tel 400-6027-270
Main Image
Anti-METTL3 兔多克隆抗体
¥1900
加入对比
货号: K1344064-100
预测分子量: 64 kDa
观测分子量: 70 kDa
亚细胞定位: 细胞核, 细胞质
别名: IME4,M6A,methyltransferase like 3,METTL3,MT A70,MTA70,Spo8
应用 | 种属
WB H,M,R
IHC/IF M,R
规格:
产品信息
蛋白质全称 N6-腺苷甲基转移酶亚基METTL3
别名 IME4,M6A,methyltransferase like 3,METTL3,MT A70,MTA70,Spo8
Uniprot ID Q86U44
免疫原 人METTL3重组蛋白
抗体亚型 IgG
纯化方式 亲和纯化
亚细胞定位 细胞核, 细胞质
预测分子量./观测分子量. 64 kDa / 70 kDa
应用
WB 免疫印迹
物种:人,小鼠,大鼠
稀释比:1:500-1:1000
阳性样品:—
IHC/IF 免疫组织化学/免疫荧光
物种:小鼠,大鼠
稀释比:1:300-1:900
阳性样品:睾丸
背景
METTL3 is a key S-adenosyl-L-methionine-binding subunit, which is component of a complex multicomponent enzyme that catalyzes the methylation of internal adenosine residues in eukaryotic mRNA, forming N6-methyladenosine. It contains 2 putative nuclear localization signals and 2 consensus methylation motifs. The calculated molecular weight of METTL3 is 64 kDa, but modified METTL3 is about 65-70 kDa.
储存条件
储存条件:储存条件在:-20℃下储存一年, 避免反复冻融.
储存缓冲液:含0.15% ProClin300防腐剂, 100 μg/mL牛血清白蛋白和50%甘油的磷酸盐缓冲液.
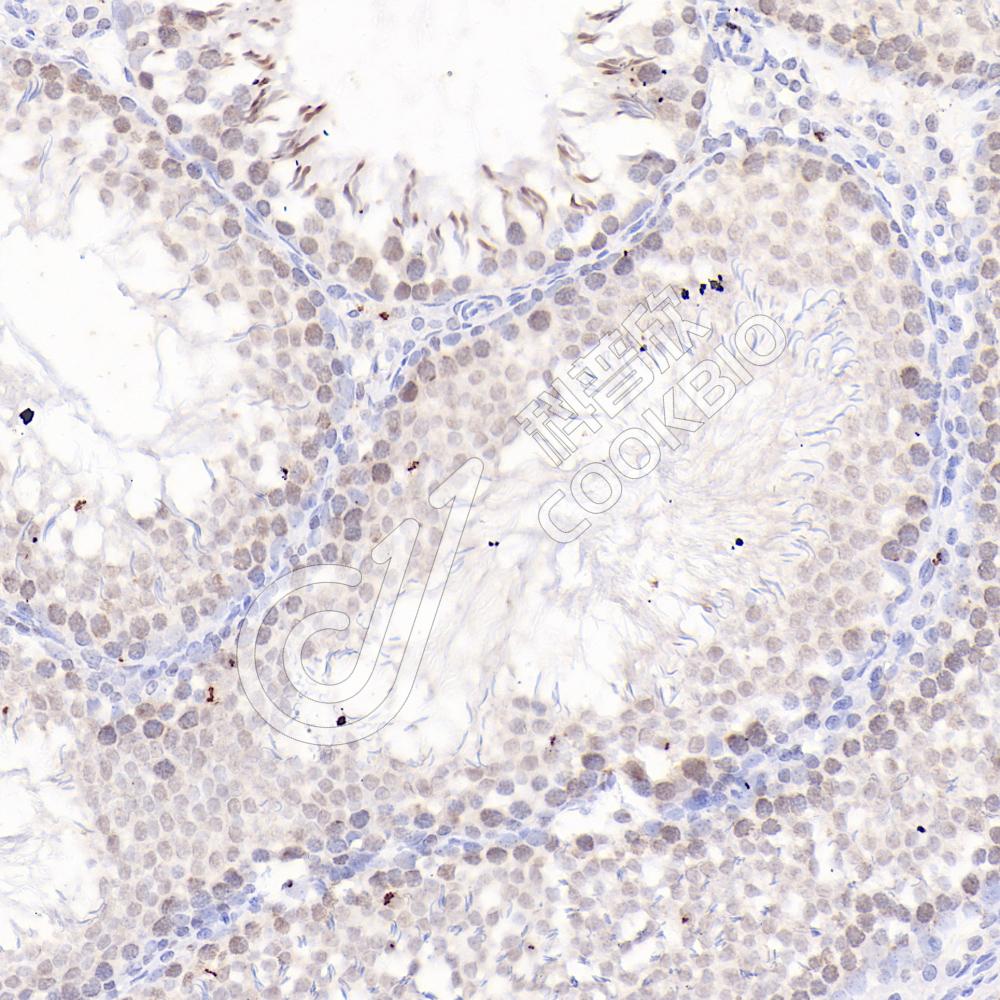
图像
IHC检测METTL3蛋白(货号 K1344064).
样品: 小鼠睾丸, 4%多聚甲醛 (货号KSG1101) 固定12-24小时.
抗原修复: 柠檬酸抗原修复液(干粉, pH 6.0) (KSG1201), 98℃, 20分钟.
—抗: 1: 600稀释, 4℃ 孵育过夜.
二抗: S-vision免疫组化多聚二抗(山羊抗兔),即用型 (货号KB3906), 室温孵育20分钟.
IHC检测METTL3蛋白(货号 K1344064).
样品: 大鼠睾丸, 4%多聚甲醛 (货号KSG1101) 固定12-24小时.
抗原修复: 柠檬酸抗原修复液(干粉, pH 6.0) (KSG1201), 98℃, 20分钟.
—抗: 1: 600稀释, 4℃ 孵育过夜.
二抗: S-vision免疫组化多聚二抗(山羊抗兔),即用型 (货号KB3906), 室温孵育20分钟.

需要技术支持?

如果您有任何问题或如果您在实验过程中遇到问题,或需要更详细的技术指导,请联系我们的技术支持团队
电话 400-6027-270

联系我们

如果您对我们的公司或产品有任何疑问,欢迎随时联系我们