tel 400-6027-270
Main Image
Anti-TTL 兔多克隆抗体
¥1900
加入对比
货号: K1338253-100
亚细胞定位: 细胞骨架
别名: TTL,Ttl
应用 | 种属
IHC/IF M,R
规格:
产品信息
蛋白质全称 微管酪氨酸连接酶
别名 TTL,Ttl
Uniprot ID P38585
免疫原 小鼠TTL重组蛋白
抗体亚型 IgG
纯化方式 亲和纯化
亚细胞定位 细胞骨架
应用
IHC/IF 免疫组织化学/免疫荧光
物种:小鼠,大鼠
稀释比:1:2000-1:4000
阳性样品:脑
背景
Tubulin-tyrosine ligase (TTL) is the enzyme responsible for the reversible addition of a tyrosine residue at the carboxyl end of alpha-tubulin. TTL forms stable complexes with tubulin and inhibit tubulin polymerization. TTL is frequently suppressed during tumor progression with resulting accumulation of detyrosinated alpha-tubulin in tumor cells. TTL suppression in human cancers is associated with increased tumor aggressiveness.
储存条件
储存条件:储存条件在:-20℃下储存一年, 避免反复冻融.
储存缓冲液:含0.15% ProClin300防腐剂, 100 μg/mL牛血清白蛋白和50%甘油的磷酸盐缓冲液.
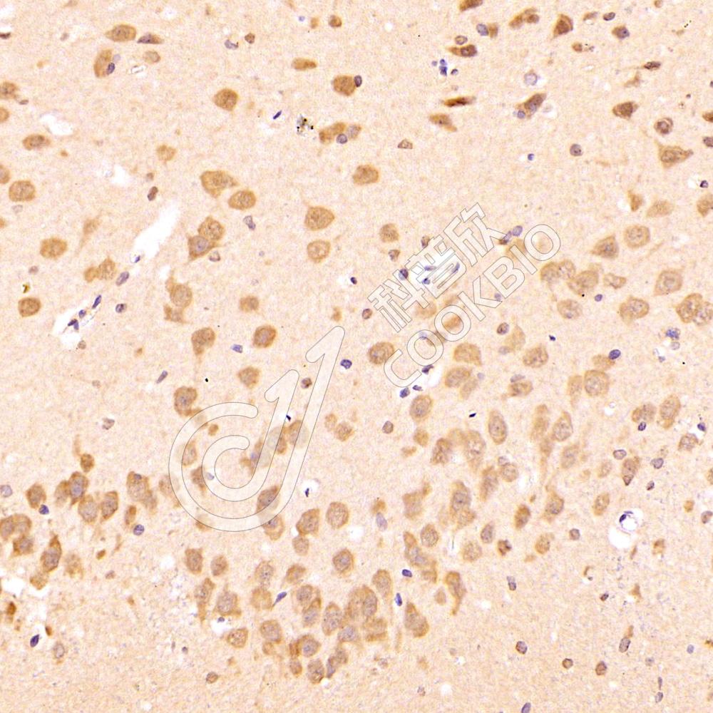
图像
IHC检测TTL蛋白(货号 K1338253).
样品: 小鼠脑, 4%多聚甲醛 (货号KSG1101) 固定12-24小时.
抗原修复: 柠檬酸抗原修复液(干粉, pH 6.0) (KSG1201), 98℃, 20分钟.
—抗: 1: 3000稀释, 4℃ 孵育过夜.
二抗: S-vision免疫组化多聚二抗(山羊抗兔),即用型 (货号KB3906), 室温孵育20分钟.
IHC检测TTL蛋白(货号 K1338253).
样品: 大鼠脑, 4%多聚甲醛 (货号KSG1101) 固定12-24小时.
抗原修复: 柠檬酸抗原修复液(干粉, pH 6.0) (KSG1201), 98℃, 20分钟.
—抗: 1: 3000稀释, 4℃ 孵育过夜.
二抗: S-vision免疫组化多聚二抗(山羊抗兔),即用型 (货号KB3906), 室温孵育20分钟.

需要技术支持?

如果您有任何问题或如果您在实验过程中遇到问题,或需要更详细的技术指导,请联系我们的技术支持团队
电话 400-6027-270

联系我们

如果您对我们的公司或产品有任何疑问,欢迎随时联系我们