tel 400-6027-270
Main Image
Anti-NUDT22 兔多克隆抗体
¥1900
加入对比
货号: K1338079-100
亚细胞定位: 细胞核
别名: UDPG pyrophosphatase,UGPPase,Nucleoside diphosphate-linked moiety X motif 22,Nudix motif 22,Nudt22
应用 | 种属
IHC/IF M,R
规格:
产品信息
蛋白质全称 尿苷二磷酸葡萄糖焦磷酸酶NUDT22
别名 UDPG pyrophosphatase,UGPPase,Nucleoside diphosphate-linked moiety X motif 22,Nudix motif 22,Nudt22
Uniprot ID Q9DD16
免疫原 小鼠NUDT22重组蛋白
抗体亚型 IgG
纯化方式 亲和纯化
亚细胞定位 细胞核
应用
IHC/IF 免疫组织化学/免疫荧光
物种:小鼠,大鼠
稀释比:1:3600-1:7200
阳性样品:胰腺, 睾丸
背景
Hydrolyzes UDP-glucose to glucose 1-phosphate and UMP and UDP-galactose to galactose 1-phosphate and UMP. Preferred substrate is UDP-glucose.
储存条件
储存条件:储存条件在:-20℃下储存一年, 避免反复冻融.
储存缓冲液:含0.15% ProClin300防腐剂, 100 μg/mL牛血清白蛋白和50%甘油的磷酸盐缓冲液.
图像
IHC检测NUDT22蛋白(货号 K1338079).
样品: 小鼠胰腺, 4%多聚甲醛 (货号KSG1101) 固定12-24小时.
抗原修复: Tris-EDTA抗原修复液(pH 9.0) (KSG1203), 98℃, 20分钟.
—抗: 1: 5400稀释, 4℃ 孵育过夜.
二抗: S-vision免疫组化多聚二抗(山羊抗兔),即用型 (货号KB3906), 室温孵育20分钟.
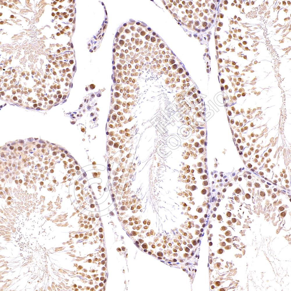
IHC检测NUDT22蛋白(货号 K1338079).
样品: 大鼠睾丸, 4%多聚甲醛 (货号KSG1101) 固定12-24小时.
抗原修复: Tris-EDTA抗原修复液(pH 9.0) (KSG1203), 98℃, 20分钟.
—抗: 1: 5400稀释, 4℃ 孵育过夜.
二抗: S-vision免疫组化多聚二抗(山羊抗兔),即用型 (货号KB3906), 室温孵育20分钟.

需要技术支持?

如果您有任何问题或如果您在实验过程中遇到问题,或需要更详细的技术指导,请联系我们的技术支持团队
电话 400-6027-270

联系我们

如果您对我们的公司或产品有任何疑问,欢迎随时联系我们