tel 400-6027-270
Main Image
Recombinant Anti-TFAM antibody (兔单克隆抗体)
¥1900
加入对比
货号: K5450252-100
预测分子量: 24 kDa
观测分子量: 24 kDa
亚细胞定位: 线粒体
别名: TCF6,TCF6L2,TFAM,Transcription factor 6-like 2,Transcription factor 6 (TCF-6),Mitochondrial transcription factor 1 (MtTF1),mtTFA
应用 | 种属
WB H
IHC/IF H
规格:
产品信息
蛋白质全称 转录因子A, 线粒体
别名 TCF6,TCF6L2,TFAM,Transcription factor 6-like 2,Transcription factor 6 (TCF-6),Mitochondrial transcription factor 1 (MtTF1),mtTFA
Uniprot ID Q00059
免疫原 KLH偶联的人TFAM合成肽
抗体亚型 IgG
克隆号 SB441
纯化方式 亲和纯化
亚细胞定位 线粒体
预测分子量./观测分子量. 24 kDa / 24 kDa
应用
WB 免疫印迹
物种:人
稀释比:1:1000-1:3000
阳性样品:—
IHC/IF 免疫组织化学/免疫荧光
物种:人
稀释比:1:500-1:1000
阳性样品:结肠癌, 食管癌
背景
Binds to the mitochondrial light strand promoter and functions in mitochondrial transcription regulation.Component of the mitochondrial transcription initiation complex, composed at least of TFB2M, TFAM and POLRMT that is required for basal transcription of mitochondrial DNA .In this complex, TFAM recruits POLRMT to a specific promoter whereas TFB2M induces structural changes in POLRMT to enable promoter opening and trapping of the DNA non-template strand.
储存条件
储存条件:储存条件在:-20℃下储存一年, 避免反复冻融.
储存缓冲液:含0.15% ProClin300防腐剂, 100 μg/mL牛血清白蛋白和50%甘油的磷酸盐缓冲液.
图像
IHC检测TFAM蛋白(货号 K5450252).
样品: 人结肠癌, 4%多聚甲醛 (货号KSG1101) 固定12-24小时.
抗原修复: Tris-EDTA抗原修复液(pH 9.0) (KSG1203), 100℃, 25分钟.
—抗: 1: 800稀释, 4℃ 孵育过夜.
二抗: S-vision免疫组化多聚二抗(山羊抗兔),即用型 (货号KB3906), 室温孵育20分钟.
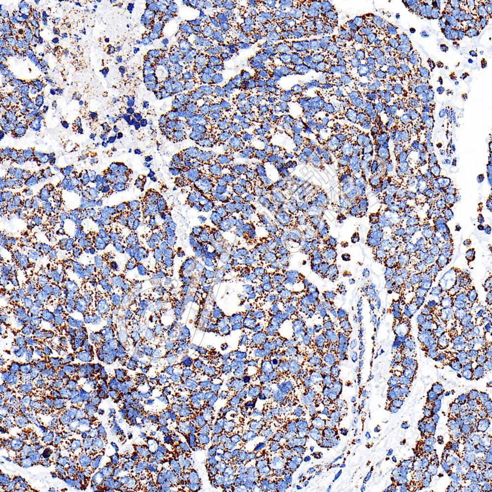
IHC检测TFAM蛋白(货号 K5450252).
样品: 人食管癌, 4%多聚甲醛 (货号KSG1101) 固定12-24小时.
抗原修复: Tris-EDTA抗原修复液(pH 9.0) (KSG1203), 100℃, 25分钟.
—抗: 1: 800稀释, 4℃ 孵育过夜.
二抗: S-vision免疫组化多聚二抗(山羊抗兔),即用型 (货号KB3906), 室温孵育20分钟.

需要技术支持?

如果您有任何问题或如果您在实验过程中遇到问题,或需要更详细的技术指导,请联系我们的技术支持团队
电话 400-6027-270

联系我们

如果您对我们的公司或产品有任何疑问,欢迎随时联系我们