tel 400-6027-270
Main Image
Recombinant Anti-beta Actin antibody (小鼠单克隆抗体)
¥200
加入对比
货号: K545003-100
预测分子量: 42 kDa
观测分子量: 42 kDa
亚细胞定位: 细胞质
别名: ACTB,BRWS1,PS1TP5BP1,Beta-actin,actin beta,Beta CytoskeletalActin,β-Actin
应用 | 种属
WB H,M,R,Pg,Ch,Bv,Sh,Gt,Mk,Rb,Ta,Frog
IHC/IF H,M,R
ICC/IF H,M,R
规格:
产品信息
蛋白质全称 胞质肌动蛋白1
别名 ACTB,BRWS1,PS1TP5BP1,Beta-actin,actin beta,Beta CytoskeletalActin,β-Actin
Uniprot ID P60710
免疫原 KLH偶联的小鼠beta-Actin合成肽
抗体亚型 IgG1, κ
克隆号 10B6H8
纯化方式 亲和纯化
亚细胞定位 细胞质
预测分子量./观测分子量. 42 kDa / 42 kDa
应用
WB 免疫印迹
物种:人,小鼠,大鼠,猪,鸡,牛,羊,山羊,猴,兔,小麦,青蛙
稀释比:1:3000-1:5000
阳性样品:THP-1细胞,肺, 脾
IHC/IF 免疫组织化学/免疫荧光
物种:人,小鼠,大鼠
稀释比:1:500-1:1000
阳性样品:食管癌, 肾, 肺
ICC/IF 免疫细胞化学/免疫荧光
物种:人,小鼠,大鼠
稀释比:1:300-1:1000
阳性样品:—
背景

Actins are highly conserved proteins that are involved in various types of cell motility and are ubiquitously expressed in all eukaryotic cells.In vertebrates 3 main groups of actin isoforms, alpha, beta and gamma have been identified. The alpha actins are found in muscle tissues and are a major constituent of the contractile apparatus. The beta and gamma actins coexist in most cell types as components of the cytoskeleton and as mediators of internal cell motility.                                        

储存条件
储存条件:储存条件在:-20℃下储存一年, 避免反复冻融.
储存缓冲液:含0.15% ProClin300防腐剂, 100 μg/mL牛血清白蛋白和50%甘油的磷酸盐缓冲液.
图像
K545003_beta actin_d2000_WB.jpg
WB检测beta Actin蛋白(货号 K545003).
样品: 经RIPA裂解液(货号KSG2002)处理的蛋白质.
封闭: 3%脱脂牛奶(货号KSGC310001)溶于TBST溶液, 室温孵育1小时.
—抗: 1: 3000稀释, 4℃ 孵育过夜.
二抗: HRP标记山羊抗小鼠IgG (H+L) (货号KB69903), 1: 5000稀释, 室温孵育1小时.
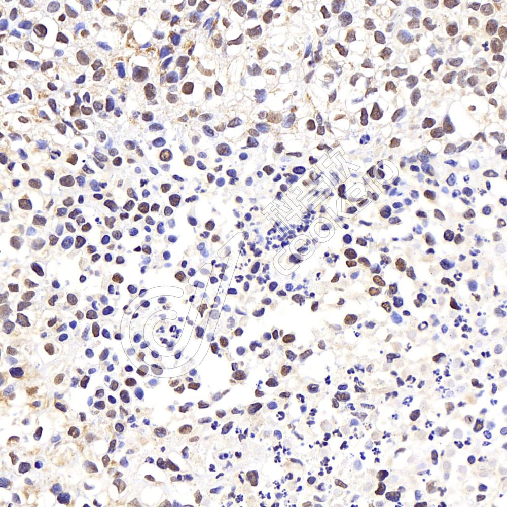
IHC检测beta Actin蛋白(货号 K545003).
样品: 小鼠肺, 4%多聚甲醛 (货号KSG1101) 固定12-24小时.
抗原修复: 柠檬酸抗原修复液(干粉, pH 6.0) (KSG1201), 高压锅均匀喷气计时2分钟.
—抗: 1: 800稀释, 4℃ 孵育过夜.
二抗: S-vision免疫组化多聚二抗(山羊抗小鼠), 即用型(货号KB3903), 室温孵育20分钟.
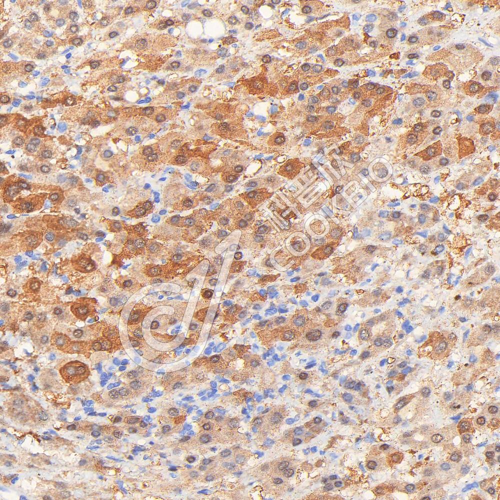
IHC检测beta Actin蛋白(货号 K545003).
样品: 大鼠肾, 4%多聚甲醛 (货号KSG1101) 固定12-24小时.
抗原修复: 柠檬酸抗原修复液(干粉, pH 6.0) (KSG1201), 高压锅均匀喷气计时2分钟.
—抗: 1: 800稀释, 4℃ 孵育过夜.
二抗: S-vision免疫组化多聚二抗(山羊抗小鼠), 即用型(货号KB3903), 室温孵育20分钟.
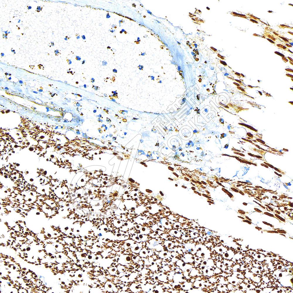
IHC检测beta Actin蛋白(货号 K545003).
样品: 人食管癌, 4%多聚甲醛 (货号KSG1101) 固定12-24小时.
抗原修复: 柠檬酸抗原修复液(干粉, pH 6.0) (KSG1201), 高压锅均匀喷气计时2分钟.
—抗: 1: 800稀释, 4℃ 孵育过夜.
二抗: S-vision免疫组化多聚二抗(山羊抗小鼠), 即用型(货号KB3903), 室温孵育20分钟.

需要技术支持?

如果您有任何问题或如果您在实验过程中遇到问题,或需要更详细的技术指导,请联系我们的技术支持团队
电话 400-6027-270

联系我们

如果您对我们的公司或产品有任何疑问,欢迎随时联系我们