tel 400-6027-270
Main Image
Anti-AIF 兔多克隆抗体
¥1900
加入对比
货号: K133942-100
亚细胞定位: 线粒体膜间隙, 线粒体内膜, 细胞质, 细胞核
别名: AIFM1,AIF,CMT2D,CMTX4,COWCK,COXPD6,NADMR,NAMSD,PDCD8,DFNX5,apoptosis inducing factor,mitochondria associated 1,apoptosis inducing factor mitochondria associated 1
应用 | 种属
IHC/IF H,M,R
规格:
产品信息
蛋白质全称 线粒体凋亡诱导因子1
别名 AIFM1,AIF,CMT2D,CMTX4,COWCK,COXPD6,NADMR,NAMSD,PDCD8,DFNX5,apoptosis inducing factor,mitochondria associated 1,apoptosis inducing factor mitochondria associated 1
Uniprot ID Q9Z0X1
免疫原 KLH偶联的小鼠AIF合成肽
抗体亚型 IgG
纯化方式 亲和纯化
亚细胞定位 线粒体膜间隙, 线粒体内膜, 细胞质, 细胞核
应用
IHC/IF 免疫组织化学/免疫荧光
物种:人,小鼠,大鼠
稀释比:1:500-1:2000
阳性样品:脾, 扁桃体
背景
Probable oxidoreductase that has a dual role in controlling cellular life and death; during apoptosis, it is translocated from the mitochondria to the nucleus to function as a proapoptotic factor in a caspase-independent pathway, while in normal mitochondria, it functions as an antiapoptotic factor via its oxidoreductase activity. The soluble form (AIFsol) found in the nucleus induces 'parthanatos' i.e., caspase-independent fragmentation of chromosomal DNA.
