tel 400-6027-270
Main Image
Anti-SNRPD2 兔多克隆抗体
¥1900
加入对比
货号: K1340569-100
预测分子量: 14 kDa
观测分子量: 14 kDa
亚细胞定位: 细胞质, 细胞核
别名: Sm-D2,SMD2,snRNP core protein D2,SNRPD2,SNRPD1
应用 | 种属
WB H,M,R
IHC/IF M,R
规格:
产品信息
蛋白质全称 小核核糖核蛋白Sm D2
别名 Sm-D2,SMD2,snRNP core protein D2,SNRPD2,SNRPD1
Uniprot ID P62317
免疫原 小鼠SNRPD2重组蛋白
抗体亚型 IgG
纯化方式 亲和纯化
亚细胞定位 细胞质, 细胞核
预测分子量./观测分子量. 14 kDa / 14 kDa
应用
WB 免疫印迹
物种:人,小鼠,大鼠
稀释比:1:300-1:1000
阳性样品:肾, 睾丸
IHC/IF 免疫组织化学/免疫荧光
物种:小鼠,大鼠
稀释比:1:800-1:1600
阳性样品:黑质
背景
Systemic lupus erythematosus is characterized by antibodies to a variety of intracellular self-antigens, such as dsDNA and Sm, and these serve as hallmarks in the diagnosis of systemic autoimmune diseases. SNRPD2 is one of Sm protein, and is required for pre-mRNA splicing, snRNP biogenesis.
储存条件
储存条件:储存条件在:-20℃下储存一年, 避免反复冻融.
