tel 400-6027-270
Main Image
Anti-PDZD3 兔多克隆抗体
¥1900
加入对比
货号: K1345261-100
预测分子量: 54 kDa
观测分子量: 57 kDa
亚细胞定位: 膜, 细胞质
别名: IKEPP,NaPi Cap2,NHERF 4,NHERF4,PDZ domain containing 3,PDZK2
应用 | 种属
WB R
IHC/IF M
规格:
产品信息
蛋白质全称 钠/氢交换调节辅助因子NHE-RF4
别名 IKEPP,NaPi Cap2,NHERF 4,NHERF4,PDZ domain containing 3,PDZK2
Uniprot ID Q99MJ6
免疫原 KLH偶联的小鼠PDZD3合成肽
抗体亚型 IgG
纯化方式 亲和纯化
亚细胞定位 膜, 细胞质
预测分子量./观测分子量. 54 kDa / 57 kDa
应用
WB 免疫印迹
物种:大鼠
稀释比:1:1000-1:2000
阳性样品:—
IHC/IF 免疫组织化学/免疫荧光
物种:小鼠
稀释比:1:500-1:2000
阳性样品:肾
背景
Acts as a regulatory protein that associates with GUCY2C and negatively modulates its heat-stable enterotoxin-mediated activation (By similarity). Stimulates SLC9A3 activity in the presence of elevated calcium ions (By similarity).
储存条件
储存条件:储存条件在:-20℃下储存一年, 避免反复冻融.
储存缓冲液:含0.15% ProClin300防腐剂, 100 μg/mL牛血清白蛋白和50%甘油的磷酸盐缓冲液.
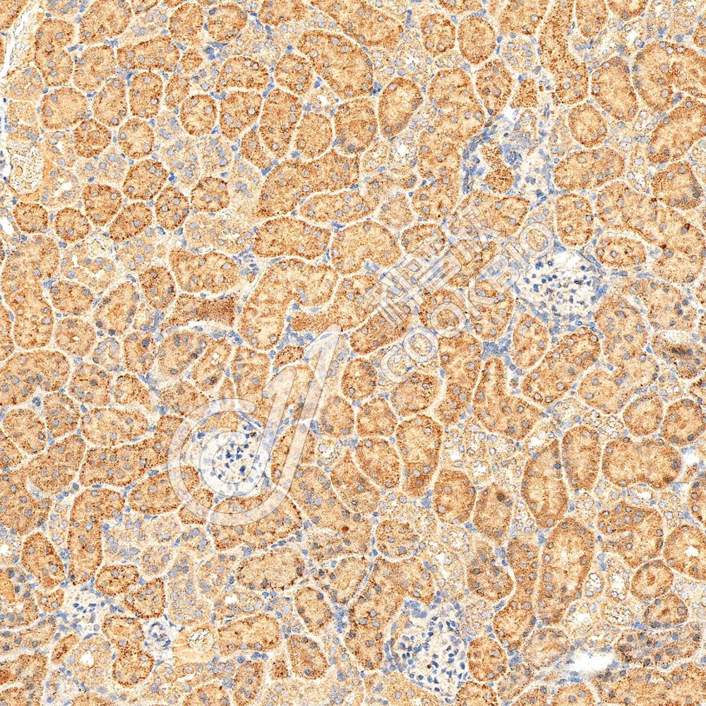
图像
IHC检测PDZD3蛋白(货号 K1345261).
样品: 小鼠肾, 4%多聚甲醛 (货号KSG1101) 固定12-24小时.
抗原修复: Tris-EDTA抗原修复液(pH 9.0) (KSG1203), 98℃, 20分钟.
—抗: 1: 1300稀释, 4℃ 孵育过夜.
二抗: S-vision免疫组化多聚二抗(山羊抗兔),即用型 (货号KB3906), 室温孵育20分钟.
IHC检测PDZD3蛋白(货号 K1345261).
样品: 大鼠肾, 4%多聚甲醛 (货号KSG1101) 固定12-24小时.
抗原修复: Tris-EDTA抗原修复液(pH 9.0) (KSG1203), 98℃, 20分钟.
—抗: 1: 1300稀释, 4℃ 孵育过夜.
二抗: S-vision免疫组化多聚二抗(山羊抗兔),即用型 (货号KB3906), 室温孵育20分钟.

需要技术支持?

如果您有任何问题或如果您在实验过程中遇到问题,或需要更详细的技术指导,请联系我们的技术支持团队
电话 400-6027-270

联系我们

如果您对我们的公司或产品有任何疑问,欢迎随时联系我们