tel 400-6027-270
Main Image
Anti-PQBP1 兔多克隆抗体
¥1900
加入对比
货号: K1340392-100
预测分子量: 31 kDa
观测分子量: 31 kDa
亚细胞定位: 细胞核
别名: MRX55,MRXS3,MRXS8,PQBP-1,PQBP1,RENS1,SHS,Npw38,38 kDa nuclear protein containing a WW domain
应用 | 种属
WB M,R
IHC/IF M,R
规格:
产品信息
蛋白质全称 多聚谷氨酰胺结合蛋白1
别名 MRX55,MRXS3,MRXS8,PQBP-1,PQBP1,RENS1,SHS,Npw38,38 kDa nuclear protein containing a WW domain
Uniprot ID Q91VJ5
免疫原 小鼠PQBP1重组蛋白
抗体亚型 IgG
纯化方式 亲和纯化
亚细胞定位 细胞核
预测分子量./观测分子量. 31 kDa / 31 kDa
应用
WB 免疫印迹
物种:小鼠,大鼠
稀释比:1:500-1:1000
阳性样品:肝
IHC/IF 免疫组织化学/免疫荧光
物种:小鼠,大鼠
稀释比:1:3000-1:6000
阳性样品:脑, 肝
背景
This gene encodes a nuclear polyglutamine-binding protein that is involved with transcription activation. The encoded protein contains a WW domain. Mutations in this gene have been found in patients with Renpenning syndrome 1 and other syndromes with X-linked cognitive disability. Multiple alternatively spliced transcript variants that encode different protein isoforms have been described for this gene.
储存条件
