tel 400-6027-270
Main Image
Anti-LZTR2 兔多克隆抗体
¥1900
加入对比
货号: K1346032-100
亚细胞定位: 内质网膜, 高尔基体膜
别名: SEC16B,SEC16S,RGPR,LZTR 2,RGPR-p117
应用 | 种属
IHC/IF H
规格:
产品信息
蛋白质全称 蛋白转运蛋白Sec16B
别名 SEC16B,SEC16S,RGPR,LZTR 2,RGPR-p117
Uniprot ID Q91XT4
免疫原 KLH偶联的小鼠LZTR2合成肽
抗体亚型 IgG
纯化方式 亲和纯化
亚细胞定位 内质网膜, 高尔基体膜
应用
IHC/IF 免疫组织化学/免疫荧光
物种:人
稀释比:1:500-1:1500
阳性样品:结肠, 肾
背景
Plays a role in the organization of the endoplasmic reticulum exit sites (ERES), also known as transitional endoplasmic reticulum (tER). Required for secretory cargo traffic from the endoplasmic reticulum to the Golgi apparatus. Involved in peroxisome biogenesis. Regulates the transport of peroxisomal biogenesis factors PEX3 and PEX16 from the ER to peroxisomes.
储存条件
储存条件:储存条件在:-20℃下储存一年, 避免反复冻融.
储存缓冲液:含0.15% ProClin300防腐剂, 100 μg/mL牛血清白蛋白和50%甘油的磷酸盐缓冲液.
图像
IHC检测LZTR2蛋白(货号 K1346032).
样品: 人结肠, 4%多聚甲醛 (货号KSG1101) 固定12-24小时.
抗原修复: Tris-EDTA抗原修复液(pH 9.0) (KSG1203), 98℃, 20分钟.
—抗: 1: 1000稀释, 4℃ 孵育过夜.
二抗: S-vision免疫组化多聚二抗(山羊抗兔),即用型 (货号KB3906), 室温孵育20分钟.
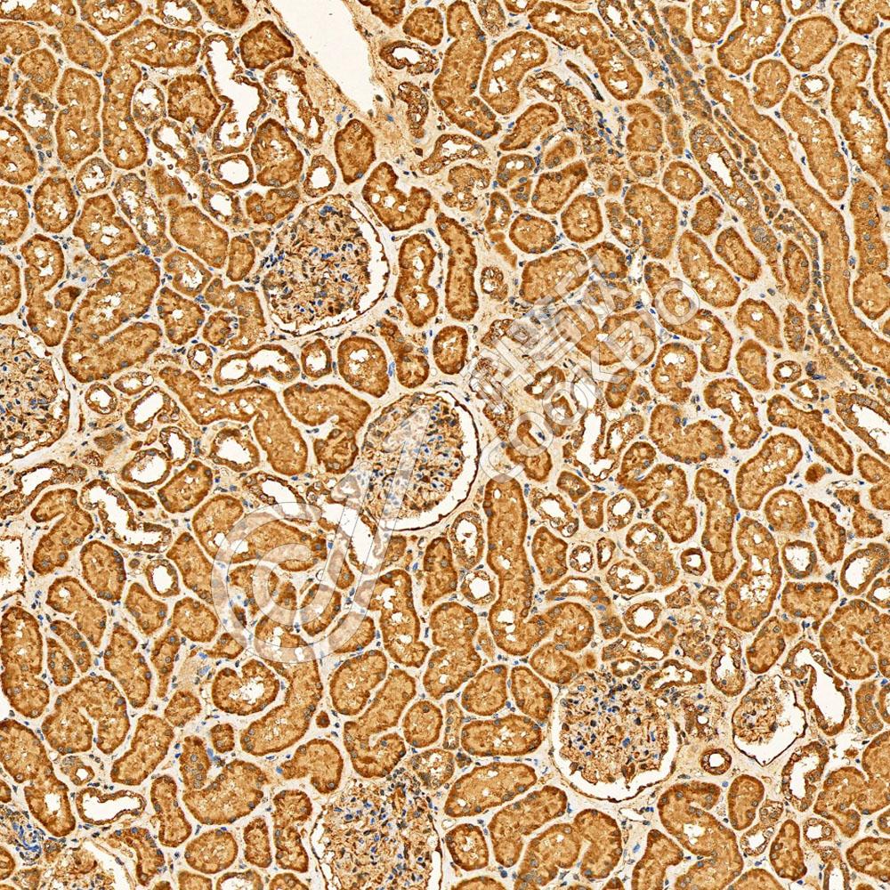
IHC检测LZTR2蛋白(货号 K1346032).
样品: 人肾, 4%多聚甲醛 (货号KSG1101) 固定12-24小时.
抗原修复: Tris-EDTA抗原修复液(pH 9.0) (KSG1203), 98℃, 20分钟.
—抗: 1: 1000稀释, 4℃ 孵育过夜.
二抗: S-vision免疫组化多聚二抗(山羊抗兔),即用型 (货号KB3906), 室温孵育20分钟.

需要技术支持?

如果您有任何问题或如果您在实验过程中遇到问题,或需要更详细的技术指导,请联系我们的技术支持团队
电话 400-6027-270

联系我们

如果您对我们的公司或产品有任何疑问,欢迎随时联系我们