储存缓冲液:含0.15% ProClin300防腐剂, 100 μg/mL牛血清白蛋白和50%甘油的磷酸盐缓冲液.
图像
WB检测SNRPD2蛋白(货号 K1340569).
样品: 经RIPA裂解液(货号KSG2002)处理的蛋白质.
封闭: 3%脱脂牛奶(货号KSGC310001)溶于TBST溶液, 室温孵育1小时.
—抗: 1: 1000稀释, 4℃ 孵育过夜.
二抗: HRP标记山羊抗兔IgG (H+L) (货号KB69909), 1: 5000稀释, 室温孵育1小时.
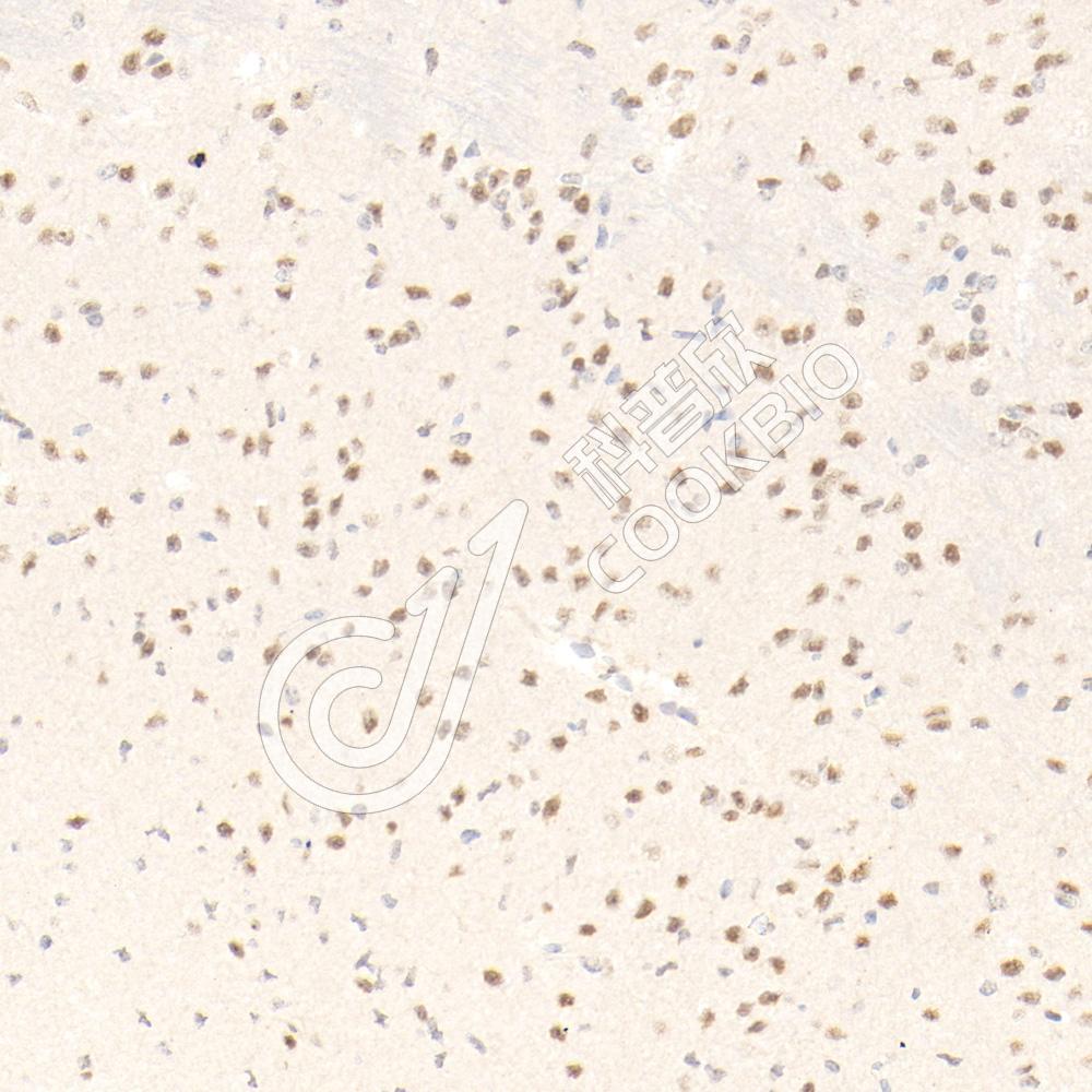
IHC检测SNRPD2蛋白(货号 K1340569).
样品: 小鼠黑质, 4%多聚甲醛 (货号KSG1101) 固定12-24小时.
抗原修复: 柠檬酸抗原修复液(干粉, pH 6.0) (KSG1201), 98℃, 20分钟.
—抗: 1: 1200稀释, 4℃ 孵育过夜.
二抗: S-vision免疫组化多聚二抗(山羊抗兔),即用型 (货号KB3906), 室温孵育20分钟.
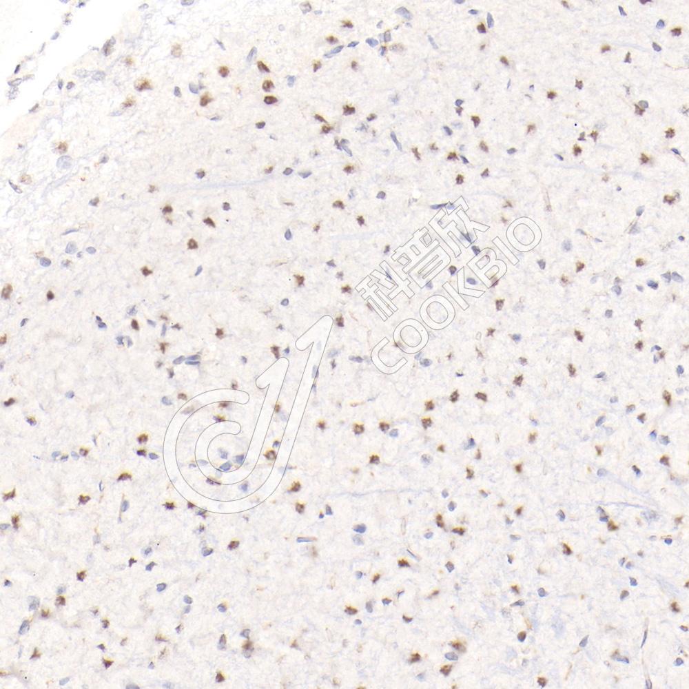
IHC检测SNRPD2蛋白(货号 K1340569).
样品: 大鼠黑质, 4%多聚甲醛 (货号KSG1101) 固定12-24小时.
抗原修复: 柠檬酸抗原修复液(干粉, pH 6.0) (KSG1201), 98℃, 20分钟.
—抗: 1: 1200稀释, 4℃ 孵育过夜.
二抗: S-vision免疫组化多聚二抗(山羊抗兔),即用型 (货号KB3906), 室温孵育20分钟.

需要技术支持?

如果您有任何问题或如果您在实验过程中遇到问题,或需要更详细的技术指导,请联系我们的技术支持团队
电话 400-6027-270

联系我们

如果您对我们的公司或产品有任何疑问,欢迎随时联系我们