tel 400-6027-270
Main Image
Anti-MIIP 兔多克隆抗体
¥1900
加入对比
货号: K1339135-100
亚细胞定位: 细胞核
别名: Invasion-inhibitory protein 45,IIp45,Miip,D4Wsu114e,Iip45,IGFBP2 binding protein
应用 | 种属
IHC/IF H
规格:
产品信息
蛋白质全称 迁移侵袭抑制蛋白
别名 Invasion-inhibitory protein 45,IIp45,Miip,D4Wsu114e,Iip45,IGFBP2 binding protein
Uniprot ID A2A7Y5
免疫原 小鼠MIIP重组蛋白
抗体亚型 IgG
纯化方式 亲和纯化
亚细胞定位 细胞核
应用
IHC/IF 免疫组织化学/免疫荧光
物种:人
稀释比:1:600-1:1200
阳性样品:食管癌, 胎盘
背景
MIIP has 3 SEG (segments of low compositional complexity) domains, an RGD motif, and several potential phosphorylation sites. The C-terminal region of IGFBP2 interacts with a central 44-amino acid sequence of MIIP. MIIP inhibits glioma cells invasion and down-regulates adhesion- and motility-associated genes such as NFKB2 and ICAM1. It exhibits opposing effects to IGFBP2 on cell invasion. There are 2 named isoforms due to alternative splicing.
储存条件
储存条件:储存条件在:-20℃下储存一年, 避免反复冻融.
储存缓冲液:含0.15% ProClin300防腐剂, 100 μg/mL牛血清白蛋白和50%甘油的磷酸盐缓冲液.
图像
IHC检测MIIP蛋白(货号 K1339135).
样品: 人食管癌, 4%多聚甲醛 (货号KSG1101) 固定12-24小时.
抗原修复: 柠檬酸抗原修复液(干粉, pH 6.0) (KSG1201), 98℃, 20分钟.
—抗: 1: 900稀释, 4℃ 孵育过夜.
二抗: S-vision免疫组化多聚二抗(山羊抗兔),即用型 (货号KB3906), 室温孵育20分钟.
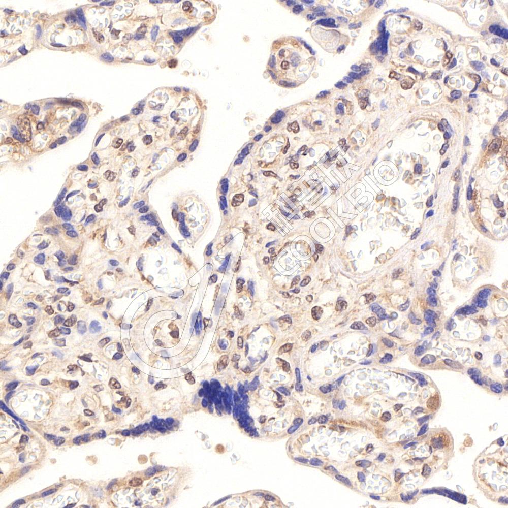
IHC检测MIIP蛋白(货号 K1339135).
样品: 人胎盘, 4%多聚甲醛 (货号KSG1101) 固定12-24小时.
抗原修复: 柠檬酸抗原修复液(干粉, pH 6.0) (KSG1201), 98℃, 20分钟.
—抗: 1: 900稀释, 4℃ 孵育过夜.
二抗: S-vision免疫组化多聚二抗(山羊抗兔),即用型 (货号KB3906), 室温孵育20分钟.

需要技术支持?

如果您有任何问题或如果您在实验过程中遇到问题,或需要更详细的技术指导,请联系我们的技术支持团队
电话 400-6027-270

联系我们

如果您对我们的公司或产品有任何疑问,欢迎随时联系我们