tel 400-6027-270
Main Image
Anti-Tropomyosin 1 (alpha) 兔多克隆抗体
¥1900
加入对比
货号: K1341124-100
预测分子量: 33 kDa
观测分子量: 35 kDa
亚细胞定位: 细胞质, 细胞骨架
别名: Alpha tropomyosin,C15orf13,CMD1Y,HTM alpha,TMSA,TPM1,Tropomyosin 1,tropomyosin 1 (alpha),Tpm-1,Tpma
应用 | 种属
WB M,R
IHC/IF M,R
规格:
产品信息
蛋白质全称 原肌球蛋白α1链
别名 Alpha tropomyosin,C15orf13,CMD1Y,HTM alpha,TMSA,TPM1,Tropomyosin 1,tropomyosin 1 (alpha),Tpm-1,Tpma
Uniprot ID P58771
免疫原 KLH偶联的小鼠Tropomyosin 1 (alpha)合成肽
抗体亚型 IgG
纯化方式 亲和纯化
亚细胞定位 细胞质, 细胞骨架
预测分子量./观测分子量. 33 kDa / 35 kDa
应用
WB 免疫印迹
物种:小鼠,大鼠
稀释比:1:2000-1:4000
阳性样品:骨骼肌, 心
IHC/IF 免疫组织化学/免疫荧光
物种:小鼠,大鼠
稀释比:1:800-1:1600
阳性样品:心
背景
Binds to actin filaments in muscle and non-muscle cells. Plays a central role, in association with the troponin complex, in the calcium dependent regulation of vertebrate striated muscle contraction. Smooth muscle contraction is regulated by interaction with caldesmon. In non-muscle cells is implicated in stabilizing cytoskeleton actin filaments.
储存条件
储存条件:储存条件在:-20℃下储存一年, 避免反复冻融.
储存缓冲液:含0.15% ProClin300防腐剂, 100 μg/mL牛血清白蛋白和50%甘油的磷酸盐缓冲液.
图像
WB检测Tropomyosin 1 (alpha)蛋白(货号 K1341124).
样品: 经RIPA裂解液(货号KSG2002)处理的蛋白质.
封闭: 3%脱脂牛奶(货号KSGC310001)溶于TBST溶液, 室温孵育1小时.
—抗: 1: 2000稀释, 4℃ 孵育过夜.
二抗: HRP标记山羊抗兔IgG (H+L) (货号KB69909), 1: 5000稀释, 室温孵育1小时.
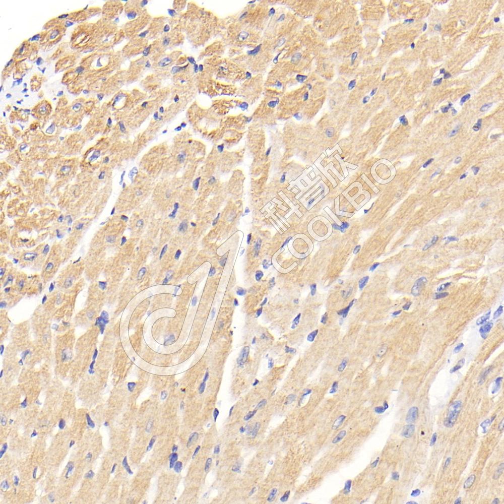
IHC检测Tropomyosin 1 (alpha)蛋白(货号 K1341124).
样品: 小鼠心, 4%多聚甲醛 (货号KSG1101) 固定12-24小时.
抗原修复: 柠檬酸抗原修复液(干粉, pH 6.0) (KSG1201), 98℃, 20分钟.
—抗: 1: 1200稀释, 4℃ 孵育过夜.
二抗: S-vision免疫组化多聚二抗(山羊抗兔),即用型 (货号KB3906), 室温孵育20分钟.
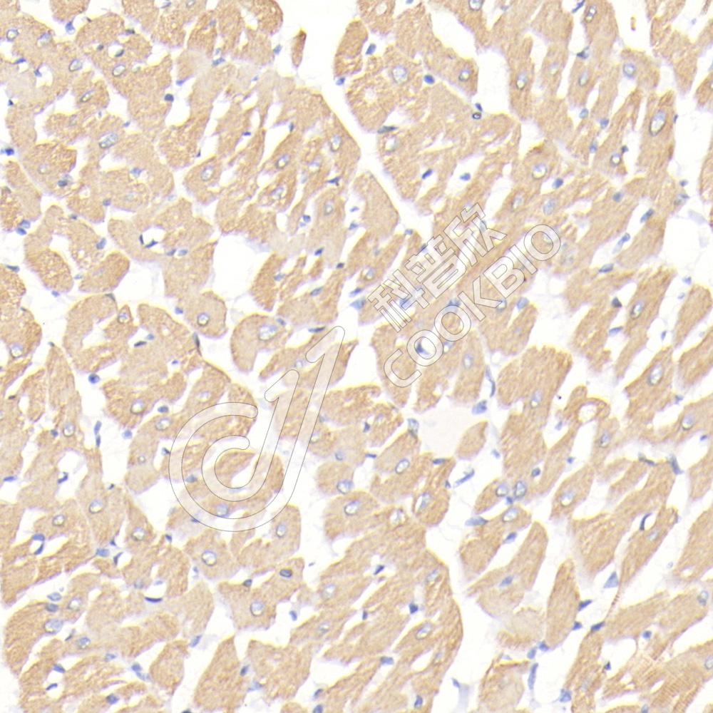
IHC检测Tropomyosin 1 (alpha)蛋白(货号 K1341124).
样品: 大鼠心, 4%多聚甲醛 (货号KSG1101) 固定12-24小时.
抗原修复: 柠檬酸抗原修复液(干粉, pH 6.0) (KSG1201), 98℃, 20分钟.
—抗: 1: 1200稀释, 4℃ 孵育过夜.
二抗: S-vision免疫组化多聚二抗(山羊抗兔),即用型 (货号KB3906), 室温孵育20分钟.

需要技术支持?

如果您有任何问题或如果您在实验过程中遇到问题,或需要更详细的技术指导,请联系我们的技术支持团队
电话 400-6027-270

联系我们

如果您对我们的公司或产品有任何疑问,欢迎随时联系我们