tel 400-6027-270
Main Image
Anti-p63 兔多克隆抗体
¥1900
加入对比
货号: K134188-1-100
亚细胞定位: 细胞核
别名: TP63,AIS,B(p51A),B(p51B),EEC3,KET,LMS,NBP,OFC8,RHS,SHFM4,TP53CP,TP53L,TP73L,p40,p51,p53CP,p63,p73H p73L
应用 | 种属
IHC/IF H,M,R
规格:
产品信息
蛋白质全称 肿瘤蛋白63
别名 TP63,AIS,B(p51A),B(p51B),EEC3,KET,LMS,NBP,OFC8,RHS,SHFM4,TP53CP,TP53L,TP73L,p40,p51,p53CP,p63,p73H p73L
Uniprot ID O88898
免疫原 小鼠p63重组蛋白
抗体亚型 IgG
纯化方式 亲和纯化
亚细胞定位 细胞核
应用
IHC/IF 免疫组织化学/免疫荧光
物种:人,小鼠,大鼠
稀释比:1:500-1:1000
阳性样品:肾, 肺癌, 子宫
背景
Acts as a sequence specific DNA binding transcriptional activator or repressor. The isoforms contain a varying set of transactivation and auto-regulating transactivation inhibiting domains thus showing an isoform specific activity. May be required in conjunction with TP73/p73 for initiation of p53/TP53 dependent apoptosis in response to genotoxic insults and the presence of activated oncogenes. Involved in Notch signaling by probably inducing JAG1 and JAG2.
