tel 400-6027-270
Main Image
Anti-Cnt-a2 兔多克隆抗体
¥1900
加入对比
货号: K1344520-100
亚细胞定位: 细胞质, 细胞膜
别名: ADAP2,ArfGAP with dual PH domains 2,cent b,CENTA2,Centaurin alpha 2,Cnt a2,HSA272195ADAP2,ArfGAP with dual PH domains 2,cent b,CENTA2,Centaurin alpha 2,Cnt a2,HSA272195
应用 | 种属
IHC/IF H
规格:
产品信息
蛋白质全称 双PH结构域Arf-GAP蛋白2
别名 ADAP2,ArfGAP with dual PH domains 2,cent b,CENTA2,Centaurin alpha 2,Cnt a2,HSA272195ADAP2,ArfGAP with dual PH domains 2,cent b,CENTA2,Centaurin alpha 2,Cnt a2,HSA272195
Uniprot ID Q8R2V5
免疫原 KLH偶联的小鼠Cnt-a2合成肽
抗体亚型 IgG
纯化方式 亲和纯化
亚细胞定位 细胞质, 细胞膜
应用
IHC/IF 免疫组织化学/免疫荧光
物种:人
稀释比:1:500-1:1500
阳性样品:结肠
背景
GTPase-activating protein for the ADP ribosylation factor family (Potential). Binds phosphatidylinositol 3,4,5-trisphosphate (PtdInsP3) and inositol 1,3,4,5-tetrakisphosphate (InsP4). Possesses a stoichiometry of two binding sites for InsP4 with identical affinity.
储存条件
储存条件:储存条件在:-20℃下储存一年, 避免反复冻融.
储存缓冲液:含0.15% ProClin300防腐剂, 100 μg/mL牛血清白蛋白和50%甘油的磷酸盐缓冲液.
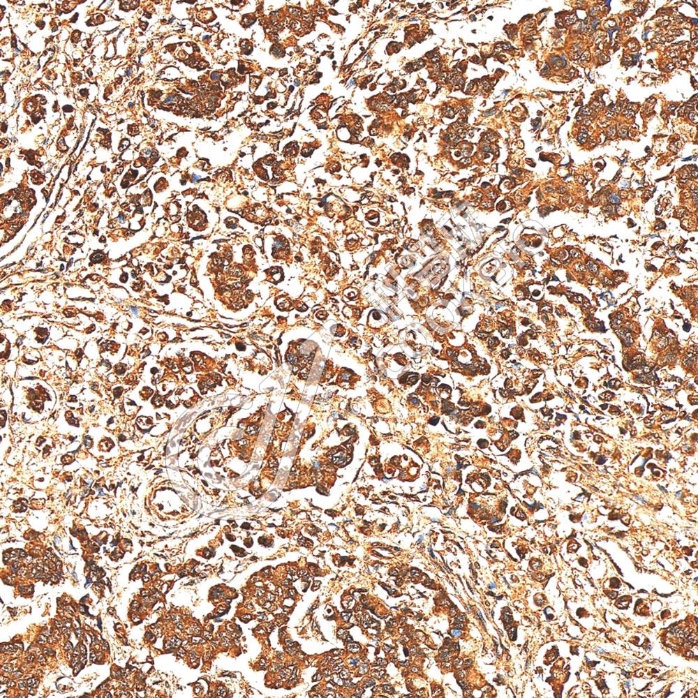
图像
IHC检测Cnt-a2蛋白(货号 K1344520).
样品: 人结肠, 4%多聚甲醛 (货号KSG1101) 固定12-24小时.
抗原修复: 柠檬酸抗原修复液(干粉, pH 6.0) (KSG1201), 98℃, 20分钟.
—抗: 1: 1000稀释, 4℃ 孵育过夜.
二抗: S-vision免疫组化多聚二抗(山羊抗兔),即用型 (货号KB3906), 室温孵育20分钟.

需要技术支持?

如果您有任何问题或如果您在实验过程中遇到问题,或需要更详细的技术指导,请联系我们的技术支持团队
电话 400-6027-270

联系我们

如果您对我们的公司或产品有任何疑问,欢迎随时联系我们