tel 400-6027-270
Main Image
Anti-Cdc25A 兔多克隆抗体
¥1900
加入对比
货号: K133849-100
预测分子量: 59 kDa
观测分子量: 70 kDa
亚细胞定位: 细胞核, 细胞质
别名: CDC25A,CDC25A2,cell division cycle 25A,Dual Specificity Phosphatase CDC25A
应用 | 种属
WB H,M,R
IHC/IF H,M,R
规格:
产品信息
蛋白质全称 M期诱导磷酸酶1
别名 CDC25A,CDC25A2,cell division cycle 25A,Dual Specificity Phosphatase CDC25A
Uniprot ID P48964
免疫原 KLH偶联的小鼠Cdc25A合成肽
抗体亚型 IgG
纯化方式 亲和纯化
亚细胞定位 细胞核, 细胞质
预测分子量./观测分子量. 59 kDa / 70 kDa
应用
WB 免疫印迹
物种:人,小鼠,大鼠
稀释比:1:500-1:1000
阳性样品:—
IHC/IF 免疫组织化学/免疫荧光
物种:人,小鼠,大鼠
稀释比:1:1500-1:3000
阳性样品:乳腺癌, 结肠
背景
CDC25A is a member of the CDC25 family of phosphatases. CDC25A is required for progression from G1 to the S phase of the cell cycle. It activates the cyclin-dependent kinase CDC2 by removing two phosphate groups. CDC25A is specifically degraded in response to DNA damage, which prevents cells with chromosomal abnormalities from progressing through cell division. CDC25A is an oncogene, although its exact role in oncogenesis has not been demonstrated. Two transcript variants encoding different isoforms have been found for this gene.
储存条件
储存条件:储存条件在:-20℃下储存一年, 避免反复冻融.
储存缓冲液:含0.15% ProClin300防腐剂, 100 μg/mL牛血清白蛋白和50%甘油的磷酸盐缓冲液.
图像
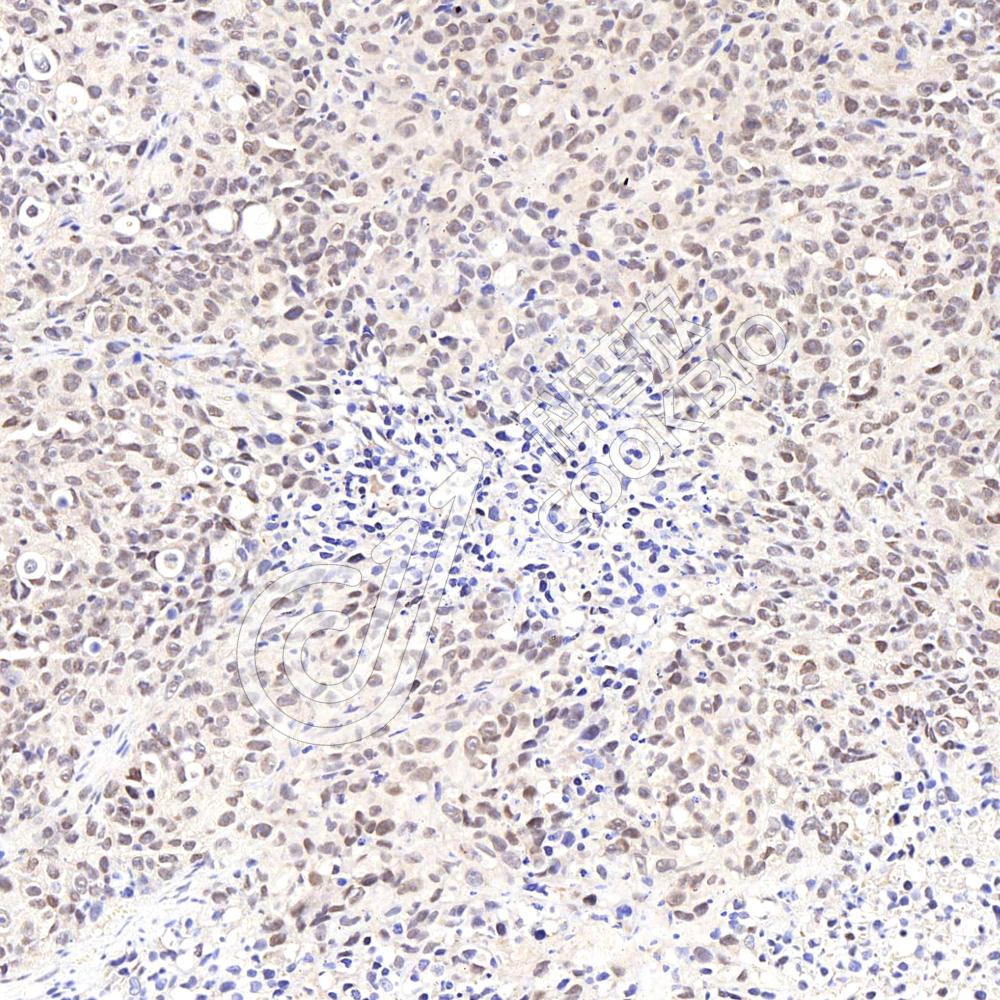
IHC检测Cdc25A蛋白(货号 K133849).
样品: 人结肠, 4%多聚甲醛 (货号KSG1101) 固定12-24小时.
抗原修复: 柠檬酸抗原修复液(干粉, pH 6.0) (KSG1201), 98℃, 20分钟.
—抗: 1: 2300稀释, 4℃ 孵育过夜.
二抗: S-vision免疫组化多聚二抗(山羊抗兔),即用型 (货号KB3906), 室温孵育20分钟.
Cdc25A_d1000_WB
IHC检测Cdc25A蛋白(货号 K133849).
样品: 小鼠乳腺癌, 4%多聚甲醛 (货号KSG1101) 固定12-24小时.
抗原修复: 柠檬酸抗原修复液(干粉, pH 6.0) (KSG1201), 98℃, 20分钟.
—抗: 1: 2300稀释, 4℃ 孵育过夜.
二抗: S-vision免疫组化多聚二抗(山羊抗兔),即用型 (货号KB3906), 室温孵育20分钟.

需要技术支持?

如果您有任何问题或如果您在实验过程中遇到问题,或需要更详细的技术指导,请联系我们的技术支持团队
电话 400-6027-270

联系我们

如果您对我们的公司或产品有任何疑问,欢迎随时联系我们