded (ds) DNA and RNA, and RNA/DNA heteroduplexes in the 5'-to-3' direction. Plays a role in the RNA surveillance system in mitochondria; regulates the stability of mature mRNAs, the removal of aberrantly formed mRNAs and the rapid degradation of non coding processing intermediates.
储存条件
储存条件:储存条件在:-20℃下储存一年, 避免反复冻融.
储存缓冲液:含0.15% ProClin300防腐剂, 100 μg/mL牛血清白蛋白和50%甘油的磷酸盐缓冲液.
图像
IHC检测SUV3L1蛋白(货号 K1338334).
样品: 人结肠, 4%多聚甲醛 (货号KSG1101) 固定12-24小时.
抗原修复: 柠檬酸抗原修复液(干粉, pH 6.0) (KSG1201), 98℃, 20分钟.
—抗: 1: 1100稀释, 4℃ 孵育过夜.
二抗: S-vision免疫组化多聚二抗(山羊抗兔),即用型 (货号KB3906), 室温孵育20分钟.
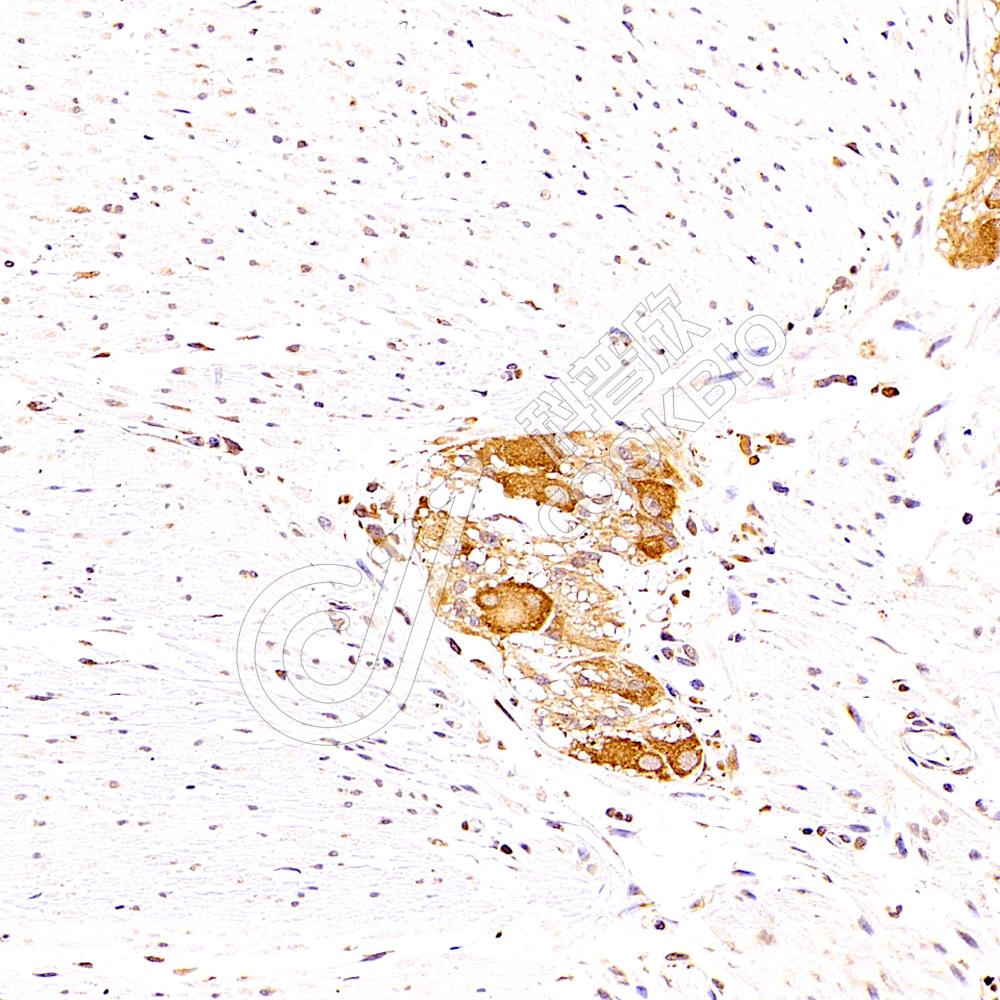
IHC检测SUV3L1蛋白(货号 K1338334).
样品: 人神经节, 4%多聚甲醛 (货号KSG1101) 固定12-24小时.
抗原修复: 柠檬酸抗原修复液(干粉, pH 6.0) (KSG1201), 98℃, 20分钟.
—抗: 1: 1100稀释, 4℃ 孵育过夜.
二抗: S-vision免疫组化多聚二抗(山羊抗兔),即用型 (货号KB3906), 室温孵育20分钟.

需要技术支持?

如果您有任何问题或如果您在实验过程中遇到问题,或需要更详细的技术指导,请联系我们的技术支持团队
电话 400-6027-270

联系我们

如果您对我们的公司或产品有任何疑问,欢迎随时联系我们