储存条件
储存条件:储存条件在:-20℃下储存一年, 避免反复冻融.
储存缓冲液:含0.15% ProClin300防腐剂, 100 μg/mL牛血清白蛋白和50%甘油的磷酸盐缓冲液.
图像
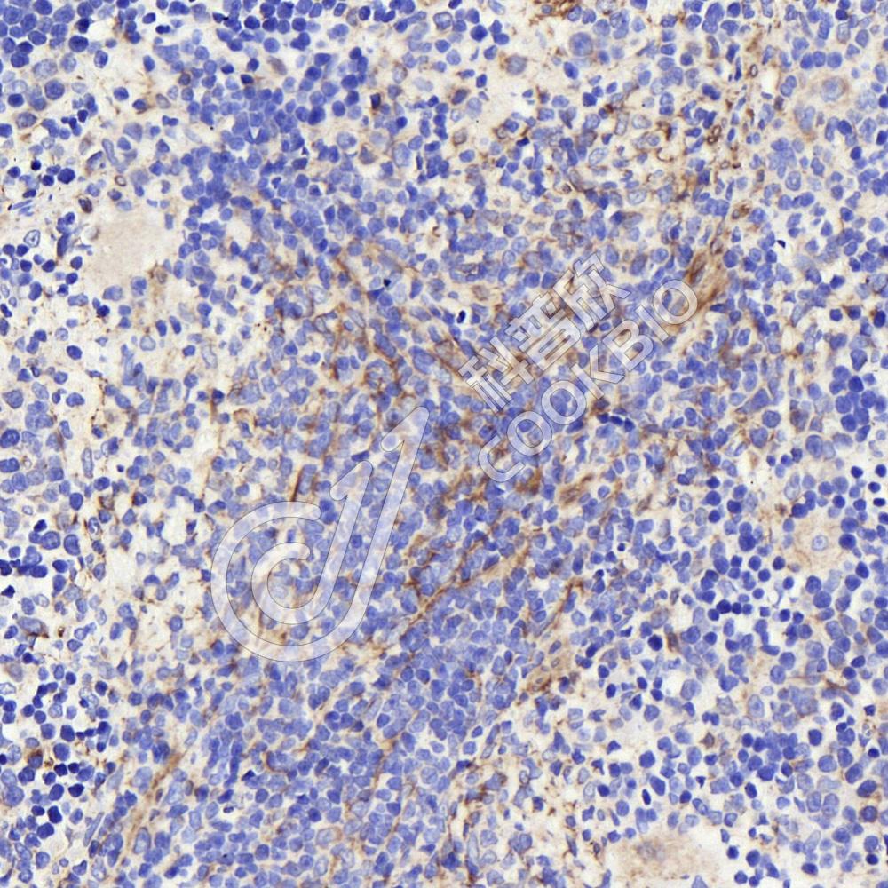
IHC检测AIF蛋白(货号 K133942).
样品: 人扁桃体, 4%多聚甲醛 (货号KSG1101) 固定12-24小时.
抗原修复: 柠檬酸抗原修复液(干粉, pH 6.0) (KSG1201), 98℃, 20分钟.
—抗: 1: 1300稀释, 4℃ 孵育过夜.
二抗: S-vision免疫组化多聚二抗(山羊抗兔),即用型 (货号KB3906), 室温孵育20分钟.
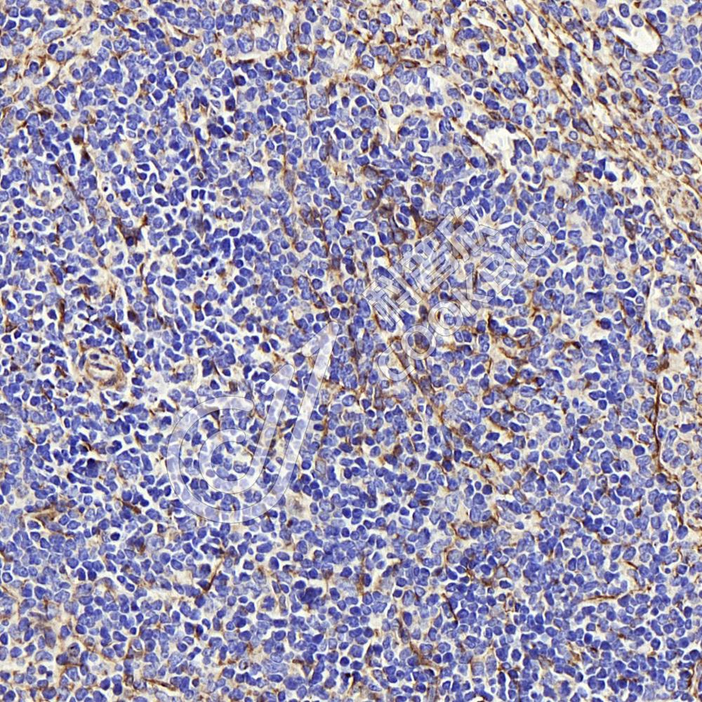
IHC检测AIF蛋白(货号 K133942).
样品: 小鼠脾, 4%多聚甲醛 (货号KSG1101) 固定12-24小时.
抗原修复: 柠檬酸抗原修复液(干粉, pH 6.0) (KSG1201), 98℃, 20分钟.
—抗: 1: 1300稀释, 4℃ 孵育过夜.
二抗: S-vision免疫组化多聚二抗(山羊抗兔),即用型 (货号KB3906), 室温孵育20分钟.
IHC检测AIF蛋白(货号 K133942).
样品: 大鼠脾, 4%多聚甲醛 (货号KSG1101) 固定12-24小时.
抗原修复: 柠檬酸抗原修复液(干粉, pH 6.0) (KSG1201), 98℃, 20分钟.
—抗: 1: 1300稀释, 4℃ 孵育过夜.
二抗: S-vision免疫组化多聚二抗(山羊抗兔),即用型 (货号KB3906), 室温孵育20分钟.

需要技术支持?

如果您有任何问题或如果您在实验过程中遇到问题,或需要更详细的技术指导,请联系我们的技术支持团队
电话 400-6027-270

联系我们

如果您对我们的公司或产品有任何疑问,欢迎随时联系我们