储存条件:储存条件在:-20℃下储存一年, 避免反复冻融.
储存缓冲液:含0.15% ProClin300防腐剂, 100 μg/mL牛血清白蛋白和50%甘油的磷酸盐缓冲液.
图像
WB检测PQBP1蛋白(货号 K1340392).
样品: 经RIPA裂解液(货号KSG2002)处理的蛋白质.
封闭: 3%脱脂牛奶(货号KSGC310001)溶于TBST溶液, 室温孵育1小时.
—抗: 1: 1000稀释, 4℃ 孵育过夜.
二抗: HRP标记山羊抗兔IgG (H+L) (货号KB69909), 1: 5000稀释, 室温孵育1小时.
IHC检测PQBP1蛋白(货号 K1340392).
样品: 小鼠脑, 4%多聚甲醛 (货号KSG1101) 固定12-24小时.
抗原修复: 柠檬酸抗原修复液(干粉, pH 6.0) (KSG1201), 98℃, 20分钟.
—抗: 1: 4500稀释, 4℃ 孵育过夜.
二抗: S-vision免疫组化多聚二抗(山羊抗兔),即用型 (货号KB3906), 室温孵育20分钟.
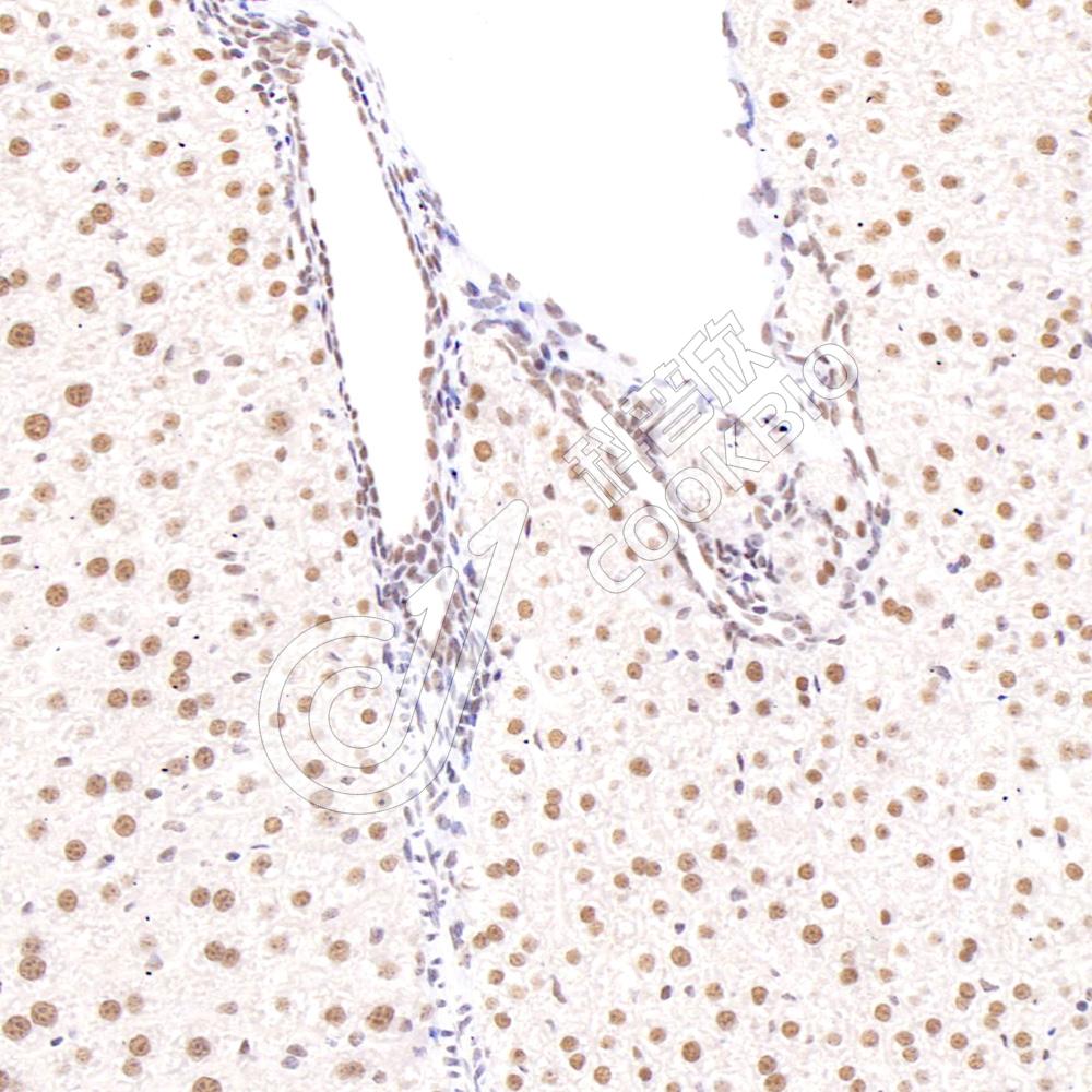
IHC检测PQBP1蛋白(货号 K1340392).
样品: 小鼠肝, 4%多聚甲醛 (货号KSG1101) 固定12-24小时.
抗原修复: 柠檬酸抗原修复液(干粉, pH 6.0) (KSG1201), 98℃, 20分钟.
—抗: 1: 4500稀释, 4℃ 孵育过夜.
二抗: S-vision免疫组化多聚二抗(山羊抗兔),即用型 (货号KB3906), 室温孵育20分钟.
IHC检测PQBP1蛋白(货号 K1340392).
样品: 大鼠脑, 4%多聚甲醛 (货号KSG1101) 固定12-24小时.
抗原修复: 柠檬酸抗原修复液(干粉, pH 6.0) (KSG1201), 98℃, 20分钟.
—抗: 1: 4500稀释, 4℃ 孵育过夜.
二抗: S-vision免疫组化多聚二抗(山羊抗兔),即用型 (货号KB3906), 室温孵育20分钟.

需要技术支持?

如果您有任何问题或如果您在实验过程中遇到问题,或需要更详细的技术指导,请联系我们的技术支持团队
电话 400-6027-270

联系我们

如果您对我们的公司或产品有任何疑问,欢迎随时联系我们