tel 400-6027-270
Main Image
Anti-Cyclophilin B 兔多克隆抗体
¥1900
加入对比
货号: K1339990-100
预测分子量: 24 kDa
观测分子量: 18 kDa
亚细胞定位: 内质网
别名: Cyclophilin B,CYP S1,CYPB,PPIase B,PPIB,Rotamase B,S cyclophilin,SCYLP
应用 | 种属
WB H,M,R
IHC/IF M,R
规格:
产品信息
蛋白质全称 肽基脯氨酰基顺反异构酶B
别名 Cyclophilin B,CYP S1,CYPB,PPIase B,PPIB,Rotamase B,S cyclophilin,SCYLP
Uniprot ID P24369
免疫原 KLH偶联的小鼠Cyclophilin B合成肽
抗体亚型 IgG
纯化方式 亲和纯化
亚细胞定位 内质网
预测分子量./观测分子量. 24 kDa / 18 kDa
应用
WB 免疫印迹
物种:人,小鼠,大鼠
稀释比:1:500-1:1000
阳性样品:—
IHC/IF 免疫组织化学/免疫荧光
物种:小鼠,大鼠
稀释比:1:1500-1:3000
阳性样品:脑
背景

PPIB, also named as CYPB, SCYLP, PPIase B and CYP-S1, belongs to the cyclophilin-type PPIase family and PPIase B subfamily. PPIases accelerate the folding of proteins. It catalyzes the cis-trans isomerization of proline imidic peptide bonds in oligopeptides. PPIB is secreted in biological fluids such as blood or milk and binds to a specific receptor present on the human lymphoblastic cell line Jurkat and on human peripheral blood lymphocytes. The full-length of PPIB has 216aa (24 kDa), and a 33aa-signal peptide could be removed in the matrue form (about 19 kDa).                                        

储存条件
储存条件:储存条件在:-20℃下储存一年, 避免反复冻融.
储存缓冲液:含0.15% ProClin300防腐剂, 100 μg/mL牛血清白蛋白和50%甘油的磷酸盐缓冲液.
图像
K1339990_Cyclophilin B_d1000_WB.jpg
Cyclophilin B_d1000_WB
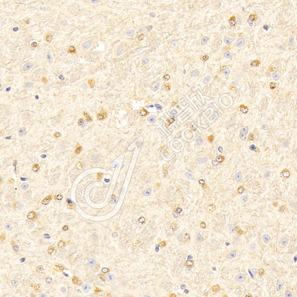
IHC检测Cyclophilin B蛋白(货号 K1339990).
样品: 大鼠脑, 4%多聚甲醛 (货号KSG1101) 固定12-24小时.
抗原修复: 柠檬酸抗原修复液(干粉, pH 6.0) (KSG1201), 98℃, 20分钟.
—抗: 1: 2300稀释, 4℃ 孵育过夜.
二抗: S-vision免疫组化多聚二抗(山羊抗兔),即用型 (货号KB3906), 室温孵育20分钟.
IHC检测Cyclophilin B蛋白(货号 K1339990).
样品: 小鼠脑, 4%多聚甲醛 (货号KSG1101) 固定12-24小时.
抗原修复: 柠檬酸抗原修复液(干粉, pH 6.0) (KSG1201), 98℃, 20分钟.
—抗: 1: 2300稀释, 4℃ 孵育过夜.
二抗: S-vision免疫组化多聚二抗(山羊抗兔),即用型 (货号KB3906), 室温孵育20分钟.

需要技术支持?

如果您有任何问题或如果您在实验过程中遇到问题,或需要更详细的技术指导,请联系我们的技术支持团队
电话 400-6027-270

联系我们

如果您对我们的公司或产品有任何疑问,欢迎随时联系我们