储存条件
储存条件:储存条件在:-20℃下储存一年, 避免反复冻融.
储存缓冲液:含0.15% ProClin300防腐剂, 100 μg/mL牛血清白蛋白和50%甘油的磷酸盐缓冲液.
图像
IHC检测p63蛋白(货号 K134188-1).
样品: 人肺癌, 4%多聚甲醛 (货号KSG1101) 固定12-24小时.
抗原修复: 柠檬酸抗原修复液(干粉, pH 6.0) (KSG1201), 高压锅均匀喷气计时2分钟.
—抗: 1: 800稀释, 4℃ 孵育过夜.
二抗: S-vision免疫组化多聚二抗(山羊抗兔),即用型 (货号KB3906), 室温孵育20分钟.
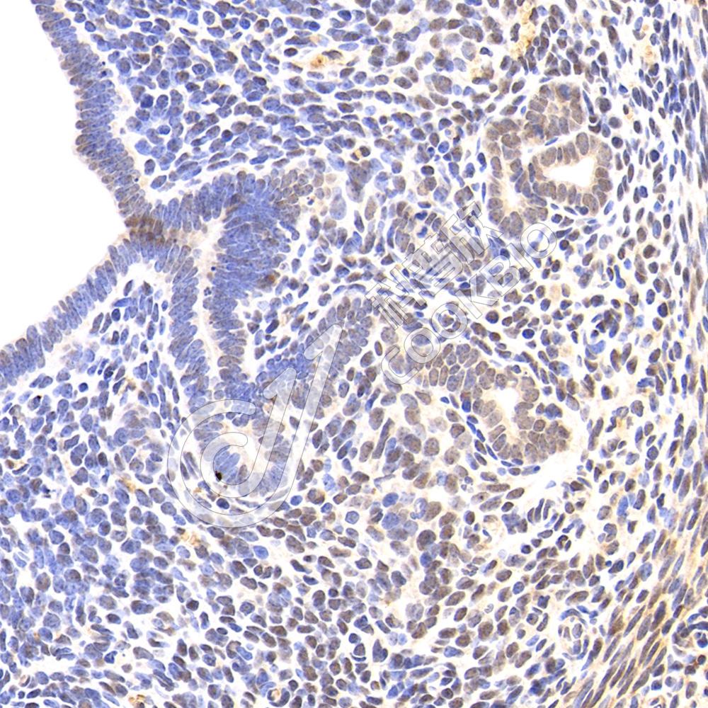
IHC检测p63蛋白(货号 K134188-1).
样品: 小鼠子宫, 4%多聚甲醛 (货号KSG1101) 固定12-24小时.
抗原修复: 柠檬酸抗原修复液(干粉, pH 6.0) (KSG1201), 高压锅均匀喷气计时2分钟.
—抗: 1: 800稀释, 4℃ 孵育过夜.
二抗: S-vision免疫组化多聚二抗(山羊抗兔),即用型 (货号KB3906), 室温孵育20分钟.
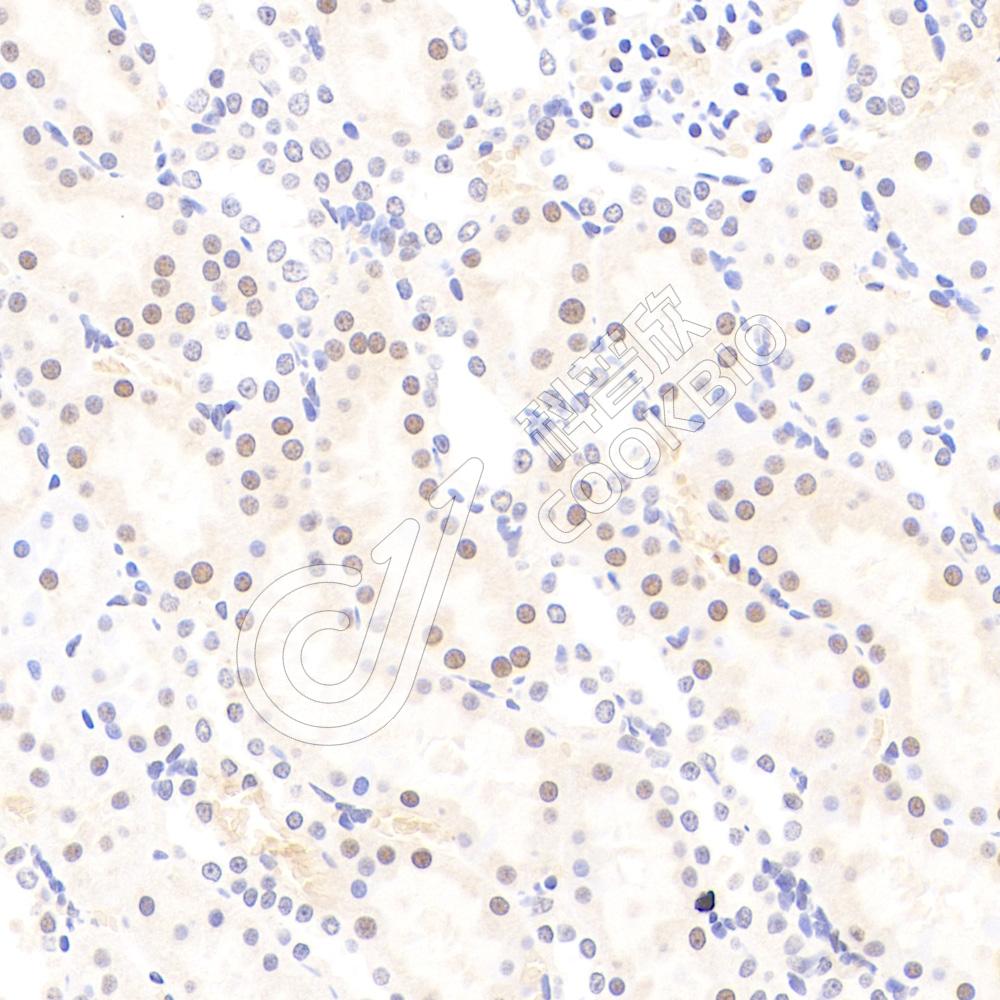
IHC检测p63蛋白(货号 K134188-1).
样品: 大鼠肾, 4%多聚甲醛 (货号KSG1101) 固定12-24小时.
抗原修复: 柠檬酸抗原修复液(干粉, pH 6.0) (KSG1201), 高压锅均匀喷气计时2分钟.
—抗: 1: 800稀释, 4℃ 孵育过夜.
二抗: S-vision免疫组化多聚二抗(山羊抗兔),即用型 (货号KB3906), 室温孵育20分钟.

需要技术支持?

如果您有任何问题或如果您在实验过程中遇到问题,或需要更详细的技术指导,请联系我们的技术支持团队
电话 400-6027-270

联系我们

如果您对我们的公司或产品有任何疑问,欢迎随时联系我们