tel 400-6027-270
Main Image
Anti-DGAT1 兔多克隆抗体
¥1900
加入对比
货号: K1343791-100
预测分子量: 57 kDa
观测分子量: 50 kDa
亚细胞定位: 内质网膜
别名: ACAT related gene product 1,AGRP1,ARGP1,DGAT,DGAT1,Diglyceride acyltransferase
应用 | 种属
WB H
IHC/IF M,R
规格:
产品信息
蛋白质全称 二酰甘油O-酰基转移酶1
别名 ACAT related gene product 1,AGRP1,ARGP1,DGAT,DGAT1,Diglyceride acyltransferase
Uniprot ID Q9Z2A7
免疫原 KLH偶联的小鼠DGAT1合成肽
抗体亚型 IgG
纯化方式 亲和纯化
亚细胞定位 内质网膜
预测分子量./观测分子量. 57 kDa / 50 kDa
应用
WB 免疫印迹
物种:人
稀释比:1:500-1:1000
阳性样品:—
IHC/IF 免疫组织化学/免疫荧光
物种:小鼠,大鼠
稀释比:1:500-1:1000
阳性样品:非酒精性脂肪肝, 白色脂肪
背景
Catalyzes the terminal and only committed step in triacylglycerol synthesis by using diacylglycerol and fatty acyl CoA as substrates . Highly expressed in epithelial cells of the small intestine and its activity is essential for the absorption of dietary fats . In liver, plays a role in esterifying exogenous fatty acids to glycerol, and is required to synthesize fat for storage . Also present in female mammary glands, where it produces fat in the milk . May be involved in VLDL (very low density lipoprotein) assembly . In contrast to DGAT2 it is not essential for survival .
储存条件
储存条件:储存条件在:-20℃下储存一年, 避免反复冻融.
储存缓冲液:含0.15% ProClin300防腐剂, 100 μg/mL牛血清白蛋白和50%甘油的磷酸盐缓冲液.
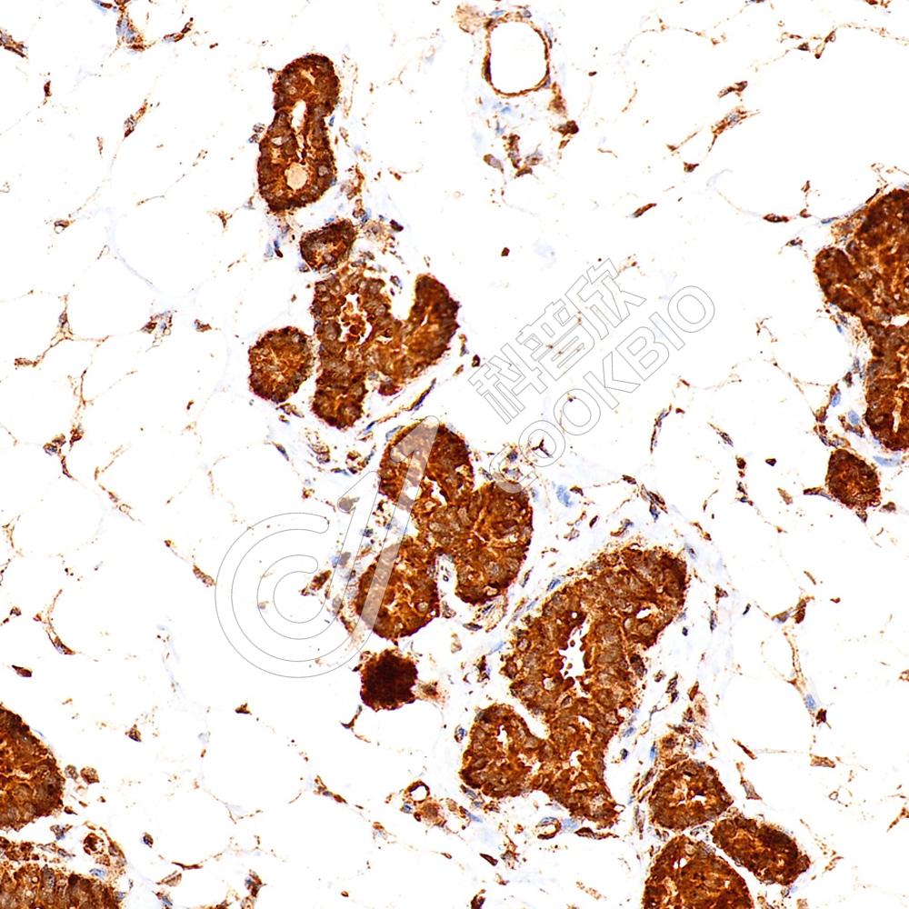
图像
IHC检测DGAT1蛋白(货号 K1343791).
样品: 小鼠非酒精性脂肪肝, 4%多聚甲醛 (货号KSG1101) 固定12-24小时.
抗原修复: 柠檬酸抗原修复液(干粉, pH 6.0) (KSG1201), 98℃, 20分钟.
—抗: 1: 800稀释, 4℃ 孵育过夜.
二抗: S-vision免疫组化多聚二抗(山羊抗兔),即用型 (货号KB3906), 室温孵育20分钟.
IHC检测DGAT1蛋白(货号 K1343791).
样品: 大鼠白色脂肪, 4%多聚甲醛 (货号KSG1101) 固定12-24小时.
抗原修复: 柠檬酸抗原修复液(干粉, pH 6.0) (KSG1201), 98℃, 20分钟.
—抗: 1: 800稀释, 4℃ 孵育过夜.
二抗: S-vision免疫组化多聚二抗(山羊抗兔),即用型 (货号KB3906), 室温孵育20分钟.

需要技术支持?

如果您有任何问题或如果您在实验过程中遇到问题,或需要更详细的技术指导,请联系我们的技术支持团队
电话 400-6027-270

联系我们

如果您对我们的公司或产品有任何疑问,欢迎随时联系我们