tel 400-6027-270
Main Image
Anti-CD45 兔多克隆抗体
¥1900
加入对比
货号: K1346284-100
预测分子量: 147 kDa
观测分子量: 180-250 kDa
亚细胞定位: 细胞膜
别名: B220,CD45,CD45R,GP180,L-CA,LCA,Leukocyte common antigen,LY5,PTPRC,RPTPC,T200,Ly-5,protein tyrosine phosphatase receptor type C
应用 | 种属
WB H
IHC/IF H
规格:
产品信息
蛋白质全称 受体型酪氨酸蛋白磷酸酶C
别名 B220,CD45,CD45R,GP180,L-CA,LCA,Leukocyte common antigen,LY5,PTPRC,RPTPC,T200,Ly-5,protein tyrosine phosphatase receptor type C
Uniprot ID P08575
免疫原 人CD45重组蛋白
抗体亚型 IgG
纯化方式 亲和纯化
亚细胞定位 细胞膜
预测分子量./观测分子量. 147 kDa / 180-250 kDa
应用
WB 免疫印迹
物种:人
稀释比:1:300-1:600
阳性样品:Jurkat细胞, THP-1细胞
IHC/IF 免疫组织化学/免疫荧光
物种:人
稀释比:1:300-1:600
阳性样品:肝, 小肠
背景
CD45, also known as leukocyte common antigen (LCA), B220, and T200, is a 180-240 kD single chain type I membrane glycoprotein. It is a tyrosine phosphatase expressed on the plasma membrane of all hematopoietic cells, except erythrocytes and platelets. CD45 is a signaling molecule that regulates a variety of cellular processes including cell growth, differentiation, cell cycle, and oncogenic transformation. CD45 is one of the best negative selection markers for characterizing and/or isolating human mesenchymal stem cells from bone marrow and other sources.
储存条件
储存条件:储存条件在:-20℃下储存一年, 避免反复冻融.
储存缓冲液:含0.15% ProClin300防腐剂, 100 μg/mL牛血清白蛋白和50%甘油的磷酸盐缓冲液.
图像
WB检测CD45蛋白(货号 K1346284).
样品: 经RIPA裂解液(货号KSG2002)处理的蛋白质.
封闭: 3%脱脂牛奶(货号KSGC310001)溶于TBST溶液, 室温孵育1小时.
—抗: 1: 500稀释, 4℃ 孵育过夜.
二抗: HRP标记山羊抗兔IgG (H+L) (货号KB69909), 1: 5000稀释, 室温孵育1小时.
IF检测CD45蛋白(货号 K1346284)(红色).
样品: 人肝, 4%多聚甲醛 (货号KSG1101) 固定12-24小时.
抗原修复: Tris-EDTA抗原修复液(pH 9.0) (KSG1203), 98℃, 20分钟.
封闭: 3% BSA(货号KSGC305010)的PBS溶液, 室温孵育30分钟.
—抗: 1: 500稀释, 4℃ 孵育过夜.
二抗: Cy3标记山羊抗兔IgG (H+L) (货号KB63909), 1: 300稀释, 室温孵育1小时.
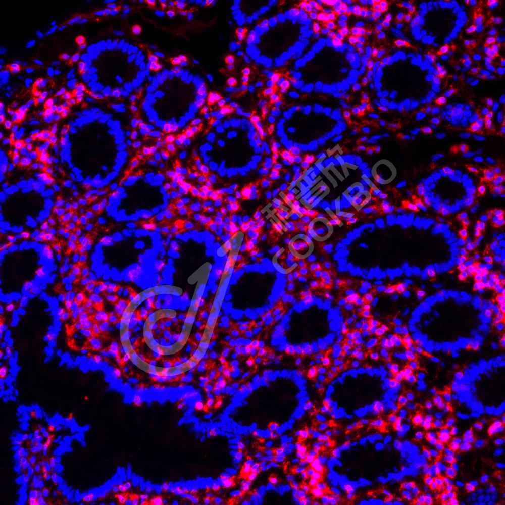
IF检测CD45蛋白(货号 K1346284)(红色).
样品: 人小肠, 4%多聚甲醛 (货号KSG1101) 固定12-24小时.
抗原修复: Tris-EDTA抗原修复液(pH 9.0) (KSG1203), 98℃, 20分钟.
封闭: 3% BSA(货号KSGC305010)的PBS溶液, 室温孵育30分钟.
—抗: 1: 500稀释, 4℃ 孵育过夜.
二抗: Cy3标记山羊抗兔IgG (H+L) (货号KB63909), 1: 300稀释, 室温孵育1小时.

需要技术支持?

如果您有任何问题或如果您在实验过程中遇到问题,或需要更详细的技术指导,请联系我们的技术支持团队
电话 400-6027-270

联系我们

如果您对我们的公司或产品有任何疑问,欢迎随时联系我们