tel 400-6027-270
Main Image
Anti-F4/80 大鼠单克隆抗体
¥1900
加入对比
货号: K236081-100
亚细胞定位: 细胞膜
别名: ADGRE1,TM7LN3,EMR1,Gpf480,adhesion G protein-coupled receptor E1
应用 | 种属
IHC/IF M
规格:
产品信息
蛋白质全称 粘附G蛋白偶联受体E1
别名 ADGRE1,TM7LN3,EMR1,Gpf480,adhesion G protein-coupled receptor E1
Uniprot ID Q61549
免疫原 KLH偶联的小鼠F4/80合成肽
抗体亚型 IgG1, κ
克隆号 1B11B11
纯化方式 亲和纯化
亚细胞定位 细胞膜
应用
IHC/IF 免疫组织化学/免疫荧光
物种:小鼠
稀释比:1:500-1:1500
阳性样品:lps(24h)诱导肝脏炎症模型, 肝
背景
EGF-like module-containing mucin-like hormone receptor-like 1 also known as F4/80 is a proteinencoded by the ADGRE1 gene. EMR1 is a member of the adhesion GPCR family.Adhesion GPCRs are characterized by an extended extracellular region often possessing N-terminal protein modules that is linked to a TM7 region via a domain known as the GPCR-Autoproteolysis INducing (GAIN) domain.
储存条件
储存条件:储存条件在:-20℃下储存一年, 避免反复冻融.
储存缓冲液:含0.15% ProClin300防腐剂, 100 μg/mL牛血清白蛋白和50%甘油的磷酸盐缓冲液.
图像
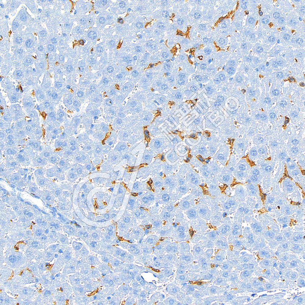
IHC检测F4/80蛋白(货号 K236081).
样品: 小鼠lps(24h)诱导肝脏炎症模型, 4%多聚甲醛 (货号KSG1101) 固定12-24小时.
抗原修复: 柠檬酸抗原修复液(干粉, pH 6.0) (KSG1201), 高压锅均匀喷气计时2分钟.
—抗: 1: 1000稀释, 4℃ 孵育过夜.
二抗: HRP标记山羊抗大鼠IgG (H+L) (货号KB69906), 1: 5000稀释, 室温孵育1小时.
IHC检测F4/80蛋白(货号 K236081).
样品: 小鼠肝, 4%多聚甲醛 (货号KSG1101) 固定12-24小时.
抗原修复: 柠檬酸抗原修复液(干粉, pH 6.0) (KSG1201), 高压锅均匀喷气计时2分钟.
—抗: 1: 1000稀释, 4℃ 孵育过夜.
二抗: HRP标记山羊抗大鼠IgG (H+L) (货号KB69906), 1: 5000稀释, 室温孵育1小时.

需要技术支持?

如果您有任何问题或如果您在实验过程中遇到问题,或需要更详细的技术指导,请联系我们的技术支持团队
电话 400-6027-270

联系我们

如果您对我们的公司或产品有任何疑问,欢迎随时联系我们