tel 400-6027-270
Main Image
Anti-Nephrin 兔多克隆抗体
¥1900
加入对比
货号: K134029-100
亚细胞定位: 细胞膜
别名: NPHS1,CNF,NPHN,nephrin,NPHS1 nephrin,nephrin
应用 | 种属
IHC/IF M
规格:
产品信息
蛋白质全称 肾病蛋白
别名 NPHS1,CNF,NPHN,nephrin,NPHS1 nephrin,nephrin
Uniprot ID Q9QZS7
免疫原 KLH偶联的小鼠Nephrin合成肽
抗体亚型 IgG
纯化方式 亲和纯化
亚细胞定位 细胞膜
应用
IHC/IF 免疫组织化学/免疫荧光
物种:小鼠
稀释比:1:1500-1:3000
阳性样品:肾
背景
Seems to play a role in the development or function of the kidney glomerular filtration barrier. Regulates glomerular vascular permeability. May anchor the podocyte slit diaphragm to the actin cytoskeleton. Plays a role in skeletal muscle formation through regulation of myoblast fusion.
储存条件
储存条件:储存条件在:-20℃下储存一年, 避免反复冻融.
储存缓冲液:含0.15% ProClin300防腐剂, 100 μg/mL牛血清白蛋白和50%甘油的磷酸盐缓冲液.
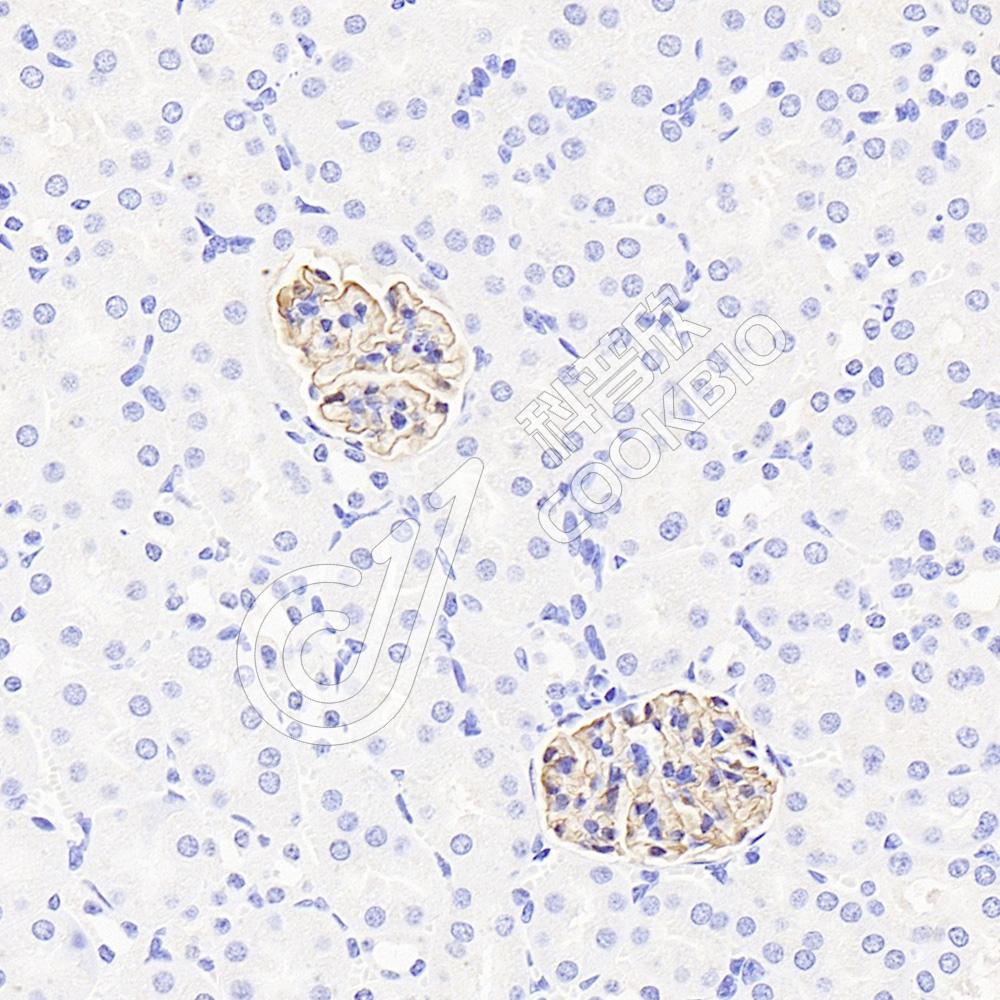
图像
IHC检测Nephrin蛋白(货号 K134029).
样品: 小鼠肾, 4%多聚甲醛 (货号KSG1101) 固定12-24小时.
抗原修复: 柠檬酸抗原修复液(干粉, pH 6.0) (KSG1201), 98℃, 20分钟.
—抗: 1: 2300稀释, 4℃ 孵育过夜.
二抗: S-vision免疫组化多聚二抗(山羊抗兔),即用型 (货号KB3906), 室温孵育20分钟.
IHC检测Nephrin蛋白(货号 K134029).
样品: 小鼠肾, 4%多聚甲醛 (货号KSG1101) 固定12-24小时.
抗原修复: 柠檬酸抗原修复液(干粉, pH 6.0) (KSG1201), 98℃, 20分钟.
—抗: 1: 2300稀释, 4℃ 孵育过夜.
二抗: S-vision免疫组化多聚二抗(山羊抗兔),即用型 (货号KB3906), 室温孵育20分钟.

需要技术支持?

如果您有任何问题或如果您在实验过程中遇到问题,或需要更详细的技术指导,请联系我们的技术支持团队
电话 400-6027-270

联系我们

如果您对我们的公司或产品有任何疑问,欢迎随时联系我们