tel 400-6027-270
Main Image
Anti-Bad 兔多克隆抗体
¥1900
加入对比
货号: K133594-100
亚细胞定位: 线粒体外膜, 细胞质
别名: BAD,BBC2,BBC6,Bcl-2-binding component 6,Bcl-2-like protein 8,Bcl2-L-8,BCL2L8,Bcl2 antagonist of cell death,Bcl-XL/Bcl-2-Associated Death Promoter
应用 | 种属
IHC/IF H,M,R
规格:
产品信息
蛋白质全称 Bcl2相关细胞死亡激动剂
别名 BAD,BBC2,BBC6,Bcl-2-binding component 6,Bcl-2-like protein 8,Bcl2-L-8,BCL2L8,Bcl2 antagonist of cell death,Bcl-XL/Bcl-2-Associated Death Promoter
Uniprot ID Q61337
免疫原 KLH偶联的小鼠Bad合成肽
抗体亚型 IgG
纯化方式 亲和纯化
亚细胞定位 线粒体外膜, 细胞质
应用
IHC/IF 免疫组织化学/免疫荧光
物种:人,小鼠,大鼠
稀释比:1:300-1:600
阳性样品:脑, 乳腺癌, 肺
背景
BAD, also named as BBC6 and BCL2L8, promotes cell death. It is successfully competes for the binding to Bcl-X(L), Bcl-2 and Bcl-W, thereby affecting the level of heterodimerization of these proteins with BAX. BAD can reverse the death repressor activity of Bcl-X(L), but not that of Bcl-2. It appears to act as a link between growth factor receptor signaling and the apoptotic pathways.
储存条件
储存条件:储存条件在:-20℃下储存一年, 避免反复冻融.
储存缓冲液:含0.15% ProClin300防腐剂, 100 μg/mL牛血清白蛋白和50%甘油的磷酸盐缓冲液.
图像
IHC检测Bad蛋白(货号 K133594).
样品: 人乳腺癌, 4%多聚甲醛 (货号KSG1101) 固定12-24小时.
抗原修复: 柠檬酸抗原修复液(干粉, pH 6.0) (KSG1201), 98℃, 20分钟.
—抗: 1: 500稀释, 4℃ 孵育过夜.
二抗: S-vision免疫组化多聚二抗(山羊抗兔),即用型 (货号KB3906), 室温孵育20分钟.
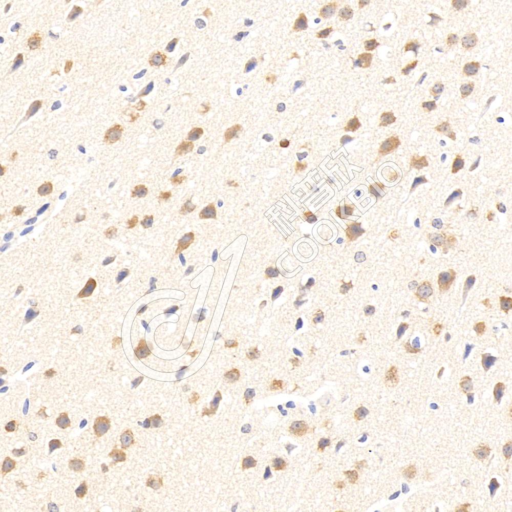
IHC检测Bad蛋白(货号 K133594).
样品: 小鼠脑, 4%多聚甲醛 (货号KSG1101) 固定12-24小时.
抗原修复: 柠檬酸抗原修复液(干粉, pH 6.0) (KSG1201), 98℃, 20分钟.
—抗: 1: 500稀释, 4℃ 孵育过夜.
二抗: S-vision免疫组化多聚二抗(山羊抗兔),即用型 (货号KB3906), 室温孵育20分钟.
IF检测Bad蛋白(货号 K133594)(红色).
样品: 大鼠肺, 4%多聚甲醛 (货号KSG1101) 固定12-24小时.
抗原修复: Tris-EDTA抗原修复液(pH 9.0) (KSG1203), 98℃, 20分钟.
封闭: 3% BSA(货号KSGC305010)的PBS溶液, 室温孵育30分钟.
—抗: 1: 500稀释, 4℃ 孵育过夜.
二抗: Cy3标记山羊抗兔IgG (H+L) (货号KB63909), 1: 300稀释, 室温孵育1小时.

需要技术支持?

如果您有任何问题或如果您在实验过程中遇到问题,或需要更详细的技术指导,请联系我们的技术支持团队
电话 400-6027-270

联系我们

如果您对我们的公司或产品有任何疑问,欢迎随时联系我们