tel 400-6027-270
Main Image
Anti-TMS1/ASC 兔多克隆抗体
¥1900
加入对比
货号: K1341898-100
预测分子量: 22 kDa
观测分子量: 22-25 kDa
亚细胞定位: 细胞质, 内质网, 线粒体, 细胞核
别名: ASC,CARD5,hASC,PYCARD,PYD and CARD domain containing,TMS,TMS 1,TMS1
应用 | 种属
WB M
IHC/IF M
规格:
产品信息
蛋白质全称 含CARD的凋亡相关斑点样蛋白
别名 ASC,CARD5,hASC,PYCARD,PYD and CARD domain containing,TMS,TMS 1,TMS1
Uniprot ID Q9EPB4
免疫原 小鼠TMS1/ASC重组蛋白
抗体亚型 IgG
纯化方式 亲和纯化
亚细胞定位 细胞质, 内质网, 线粒体, 细胞核
预测分子量./观测分子量. 22 kDa / 22-25 kDa
应用
WB 免疫印迹
物种:小鼠
稀释比:1:500-1:1500
阳性样品:—
IHC/IF 免疫组织化学/免疫荧光
物种:小鼠
稀释比:1:2000-1:4000
阳性样品:lps(24h)诱导小肠炎症模型, 空肠
背景
PYCARD , also known as ASC or TMS1, is a 195 amino acid protein containing an N-terminal Pyrin-like domain (PYD) and an 87 residue C-terminal Caspase-associated recruitment domain (CARD). It promotes caspase-mediated apoptosis which is mediated predominantly through the activation of caspase-9.
储存条件
储存条件:储存条件在:-20℃下储存一年, 避免反复冻融.
储存缓冲液:含0.15% ProClin300防腐剂, 100 μg/mL牛血清白蛋白和50%甘油的磷酸盐缓冲液.
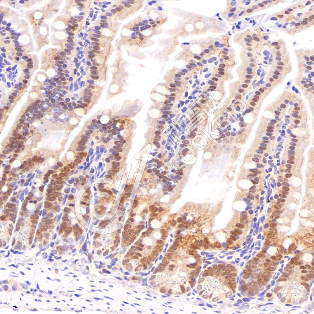
图像
IHC检测TMS1/ASC蛋白(货号 K1341898).
样品: 小鼠lps(24h)诱导小肠炎症模型, 4%多聚甲醛 (货号KSG1101) 固定12-24小时.
抗原修复: 柠檬酸抗原修复液(干粉, pH 6.0) (KSG1201), 98℃, 20分钟.
—抗: 1: 3000稀释, 4℃ 孵育过夜.
二抗: S-vision免疫组化多聚二抗(山羊抗兔),即用型 (货号KB3906), 室温孵育20分钟.
IHC检测TMS1/ASC蛋白(货号 K1341898).
样品: 小鼠空肠, 4%多聚甲醛 (货号KSG1101) 固定12-24小时.
抗原修复: 柠檬酸抗原修复液(干粉, pH 6.0) (KSG1201), 98℃, 20分钟.
—抗: 1: 3000稀释, 4℃ 孵育过夜.
二抗: S-vision免疫组化多聚二抗(山羊抗兔),即用型 (货号KB3906), 室温孵育20分钟.

需要技术支持?

如果您有任何问题或如果您在实验过程中遇到问题,或需要更详细的技术指导,请联系我们的技术支持团队
电话 400-6027-270

联系我们

如果您对我们的公司或产品有任何疑问,欢迎随时联系我们