tel 400-6027-270
Main Image
Anti-LIM domain only 3 兔多克隆抗体
¥1900
加入对比
货号: K1339432-100
亚细胞定位: 细胞质
别名: LMO-3,Neuronal-specific transcription factor DAT1,Lmo3,DAT1,RHOM3,Rhombotin3,RBTNL2,RBTN3
应用 | 种属
IHC/IF H
规格:
产品信息
蛋白质全称 LIM域唯一蛋白3
别名 LMO-3,Neuronal-specific transcription factor DAT1,Lmo3,DAT1,RHOM3,Rhombotin3,RBTNL2,RBTN3
Uniprot ID Q8BZL8
免疫原 小鼠LIM domain only 3重组蛋白
抗体亚型 IgG
纯化方式 亲和纯化
亚细胞定位 细胞质
应用
IHC/IF 免疫组织化学/免疫荧光
物种:人
稀释比:1:1800-1:3600
阳性样品:肺癌
背景
The protein encoded by this gene belongs to the rhombotin family of cysteine-rich LIM domain oncogenes. This gene is predominantly expressed in the brain. Related family members, LMO1 and LMO2 on chromosome 11, have been reported to be involved in chromosomal translocations in T-cell leukemia. Many alternatively spliced transcript variants have been found for this gene.
储存条件
储存条件:储存条件在:-20℃下储存一年, 避免反复冻融.
储存缓冲液:含0.15% ProClin300防腐剂, 100 μg/mL牛血清白蛋白和50%甘油的磷酸盐缓冲液.
图像
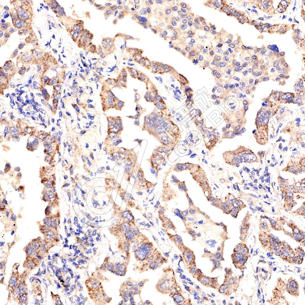
IHC检测LIM domain only 3蛋白(货号 K1339432).
样品: 人肺癌, 4%多聚甲醛 (货号KSG1101) 固定12-24小时.
抗原修复: 柠檬酸抗原修复液(干粉, pH 6.0) (KSG1201), 98℃, 20分钟.
—抗: 1: 2700稀释, 4℃ 孵育过夜.
二抗: S-vision免疫组化多聚二抗(山羊抗兔),即用型 (货号KB3906), 室温孵育20分钟.
IHC检测LIM domain only 3蛋白(货号 K1339432).
样品: 人肺癌, 4%多聚甲醛 (货号KSG1101) 固定12-24小时.
抗原修复: 柠檬酸抗原修复液(干粉, pH 6.0) (KSG1201), 98℃, 20分钟.
—抗: 1: 2700稀释, 4℃ 孵育过夜.
二抗: S-vision免疫组化多聚二抗(山羊抗兔),即用型 (货号KB3906), 室温孵育20分钟.

需要技术支持?

如果您有任何问题或如果您在实验过程中遇到问题,或需要更详细的技术指导,请联系我们的技术支持团队
电话 400-6027-270

联系我们

如果您对我们的公司或产品有任何疑问,欢迎随时联系我们