tel 400-6027-270
Main Image
Anti-PARC 兔多克隆抗体
¥1900
加入对比
货号: K1339132-100
亚细胞定位: 细胞质
别名: CUL-9,p53-associated parkin-like cytoplasmic protein,Cul9,Kiaa0708,Parc
应用 | 种属
IHC/IF M,R
规格:
产品信息
蛋白质全称 Cullin-9蛋白
别名 CUL-9,p53-associated parkin-like cytoplasmic protein,Cul9,Kiaa0708,Parc
Uniprot ID Q80TT8
免疫原 小鼠PARC重组蛋白
抗体亚型 IgG
纯化方式 亲和纯化
亚细胞定位 细胞质
应用
IHC/IF 免疫组织化学/免疫荧光
物种:小鼠,大鼠
稀释比:1:600-1:1200
阳性样品:脑, 睾丸
背景
Core component of a Cul9-RING ubiquitin-protein ligase complex, a complex that mediates ubiquitination and subsequent degradation of BIRC5 and is required to maintain microtubule dynamics and genome integrity. Acts downstream of the 3M complex, which inhibits CUL9 activity, leading to prevent ubiquitination of BIRC5 . Cytoplasmic anchor protein in p53/TP53-associated protein complex. Regulates the subcellular localization of p53/TP53 and subsequent function.
储存条件
储存条件:储存条件在:-20℃下储存一年, 避免反复冻融.
储存缓冲液:含0.15% ProClin300防腐剂, 100 μg/mL牛血清白蛋白和50%甘油的磷酸盐缓冲液.
图像
IHC检测PARC蛋白(货号 K1339132).
样品: 小鼠睾丸, 4%多聚甲醛 (货号KSG1101) 固定12-24小时.
抗原修复: 柠檬酸抗原修复液(干粉, pH 6.0) (KSG1201), 98℃, 20分钟.
—抗: 1: 900稀释, 4℃ 孵育过夜.
二抗: S-vision免疫组化多聚二抗(山羊抗兔),即用型 (货号KB3906), 室温孵育20分钟.
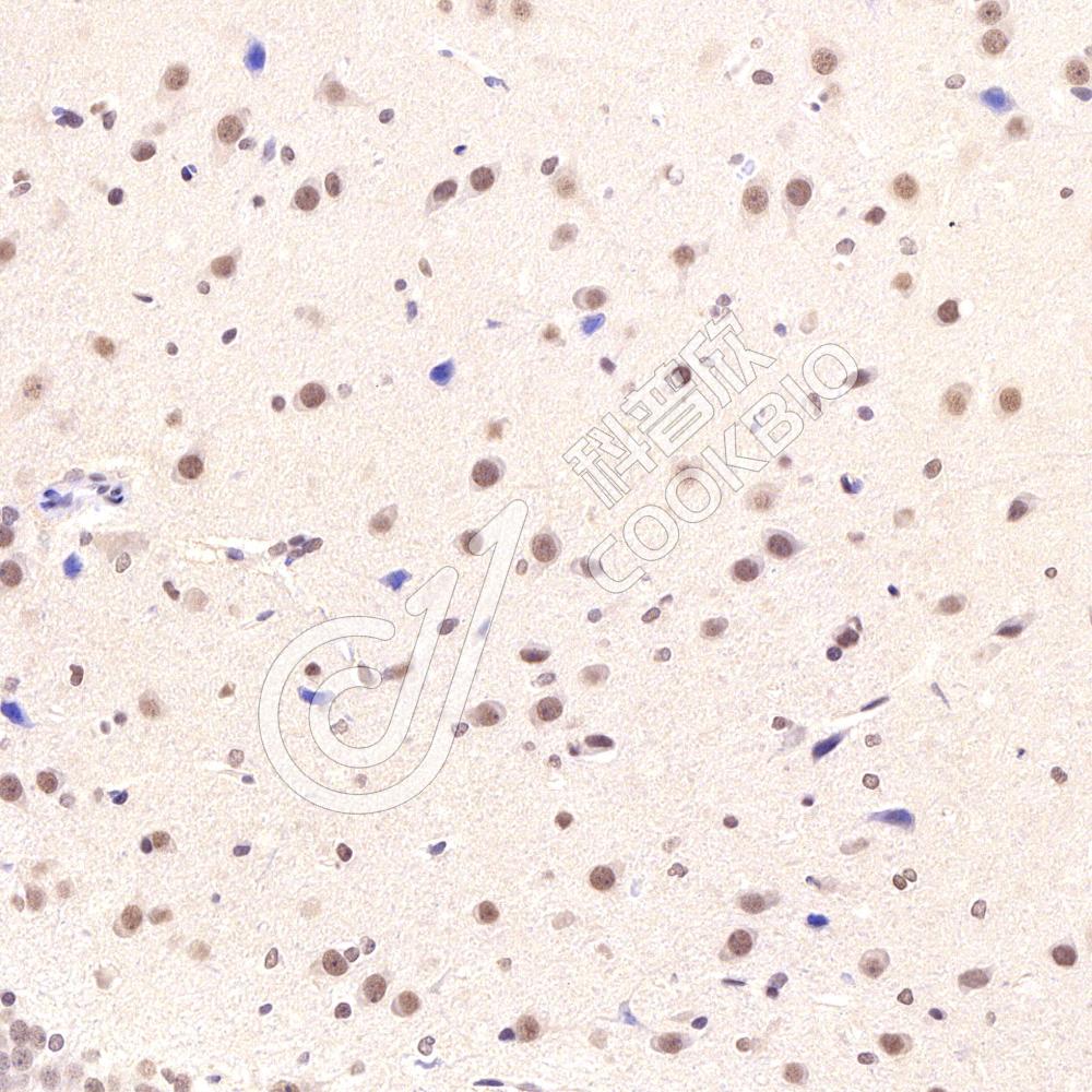
IHC检测PARC蛋白(货号 K1339132).
样品: 大鼠脑, 4%多聚甲醛 (货号KSG1101) 固定12-24小时.
抗原修复: 柠檬酸抗原修复液(干粉, pH 6.0) (KSG1201), 98℃, 20分钟.
—抗: 1: 900稀释, 4℃ 孵育过夜.
二抗: S-vision免疫组化多聚二抗(山羊抗兔),即用型 (货号KB3906), 室温孵育20分钟.

需要技术支持?

如果您有任何问题或如果您在实验过程中遇到问题,或需要更详细的技术指导,请联系我们的技术支持团队
电话 400-6027-270

联系我们

如果您对我们的公司或产品有任何疑问,欢迎随时联系我们